-
中文名稱:BECN1兔多克隆抗體
-
貨號:CSB-PA617917LA01HU
-
規格:¥440
-
圖片:
-
Western Blot
Positive WB detected in: A549 whole cell lysate, Hela whole cell lysate, NIH/3T3 whole cell lysate, PC-3 whole cell lysate, Raji whole cell lysate, SH-SY5Y whole cell lysate
All lanes: BECN1 antibody at 4µg/ml
Secondary
Goat polyclonal to rabbit IgG at 1/50000 dilution
Predicted band size: 52 kDa
Observed band size: 52 kDa -
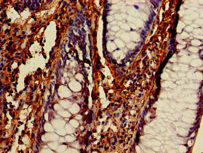
IHC image of CSB-PA617917LA01HU diluted at 1:400 and staining in paraffin-embedded human colon cancer performed on a Leica BondTM system. After dewaxing and hydration, antigen retrieval was mediated by high pressure in a citrate buffer (pH 6.0). Section was blocked with 10% normal goat serum 30min at RT. Then primary antibody (1% BSA) was incubated at 4°C overnight. The primary is detected by a biotinylated secondary antibody and visualized using an HRP conjugated SP system.
-
Immunofluorescence staining of Hela cells with CSB-PA617917LA01HU at 1:133, counter-stained with DAPI. The cells were fixed in 4% formaldehyde, permeabilized using 0.2% Triton X-100 and blocked in 10% normal Goat Serum. The cells were then incubated with the antibody overnight at 4°C. The secondary antibody was Alexa Fluor 488-congugated AffiniPure Goat Anti-Rabbit IgG(H+L).
-
-
其他:
產品詳情
-
產品名稱:Rabbit anti-Homo sapiens (Human) BECN1 Polyclonal antibody
-
Uniprot No.:
-
基因名:
-
別名:APG6 antibody; ATG 6 antibody; ATG6 antibody; ATG6 autophagy related 6 homolog antibody; Bcl-2-interacting protein beclin antibody; Beclin 1 (coiled coil moesin like BCL2 interacting protein) antibody; Beclin 1 autophagy related antibody; Beclin-1 antibody; Beclin1 antibody; BECN 1 antibody; Becn1 antibody; BECN1_HUMAN antibody; Coiled coil myosin like BCL2 interacting protein antibody; Coiled-coil myosin-like BCL2-interacting protein antibody; GT197 antibody; Protein GT197 antibody; VPS 30 antibody; VPS30 antibody
-
宿主:Rabbit
-
反應種屬:Human, Mouse
-
免疫原:Recombinant Human Beclin-1 protein (1-100AA)
-
免疫原種屬:Homo sapiens (Human)
-
標記方式:Non-conjugated
本頁面中的產品,BECN1 Antibody (CSB-PA617917LA01HU),的標記方式是Non-conjugated。對于BECN1 Antibody,我們還提供其他標記。見下表:
-
克隆類型:Polyclonal
-
抗體亞型:IgG
-
純化方式:>95%, Protein G purified
-
濃度:It differs from different batches. Please contact us to confirm it.
-
保存緩沖液:Preservative: 0.03% Proclin 300
Constituents: 50% Glycerol, 0.01M PBS, pH 7.4 -
產品提供形式:Liquid
-
應用范圍:ELISA, WB, IHC, IF
-
推薦稀釋比:
Application Recommended Dilution WB 1:500-1:5000 IHC 1:200-1:500 IF 1:50-1:200 -
Protocols:
-
儲存條件:Upon receipt, store at -20°C or -80°C. Avoid repeated freeze.
-
貨期:Basically, we can dispatch the products out in 1-3 working days after receiving your orders. Delivery time maybe differs from different purchasing way or location, please kindly consult your local distributors for specific delivery time.
-
用途:For Research Use Only. Not for use in diagnostic or therapeutic procedures.
引用文獻
- Protective effects of pentoxifylline against chlorine-induced acute lung injury in rats M Liu,ResearchSquare,2022
相關產品
靶點詳情
-
功能:Plays a central role in autophagy. Acts as core subunit of the PI3K complex that mediates formation of phosphatidylinositol 3-phosphate; different complex forms are believed to play a role in multiple membrane trafficking pathways: PI3KC3-C1 is involved in initiation of autophagosomes and PI3KC3-C2 in maturation of autophagosomes and endocytosis. Involved in regulation of degradative endocytic trafficking and required for the abcission step in cytokinesis, probably in the context of PI3KC3-C2. Essential for the formation of PI3KC3-C2 but not PI3KC3-C1 PI3K complex forms. Involved in endocytosis. Protects against infection by a neurovirulent strain of Sindbis virus. May play a role in antiviral host defense.; Beclin-1-C 35 kDa localized to mitochondria can promote apoptosis; it induces the mitochondrial translocation of BAX and the release of proapoptotic factors.
-
基因功能參考文獻:
- Study demonstrated that the expression of Beclin 1 was upregulated in 4nitroquinoline1oxideinduced oral carcinogenesis, accompanied with myeloidderived suppressor cells and regulatory T cells accumulation. PMID: 30272335
- decreased Beclin-1 expression might relate to poor differentiation and unfavorable outcome in hepatocellular carcinoma PMID: 30107804
- BECN1knockout inhibited the migratory and invasive ability of MDAMB231 cells by partially reversing signals of epithelial-mesenchymal transition.Analysis of publicly available gene expression datasets revealed increased expression of BECN1 in triple-negative breast cancer samples. PMID: 30015871
- Low beclin 1 expression is associated with synovial sarcoma. PMID: 30066884
- ISG15 reduces miR-17-5p levels and thereby promotes Beclin-1-mediated autophagy PMID: 29518394
- CaMKII can directly phosphorylate Beclin 1 at Ser90 to promote K63-linked ubiquitination of Beclin 1 and activation of autophagy; it also promotes K63-linked ubiquitination of inhibitor of differentiation 1/2 (Id-1/2) by catalyzing phosphorylation of Id proteins and recruiting TRAF-6 PMID: 29079782
- PFN1 could promote autophagy through taking part in Beclin1 complex and contribute to bortezomib resistance, which may become a novel molecular target in the therapy of MM. PMID: 29945297
- The results suggest that autophagy-associated proteins LC3A, LC3B, and Beclin-1 might be potential biomarkers for subclassification, differentiation, and local metastasis in primary lung tumor. PMID: 29545906
- Silencing Beclin-1 can attenuate hypoxia-induced VM formation and the metastatic ability of U87MG cells and is a potential target for VM inhibition in glioma. PMID: 29278874
- Endogenous HER2 interacts with Beclin 1 in breast cancer cells and inhibits autophagy. BECN1 allelic loss is common and associated with a worse prognosis in patients with HER2-overexpressing breast tumors. PMID: 29610308
- Phosphorylated and activated deoxycytidine kinase inhibits ionizing radiation (IR)-induced total cell death and apoptosis, and promotes IR-induced autophagy through the mTOR pathway and by inhibiting the binding of Bcl2 protein to BECN1 in breast cancer cells. PMID: 29393406
- Variation found in the BECN1 promoter modulates expression levels of this gene. Machado-Joseph Disease patients carrying the rs60221525 C allele presented a tendency for earlier estimated age at onset. Moreover, patients with the rs60221525 C allele presented a more severe clinical picture, compared to patients without this allele. PMID: 28699106
- that after Caspase 3-mediated Beclin 1 cleavage at 146/149 sites, the N-terminal fragments of Beclin 1 may partially translocate into nuclei in neurons subjected to AD-like injury PMID: 28964771
- TRIM50, via the RING domain, ubiquitinates Beclin 1 in a K63-dependent manner enhancing its binding with ULK1 and autophagy activity. PMID: 29604308
- The expression level of EMC-6 is significantly elevated in cervical cancer, without significant correlation with Beclin1 and Rab5a. PMID: 28742203
- CISD2 was increased in glioma samples and was associated with poor prognosis and aggressive tumor behavior. The miR449a/CISD2/beclin1mediated autophagy regulatory network contributed to the proliferation of glioma cells PMID: 28983596
- low expression levels of Beclin 1 may contribute towards the degeneration of chondrocytes. Beclin 1 overexpression increased cell viability, inhibited apoptosis and MMPs, likely via the PI3K/Akt/mTOR signaling pathway. PMID: 28731147
- A construct lacking the C-terminal BARA domain but including the coiled-coil region exhibits a homodimer KD 3.5-fold weaker than that of full-length BECN1, indicating that both the BARA domain and the coiled-coil region of BECN1 contribute to dimer formation PMID: 29185708
- While 3-methyladenine rescues cell damage. Our data thus suggest that I/R promotes NF-kappaB p65 activity mediated Beclin 1-mediated autophagic flux, thereby exacerbating myocardial injury. PMID: 27857190
- that TPT1 knockdown altered the BECN1 interactome, a representative MTOR-independent pathway, to stimulate autophagosome formation PMID: 28409693
- High levels of Beclin1 is associated with non-small cell lung cancer. PMID: 28558758
- OHPg/PR-B through Beclin-1 and Bcl2 evoke autophagy-senescence transition in breast cancer cells PMID: 27462784
- These results suggest that the phosphorylated CAV1 functions to activate autophagy through binding to the BECN1/VPS34 complex under oxidative stress and to protect against ischemic damage. PMID: 28542134
- some tumor suppressor functions of Beclin 1 were mediated through posttranscriptional regulation of ZEB1 via AUF1 in thyroid cancers. PMID: 27683118
- Cheliensisin A (Chel A)treatment led to PH domain and Leucine rich repeat Protein Phosphatases (PHLPP2) protein degradation and subsequently increased in c-Jun phosphorylation, which could be attenuated by inhibition of autophagy mediated by Beclin 1. PMID: 27556506
- autophagy induction stabilized microtubules by degrading SCG10, a microtubule disassembly protein in neurons. In mice with spinal cord injury, local administration of a specific autophagy-inducing peptide, Tat-beclin1, to lesion sites markedly attenuated axonal retraction of spinal dorsal column axons and cortical spinal tract and promoted regeneration of descending axons following long-term observation PMID: 27638205
- Results provide evidence that Beclin-1 plays a major role in breast cancer subtypes, and identified AFF3 as his direct target. PMID: 28401970
- significantly different gene expressions of BECN1 and PRKCB between the control and the Alzheimer's disease (AD) groups and of CDKN2A between the control and the preclinical AD groups, are reported. PMID: 26510741
- EHMT2 can directly repress Beclin-1 and the inhibition of EHMT2 may be a useful therapeutic approach for cancer prevention by activating autophagy PMID: 27174920
- oxidative stress activates the TRPM2-Ca(2+)-CAMK2 cascade to phosphorylate BECN1 resulting in autophagy inhibition PMID: 27245989
- Inhibition of Beclin-1 resulted in a dramatic decline of autophagy and increase of apoptosis in drug-resistant cells, accompanied by a remarkable reduction in S phase and a raise in G2/M phase of cell cycle and reverse the effect induced by miR-30a-5p suppression. PMID: 28977798
- AMP-activated protein kinase (AMPK) regulates autophagy by phosphorylating BECN1 at Thr388 PMID: 27304906
- In patients treated with immunomodulatory drugs (IMiDs) lack of or low Beclin-1 expression resulted in a significantly improved OS and PFS compared to those treated with bortezomib or nonnovel agents. PMID: 26880040
- beta-asarone changed the cellular morphology, inhibited cell proliferation, and enhanced the expression of P53, LC3-II/I, Beclin-1, AMPK, and pAMPK while inhibiting the expression of P62, Bcl-2, mTOR, and pmTOR in glioma cells. PMID: 28776671
- PINK1 silencing impaired BECN1 enrichment at mitochondria-associated membranes independently of PARK2, suggesting a novel role for PINK1 in regulating mitophagy. PMID: 28368777
- ABHD5 possesses a PNPLA2-independent function in regulating autophagy and tumorigenesis. PMID: 27559856
- BECN1-APP association and BECN1-dependent APP endocytosis and degradative trafficking were negatively regulated by active AKT. PMID: 27715386
- findings will also clarify the conflict between apoptosis-autophagy on the basis of its unique property derived from surface chemistry modulation, in context of Beclin-1 eminent cleavage/splice which remarks novel effect of Beclin-1 dependent tuning of autophagosomes formation and switch to enhance apoptotic index, mediates by PI3KC3 cleavage and caspase activation PMID: 28076888
- Data suggest that BECN1 exhibits a helical region that transitions between packing (folding/unfolding) as part of either one of two conserved domains; packing of this helical region appears to have important implications for relative stability of autophagy-inactive and autophagy-active BECN1 complexes. PMID: 28798234
- downregulation of HOXC9 releases its transcriptional inhibition of DAPK1, resulting in the activation of the DAPK1-Beclin1 pathway, which induces autophagy in glioblastoma cells PMID: 26582930
- ASPP2 is a key regulator of BECN1-dependent autophagy. PMID: 27929538
- the polyQ domain enables wild-type ataxin 3 to interact with beclin 1, a key initiator of autophagy; this interaction allows the deubiquitinase activity of ataxin 3 to protect beclin 1 from proteasome-mediated degradation and thereby enables autophagy PMID: 28445460
- findings suggest that expression of cFLIPL regulates the basal interaction of Bcl-2 with Beclin-1 and substantiates p53 dependent ubiquitination of Beclin-1 during autophagic stress to determine the fate of cell death or survival. PMID: 26682748
- Here, sequence analyses, structural modeling, mutagenesis combined with pull-down assays, X-ray crystal structure determination and small-angle X-ray scattering were used to investigate the Beclin 1-GAPR-1 interaction. changes in the structure of the equatorial groove combined with the improved dimerization of pentad mutant GAPR-1 are likely to abrogate binding to Beclin 1. PMID: 28876241
- Acetylated PGK1 binds to and phosphorylates Beclin1 at S30, leading to activation of the VPS34-Beclin1 complex to initiate autophagosomal formation. PMID: 28238651
- reactive oxygen species (ROS) production was induced, which increased RelA transcriptional activity and beclin 1 (BECN1) expression in oral cancer cells irradiated with LPL PMID: 27632526
- Further data showed that reactive oxygen species-c-Jun activation by HBx resulted in the release of beclin-1 from its association with beclin-2 to form a complex with VPS34, thus enhancing autophagosome formation. PMID: 28515304
- Beclin1 interacts with both the N- and C-termini of LAPTM4B. Beclin1 competes with EGFR for LAPTM4B binding. PMID: 28479384
- MiR-30d inhibited cell autophagy by directly targeting messenger RNA of ATG5, phosphoinositide 3-kinase, and Beclin1 and promoted cell apoptosis of human colon cancer cells. It is helpful to clarify the function of miR-30d in tumorigenesis of human cancers. PMID: 28651493
- fructose-1,6-bisphosphatase 1 facilitated co-action between Bcl-2 and Beclin 1, which may be important in the mechanism of fructose-1,6-bisphosphatase 1-mediated mitophagy inhibition. In summary, loss of mitophagy by fructose-1,6-bisphosphatase 1-mediated repression promotes apoptosis in breast cancer PMID: 28653874
顯示更多
收起更多
-
亞細胞定位:Cytoplasm. Golgi apparatus, trans-Golgi network membrane; Peripheral membrane protein. Endosome membrane; Peripheral membrane protein. Endoplasmic reticulum membrane; Peripheral membrane protein. Mitochondrion membrane; Peripheral membrane protein. Endosome. Cytoplasmic vesicle, autophagosome.; [Beclin-1-C 35 kDa]: Mitochondrion. Nucleus. Cytoplasm.; [Beclin-1-C 37 kDa]: Mitochondrion.
-
蛋白家族:Beclin family
-
組織特異性:Ubiquitous.
-
數據庫鏈接:
Most popular with customers
-
-
YWHAB Recombinant Monoclonal Antibody
Applications: ELISA, WB, IHC, IF, FC
Species Reactivity: Human, Mouse, Rat
-
Phospho-YAP1 (S127) Recombinant Monoclonal Antibody
Applications: ELISA, WB, IHC
Species Reactivity: Human
-
-
-
-
-















