BCS1L Antibody
-
中文名稱:BCS1L兔多克隆抗體
-
貨號:CSB-PA897463ESR1HU
-
規格:¥440
-
圖片:
-
Western blot
All lanes: BCS1L antibody at 3.07µg/ml
Lane 1: A549 whole cell lysate
Lane 2: 293T whole cell lysate
Lane 3: Hela whole cell lysate
Secondary
Goat polyclonal to rabbit IgG at 1/10000 dilution
Predicted band size: 48 kDa
Observed band size: 48 kDa -
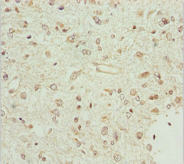
Immunohistochemistry of paraffin-embedded human glioma using CSB-PA897463ESR1HU at dilution of 1:100
-
-
其他:
產品詳情
-
產品名稱:Rabbit anti-Homo sapiens (Human) BCS1L Polyclonal antibody
-
Uniprot No.:
-
基因名:
-
別名:BCS1L; BCS1; Mitochondrial chaperone BCS1; h-BCS1; BCS1-like protein
-
宿主:Rabbit
-
反應種屬:Human
-
免疫原:Recombinant Human Mitochondrial chaperone BCS1 protein (33-240AA)
-
免疫原種屬:Homo sapiens (Human)
-
標記方式:Non-conjugated
-
克隆類型:Polyclonal
-
抗體亞型:IgG
-
純化方式:Antigen Affinity Purified
-
濃度:It differs from different batches. Please contact us to confirm it.
-
保存緩沖液:PBS with 0.02% sodium azide, 50% glycerol, pH7.3.
-
產品提供形式:Liquid
-
應用范圍:ELISA, WB, IHC
-
推薦稀釋比:
Application Recommended Dilution WB 1:1000-1:5000 IHC 1:20-1:200 -
Protocols:
-
儲存條件:Upon receipt, store at -20°C or -80°C. Avoid repeated freeze.
-
貨期:Basically, we can dispatch the products out in 1-3 working days after receiving your orders. Delivery time maybe differs from different purchasing way or location, please kindly consult your local distributors for specific delivery time.
-
用途:For Research Use Only. Not for use in diagnostic or therapeutic procedures.
相關產品
靶點詳情
-
功能:Chaperone necessary for the assembly of mitochondrial respiratory chain complex III. Plays an important role in the maintenance of mitochondrial tubular networks, respiratory chain assembly and formation of the LETM1 complex.
-
基因功能參考文獻:
- The BCSIL gene mutation is responsible for GRACILE syndrome, Bjornstad syndrome and complex III deficiency. Bjomstad syndrome is characterized by sensorineural hearing loss and abnormal flat twisted hair shafts. The case is GRACILE syndrome with Bjomstad phenotype in neonatal period due to BCSL1 gene mutation. PMID: 30226971
- We report the first Italian patients with Bjornstad syndrome, two siblings with pili torti and sensorineural hearing loss, in whom we detected two novel compound heterozygous mutations in BCS1L PMID: 28322498
- * Description of a novel homozygous mutation in BCS1L with transient neonatal acidosis and persistent de Toni-Debre-Fanconi-type tubulopathy. * The long survival of patients with phenotypic presentation of severe complex III deficiency is uncommon. PMID: 26563427
- Extensive statistical and cluster analyses revealed a protein profile characteristic for the BCS1L mutant fibroblasts that included alterations in energy metabolism, cell signaling and gene expression regulation, cytoskeleton formation and maintenance. PMID: 25239759
- Exome sequencing revealed novel BCS1L mutations in two siblings with Bjornstad syndrome characterized by hearing loss and hypotrichosis. PMID: 25895478
- A novel behavioral and psychiatric phenotype associated with a p.Gly129Arg BCS1L mutation. PMID: 22991165
- This region encompasses the BCS1L gene. PMID: 24172246
- These results provide new insights into the role of pathogenic BCS1L mutations in mitochondrial function and dynamics. PMID: 20518024
- GRACILE syndrome, a lethal metabolic disorder with iron overload, is caused by a point mutation in BCS1L PMID: 12215968
- a function of BCS1L is to promote the maturation of complex III and the incorporation of the Rieske iron-sulfur protein into the nascent complex. Defective BCS1L leads to the formation of a catalytically inactive, structurally unstable complex III. PMID: 17403714
- assessed whether 232A-->G or other BCS1L mutations were present in infants (n = 21) of Finnish origin with severe, lethal disease compatible with mitochondrial disorder PMID: 18386115
- BCS1L stimulates the assembly of the LETM1 complex. BCS1L knockdown caused disassembly of the respiratory chains as well as LETM1 downregulation and induced distinct changes in mitochondrial morphology. PMID: 18628306
- The severity of the complex III enzyme defect correlated with decreased amounts of BCS1L and respiratory chain complex III. This supports a pathogenic role for the novel BCS1L mutation in a patient with a singular clinical phenotype. PMID: 19162478
- The g.1181A>G mutation generated an alternative splicing site in the BCS1L transcript, causing a 19-nucleotides deletion in its 5'UTR region and Complex III deficiency. PMID: 19389488
- mitochondrial complex III deficiency caused by mutations in the BCS1L gene PMID: 19508421
顯示更多
收起更多
-
相關疾?。?/div>GRACILE syndrome (GRACILE); Mitochondrial complex III deficiency, nuclear 1 (MC3DN1); Bjoernstad syndrome (BJS)亞細胞定位:Mitochondrion inner membrane; Single-pass membrane protein.蛋白家族:AAA ATPase family, BCS1 subfamily組織特異性:Ubiquitous.數據庫鏈接:
Most popular with customers
-
-
YWHAB Recombinant Monoclonal Antibody
Applications: ELISA, WB, IHC, IF, FC
Species Reactivity: Human, Mouse, Rat
-
Phospho-YAP1 (S127) Recombinant Monoclonal Antibody
Applications: ELISA, WB, IHC
Species Reactivity: Human
-
-
-
-
-















