BCO1 Antibody
-
中文名稱:BCO1兔多克隆抗體
-
貨號:CSB-PA864015LA01HU
-
規格:¥440
-
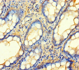
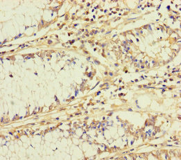
圖片:
-
其他:
產品詳情
-
產品名稱:Rabbit anti-Homo sapiens (Human) BCO1 Polyclonal antibody
-
Uniprot No.:
-
基因名:BCO1
-
別名:BCDO antibody; BCDO1 antibody; BCDO1_HUMAN antibody; BCMO antibody; Bcmo1 antibody; BCO antibody; BCO1 antibody; Beta,beta-carotene 15,15'-monooxygenase antibody; beta-carotene 15,15'-monooxygenase 1 antibody; Beta-carotene dioxygenase 1 antibody; FLJ10730 antibody
-
宿主:Rabbit
-
反應種屬:Human
-
免疫原:Recombinant Human Beta,beta-carotene 15,15\'-dioxygenase protein (1-300AA)
-
免疫原種屬:Homo sapiens (Human)
-
標記方式:Non-conjugated
本頁面中的產品,BCO1 Antibody (CSB-PA864015LA01HU),的標記方式是Non-conjugated。對于BCO1 Antibody,我們還提供其他標記。見下表:
-
克隆類型:Polyclonal
-
抗體亞型:IgG
-
純化方式:>95%, Protein G purified
-
濃度:It differs from different batches. Please contact us to confirm it.
-
保存緩沖液:Preservative: 0.03% Proclin 300
Constituents: 50% Glycerol, 0.01M PBS, PH 7.4 -
產品提供形式:Liquid
-
應用范圍:ELISA, IHC
-
推薦稀釋比:
Application Recommended Dilution IHC 1:20-1:200 -
Protocols:
-
儲存條件:Upon receipt, store at -20°C or -80°C. Avoid repeated freeze.
-
貨期:Basically, we can dispatch the products out in 1-3 working days after receiving your orders. Delivery time maybe differs from different purchasing way or location, please kindly consult your local distributors for specific delivery time.
-
用途:For Research Use Only. Not for use in diagnostic or therapeutic procedures.
相關產品
靶點詳情
-
功能:Symmetrically cleaves beta-carotene into two molecules of retinal using a dioxygenase mechanism.
-
基因功能參考文獻:
- We did not observe associations of BCMO1 variants and lung cancer. PMID: 29673335
- Study reports a molecular mechanism by which glucocorticoid-induced PPARalpha expression negatively affects the activity of PPARgamma and downregulates BCO1 gene expression. Results explicate novel aspects of local glucocorticoid:retinoid interactions that may contribute to alveolar tissue remodeling in chronic lung diseases that affect children and, possibly, adults. PMID: 28732066
- study revealed circulating beta-carotene levels were significantly higher in rs6564851 GG homozygotes; daily intake of beta-cryptoxanthin was positively associated with circulating beta-carotene levels in female GG homozygotes of rs6564851 and the daily intake of alpha- and beta-carotenes, and beta-cryptoxanthin was significantly lower in female rs6564851 T allele carries than in female GG homozygotes PMID: 28005968
- Data suggest that beta-cryptoxanthin is a poorer substrate for BCMO1 than is beta-carotene; however, the comparatively high bioavailability of beta-cryptoxanthin from foods makes beta-cryptoxanthin-rich fruits good sources of vitamin A. [REVIEW] PMID: 25270992
- This study indicates that the competitive actions of HNF-1alpha and HNF-4alpha on their overlapping binding sites in the human BCMO1 gene promoter oppositely regulate BCMO1 gene expression in the human small intestine. PMID: 25445224
- Specific BCMO1 SNPs should be determined when assessing the effects of carotenoid supplementation on macular pigment and that their expression may be influenced by retinal disease. PMID: 24586510
- Together with the data from (18)O-retinal-H2(16)O and (16)O-retinal-H2(18)O incubations to account for nonenzymatic oxygen exchange, our results show that BCO1 incorporates only oxygen from O2 into retinal. Thus, BCO1 is a dioxygenase. PMID: 24668807
- Incubation of beta-carotene and recombinant human BCMO1 in either H2(18)O-(16)O2 or H2(16)O-(18)O2 medium yields two retinal products both of which contain oxygen atoms originating solely from O2 gas. The results show that BCMO1 is a dioxygenase and not a monooxygenase as previously thought. PMID: 24668807
- Substrate specificity of purified recombinant human beta-carotene 15,15'-oxygenase (BCO1). PMID: 24187135
- BCMO1 SNP had a statistically significant association with HDL plasma levels. PMID: 23656756
- Individual responsiveness to dietary carotenoids was associated with genetic variants of the carotenoid metabolizing enzyme beta-carotene 15,15'-monooxygenase 1. PMID: 23517913
- a stepwise cleavage by BCO2 and BCO1 with APO10ol as an intermediate could provide a mechanism to tailor asymmetric carotenoids such as beta-cryptoxanthin for vitamin A production. PMID: 24106281
- Purified BCMO1 is a monomeric enzymatically active soluble protein that does not require cofactors and displays a turnover rate of about 8 molecules of beta,beta-carotene per second. PMID: 23727499
- CMO1 is expressed in human alveolar epithelial (A549) cells and converts beta-carotene into retinal and biologically active retinoic acids. PMID: 24071514
- Inhibition of BCMO1 expression is associated with increased invasiveness of colon cancer cells and increased expression of MMP7 and MMP28. beta-Carotene can upregulate BCMO1 and reverse these effects. PMID: 23803888
- genetic association study in US women of European descent: Data suggest that 2 SNP in BCMO1 (rs4889286; rs12934922) are associated with plasma carotenoid level (i.e., alpha-carotene, beta-carotene, lutein, zeaxanthin). (data from Nurses Health Study) PMID: 23134893
- investigated the effects of 4 identified SNP 5' upstream from the BCMO1 gene on beta-carotene conversion efficiency; found that three of the four intronic SNPs reduced the catalytic activity of BCMO1 in female volunteers PMID: 22113863
- These results suggest that BCMO1 and CD36 are implicated in plasma and retina concentrations of lutein and that genetic variants in these genes can modulate blood and retina concentrations of lutein. PMID: 21091228
- non-synonymous single nucleotide polymorphisms in the BCMO1 gene have been discovered causing observably reduced BCMO1 activity PMID: 20599666
- Hydrophobic mutations (K108F and K108L) at this position substantially decreased the affinity of the enzyme for substrates with ionone rings at both ends, such as alpha-carotene, beta-carotene, and beta-cryptoxanthine. PMID: 20221844
- Study demonstrates that human intestinal cell BCMO1 expression is dependent on the functional cooperation between peroxisome proliferator-activated receptor-gamma and myocyte enhancer factor 2 isoforms. PMID: 16504037
- Haploinsufficiency of the CMO1 enzyme caused hypercarotenemia and hypovitaminosis A in individuals consuming a carotenoid-containing and vitamin A-deficient diet. PMID: 17951468
- T3 is an important hormone for the regulation of vitamin A and beta-carotene metabolism-related gene expression in human small intestinal cells. PMID: 18282583
- Two common single nucleotide polymorphisms in the gene encoding BCOM1 alter beta-carotene metabolism in female volunteers. PMID: 19103647
- Identification of novel common variants associated with circulating carotenoid levels and known lipid variants associated with alpha-tocopherol levels in variations of this enzyme. PMID: 19185284
顯示更多
收起更多
-
相關疾?。?/div>Hypercarotenemia and vitamin A deficiency, autosomal dominant (ADHVAD)蛋白家族:Carotenoid oxygenase family組織特異性:Highly expressed in retinal pigment epithelium. Also expressed in kidney, testis, liver, brain, small intestine and colon.數據庫鏈接:
Most popular with customers
-
-
YWHAB Recombinant Monoclonal Antibody
Applications: ELISA, WB, IHC, IF, FC
Species Reactivity: Human, Mouse, Rat
-
-
-
-
-
-















