BCL6 Antibody
-
中文名稱:BCL6兔多克隆抗體
-
貨號:CSB-PA171912
-
規格:¥1100
-
圖片:
-
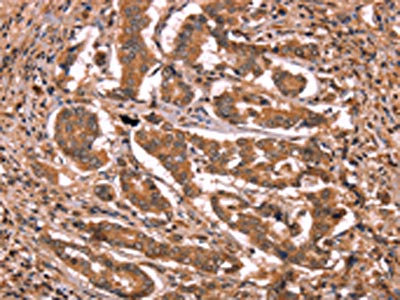
The image on the left is immunohistochemistry of paraffin-embedded Human breast cancer tissue using CSB-PA171912(BCL6 Antibody) at dilution 1/15, on the right is treated with synthetic peptide. (Original magnification: ×200)
-
The image on the left is immunohistochemistry of paraffin-embedded Human brain tissue using CSB-PA171912(BCL6 Antibody) at dilution 1/15, on the right is treated with synthetic peptide. (Original magnification: ×200)
-
Gel: 6%SDS-PAGE, Lysate: 40 μg, Lane: Raji cells, Primary antibody: CSB-PA171912(BCL6 Antibody) at dilution 1/100, Secondary antibody: Goat anti rabbit IgG at 1/8000 dilution, Exposure time: 10 seconds
-
-
其他:
產品詳情
-
Uniprot No.:
-
基因名:
-
別名:B cell CLL/lymphoma 6 antibody; B cell lymphoma 6 protein antibody; B-cell lymphoma 5 protein antibody; B-cell lymphoma 6 protein antibody; BCL 5 antibody; Bcl 6 antibody; BCL-5 antibody; BCL-6 antibody; BCL5 antibody; BCL6 antibody; BCL6_HUMAN antibody; BCL6A antibody; cys his2 zinc finger transcription factor antibody; cys-his2 zinc finger transcription factor antibody; LAZ 3 antibody; LAZ 3 protein antibody; LAZ3 antibody; Lymphoma Associated Zinc Finger Gene On Chromosome 3 (LAZ3) antibody; Lymphoma associated zinc finger gene on chromosome 3 antibody; Protein LAZ-3 antibody; ZBTB 27 antibody; ZBTB27 antibody; Zinc finger and BTB domain containing protein 27 antibody; Zinc finger and BTB domain-containing protein 27 (ZBTB27) antibody; Zinc finger and BTB domain-containing protein 27 antibody; Zinc Finger Protein 51 (ZNF51) antibody; Zinc finger protein 51 antibody; zinc finger transcription factor BCL6S antibody; ZNF 51 antibody; ZNF51 antibody
-
宿主:Rabbit
-
反應種屬:Human,Mouse
-
免疫原:Synthetic peptide of Human BCL6
-
免疫原種屬:Homo sapiens (Human)
-
標記方式:Non-conjugated
-
抗體亞型:IgG
-
純化方式:Antigen affinity purification
-
濃度:It differs from different batches. Please contact us to confirm it.
-
保存緩沖液:-20°C, pH7.4 PBS, 0.05% NaN3, 40% Glycerol
-
產品提供形式:Liquid
-
應用范圍:ELISA,WB,IHC
-
推薦稀釋比:
Application Recommended Dilution ELISA 1:1000-1:2000 WB 1:200-1:1000 IHC 1:25-1:100 -
Protocols:
-
儲存條件:Upon receipt, store at -20°C or -80°C. Avoid repeated freeze.
-
貨期:Basically, we can dispatch the products out in 1-3 working days after receiving your orders. Delivery time maybe differs from different purchasing way or location, please kindly consult your local distributors for specific delivery time.
-
用途:For Research Use Only. Not for use in diagnostic or therapeutic procedures.
相關產品
靶點詳情
-
功能:Transcriptional repressor mainly required for germinal center (GC) formation and antibody affinity maturation which has different mechanisms of action specific to the lineage and biological functions. Forms complexes with different corepressors and histone deacetylases to repress the transcriptional expression of different subsets of target genes. Represses its target genes by binding directly to the DNA sequence 5'-TTCCTAGAA-3' (BCL6-binding site) or indirectly by repressing the transcriptional activity of transcription factors. In GC B-cells, represses genes that function in differentiation, inflammation, apoptosis and cell cycle control, also autoregulates its transcriptional expression and up-regulates, indirectly, the expression of some genes important for GC reactions, such as AICDA, through the repression of microRNAs expression, like miR155. An important function is to allow GC B-cells to proliferate very rapidly in response to T-cell dependent antigens and tolerate the physiological DNA breaks required for immunglobulin class switch recombination and somatic hypermutation without inducing a p53/TP53-dependent apoptotic response. In follicular helper CD4(+) T-cells (T(FH) cells), promotes the expression of T(FH)-related genes but inhibits the differentiation of T(H)1, T(H)2 and T(H)17 cells. Also required for the establishment and maintenance of immunological memory for both T- and B-cells. Suppresses macrophage proliferation through competition with STAT5 for STAT-binding motifs binding on certain target genes, such as CCL2 and CCND2. In response to genotoxic stress, controls cell cycle arrest in GC B-cells in both p53/TP53-dependedent and -independent manners. Besides, also controls neurogenesis through the alteration of the composition of NOTCH-dependent transcriptional complexes at selective NOTCH targets, such as HES5, including the recruitment of the deacetylase SIRT1 and resulting in an epigenetic silencing leading to neuronal differentiation.
-
基因功能參考文獻:
- our exploratory study suggests that EOMES, BCL6 and GZMB gene expression are aberrant within the PB T cell transcriptome of HT patients. The association of this transcription signature with the heterogeneity of HT and disease control is suggested. PMID: 29319368
- Cryptic t(3;8)(q27;q24) and/or MYC-BCL6 linkage associated with MYC expression by immunohistochemistry is frequent in multiple-hit B-cell lymphomas PMID: 28665415
- BCL6 overexpression in SHR reduced blood pressure, NLRP3 expression and inflammation in the renal cortex of SHR PMID: 29072703
- Although BCL6 controls follicular helper T cells activity in humans and mice, the role of miR-31 is restricted to human follicular helper T cell differentiation, reflecting a species specificity of the miR-31 action. PMID: 29133396
- Aberrant CD10 and BCL6 expression defines a subset of MCLs with higher mean Ki-67 index and higher prevalence of MUM1 expression PMID: 28628241
- BCL6 is a growth promoting factor in glioblastoma and glioma. PMID: 28356518
- IFN gamma induced upregulation of BCL6 was dependent on the classical STAT1 signaling pathway, and affected both major BCL6 variants. Interestingly, although IFN alpha induced stronger STAT1 phosphorylation than IFN gamma, it only slightly upregulated BCL6 in multiple myeloma lines. PMID: 29510136
- Findings demonstrate that BCL6 expression is downregulated by miR-519d which targets its 3 '-UTR. Also, BCL6 mediates the repression of miR-519d on cell proliferation and invasive capability of gastric cancer cells. PMID: 29510377
- In Pakistani population, the frequency of GCB type DLBCL [diffuse large B cell lymphoma ]expressing CD10 and BCL6 is 37.5%, and non- GCB type DLBCL [diffuse large B cell lymphoma ] expressing MUM1 is 62.5%. PMID: 29056123
- BCOR internal tandem duplication and/or nuclear immunoreactivity for BCOR or BCL6 can aid in the diagnosis of primitive myxoid mesenchymal tumor of infancy and help to differentiate it from congenital infantile fibrosarcoma. PMID: 28256570
- our findings provide a novel apoptotic regulatory pathway in which LITAF, as a transcription factor, inhibits the expression of BCL6, which leads to activation of the intrinsic mitochondrial pathway and tumor apoptosis. PMID: 27764808
- Ikaros regulates expression of the BCL6/BACH2 axis in acute lymphoblastic leukemia cells. PMID: 28030830
- our work casts new light on the biology of mantle cell lymphoma (MCL), revealing the role of SOX11 exerting a functional effect through the repression of BCL6 transcription in MCL cells PMID: 26710884
- BCL6 inhibitors have been shown to exert potent effects against these tumor types. Moreover, mechanism-based combinations of BCL6 inhibitors with other agents have yielded synergistic and often quite dramatic activity. Hence, there is a compelling case to accelerate the development of BCL6-targeted therapies for translation to the clinical setting PMID: 27881582
- High BCL6 expression is associated with good response to chemotherapy in acute lymphoblastic leukemia. PMID: 27015556
- BCL6 expression is present in isolated cortical neurons, granule cells in the cerebellum, scattered glial cells, and in some cells of the ependyma and choroid plexus. PMID: 26862951
- We show that human follicular lymphomas are dependent on BCL6 PMID: 28232365
- Aberrant BCL6 expression was strongly associated with poor reproductive outcomes in IVF cycles in women with unexplained infertility. PMID: 29126613
- EBNA3C inhibits the transcriptional activity of the Bcl6 promoter through interaction with the cellular protein IRF4. PMID: 28738086
- Data suggest that B-cell CLL/lymphoma 6 is a promising candidate as a single diagnostic biomarker for detection of endometriosis in women with otherwise unexplained infertility and may be associated with endometrial dysfunction, including progesterone resistance. PMID: 27222232
- The aim of this study was to investigate the clinical significance of three immune cell-related transcription factors, T-bet, GATA-3 and Bcl-6 in bladder cancer in Tunisian patients. PMID: 27237631
- analysis of role of BCL6 in maintaining activated B cell diffuse large B cell lymphoma reveals that ABC-DLBCL is a BCL6-dependent disease that can be targeted by rationally designed inhibitors that exceed the binding affinity of natural BCL6 ligands PMID: 27482887
- Results provide evidence that BCL6 overexpression is involved in genomic instability in multiple myeloma cells. PMID: 28544233
- Our data reveal a regulatory role of BCL6 in inhibiting antiviral resistance factors in follicular Th cells PMID: 28550121
- the high expressions of BCL6 and Lewis y antigen are associated with development, high tumor burden, and worse prognosis of ovarian cancer and targeting BCL6 could be a novel therapeutic strategy for ovarian cancer treatment. PMID: 28671040
- both mouse and human B cells, IFN-gamma synergized with B cell receptor, toll-like receptor, and/or CD40 activation signals to promote cell-intrinsic expression of the GC master transcription factor, B cell lymphoma 6 protein. PMID: 27069113
- MicroRNA-544 down-regulates both Bcl6 and Stat3 to inhibit tumor growth of human triple negative breast cancer PMID: 27186677
- miR-10a directly recognizes the 3'-UTR of the BCL6 transcript and regulated BCL6 expression. PMID: 27815824
- This work identified BCL6 as a novel biomarker for early prediction of cerebral palsy. PMID: 28315684
- Bcl-6 expression in circulating follicular helper-like T cells may represent a reliable marker for the disease activity in systemic lupus erythematosus PMID: 27818202
- In addition, subsequent single-crystal X-ray diffraction analysis of F1324/BCL6(5-129) complex revealed that the high affinity of F1324 was caused by effective interaction of its side chains while its main chain structure was similar to that of BcoR(Arg498-514Pro). To our knowledge, F1324 is the strongest BCL6-binding peptide yet reported. PMID: 27856253
- We report the case of a 7-month-old girl with atypical oculo-facio-cardio-dental syndrome (OFCD). A novel de novo pathogenic mutation in the BCL6 interacting co-repressor gene (BCOR) (c.4540C>T; p.Arg1514*), was identified on the X chromosome PMID: 28317252
- JAK2 is a direct BCL6 target gene; BCL6 bound to the JAK2 promoter PMID: 27268052
- Deregulated BCL6 expression caused by hypermethylation and TET2 mutations may result in skewed follicular helper T cell differentiation and eventually contribute to angioimmunoblastic T-cell lymphoma and peripheral T-cell lymphoma development in patients PMID: 27921272
- miR-339-5p inhibits migration and invasion in ovarian cancer by targeting NACC1 and BCL6. miR-339-5p may be a biomarker of metastasis in ovarian cancer; NACC1 had a predictive value for ovarian cancer progression PMID: 26553360
- Data show there was a positive correlation between B cell lymphoma 6 (Bcl-6) and B lymphocyte-induced maturation protein 1 (Blimp-1) at the level of mRNA. PMID: 27363279
- miR-155 overexpression plays a promoting role in the proliferative, migratory and invasive behavior of OSCC cells. Its effects on OSCC are possibly associated with its regulation of the BCL6/cyclin D2 axis. PMID: 26986233
- BCL6 Rearrangements are associated with Diffuse Large B-Cell Lymphoma. PMID: 26319027
- Bcl6, by interacting with the co-factors NcoR2 and HDAC3, plays a pivotal role in controlling IRF7 induction and antiviral signaling priming. PMID: 26728228
- diffuse large B-cell lymphoma patients with either MYC/BCL6 rearrangements or MYC/BCL6 co-expression did not always have poorer prognosis PMID: 26573234
- BCL6 promotes proliferation and survival of trophoblastic cells. PMID: 27029530
- Studies indicate that germinal centers (GC) B cells represent the normal counterpart of most B-cell lymphomas, which are often characterized by deregulated B cell lymphoma 6 (BCL6) expression or BCL6-mediated pathways. PMID: 26566802
- Bcl-6 mRNA and protein levels, as well as the frequencies of Bcl-6(+)CD4(+) cells were significantly increased in polyp tissues compared with normal controls. PMID: 25711734
- Follicular helper T cells differentiation is a multistage process involving BCL6 and other transcription factors, cytokines, and costimulation through ICOS and several other molecules. (Review) PMID: 26120879
- These results suggest that STAT6 plays an important role in regulating Sp1 and BCL6 through STAT2 to exert the anti-proliferative effects of type I IFN. PMID: 26945968
- Identified BCL6 to be a target of miR-10a in patients with Acute Myeloid Leukemia (AML). PMID: 26590574
- Study demonstrates that survivin belongs to the Tfh cell phenotype and ensures their optimal function by regulating transcriptional activity of Bcl-6. PMID: 26343374
- BCL6 repression of EP300 in human diffuse large B cell lymphoma cells provides a basis for rational combinatorial therapy. PMID: 21041953
- Taken together, our results demonstrated that miR-187-3p played a pivotal role on NSCLC through inhibiting cell proliferation, migration, invasion, and promoting apoptosis by targeting oncogenic BCL6. PMID: 26845350
- BCL6 gene expression is plays a role in the pathogenesis of diffuse large B-cell lymphoma. PMID: 26414904
顯示更多
收起更多
-
相關疾病:Chromosomal aberrations involving BCL6 are a cause of B-cell non-Hodgkin lymphomas (B-cell NHL), including diffuse large B-cell lymphoma and follicular lymphoma. Approximately 40% of diffuse large B-cell lymphomas and 5 to 10% of follicular lymphomas are associated with chromosomal translocations that deregulate expression of BCL6 by juxtaposing heterologous promoters to the BCL6 coding domain. Translocation t(3;14)(q27;q32). Translocation t(3;22)(q27;q11) with immunoglobulin gene regions. Translocation t(3;7)(q27;p12) with IKZF1 gene 5'non-coding region. Translocation t(3;6)(q27;p21) with Histone H4. Translocation t(3;16)(q27;p11) with IL21R. Translocation t(3;13)(q27;q14) with LCP1.; DISEASE: Note=A chromosomal aberration involving BCL6 may be a cause of a form of B-cell leukemia. Translocation t(3;11)(q27;q23) with POU2AF1/OBF1.; DISEASE: Note=A chromosomal aberration involving BCL6 may be a cause of lymphoma. Translocation t(3;4)(q27;p11) with ARHH/TTF.
-
亞細胞定位:Nucleus.
-
組織特異性:Expressed in germinal center T- and B-cells and in primary immature dendritic cells.
-
數據庫鏈接:
Most popular with customers
-
-
YWHAB Recombinant Monoclonal Antibody
Applications: ELISA, WB, IHC, IF, FC
Species Reactivity: Human, Mouse, Rat
-
Phospho-YAP1 (S127) Recombinant Monoclonal Antibody
Applications: ELISA, WB, IHC
Species Reactivity: Human
-
-
-
-
-















