BCAT2 Antibody
-
中文名稱:BCAT2兔多克隆抗體
-
貨號:CSB-PA002601ESR1HU
-
規格:¥440
-
圖片:
-
Western blot
All lanes: BCAT2 antibody at 14µg/ml + 293T whole cell lysate
Secondary
Goat polyclonal to rabbit IgG at 1/10000 dilution
Predicted band size: 45, 34 kDa
Observed band size: 34 kDa -
Immunohistochemistry of paraffin-embedded human colon tissue using CSB-PA002601ESR1HU at dilution of 1:100
-
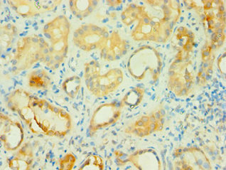
Immunohistochemistry of paraffin-embedded human kidney tissue using CSB-PA002601ESR1HU at dilution of 1:100
-
-
其他:
產品詳情
-
產品名稱:Rabbit anti-Homo sapiens (Human) BCAT2 Polyclonal antibody
-
Uniprot No.:
-
基因名:
-
別名:BCAM antibody; BCAT 2 antibody; BCAT(m) antibody; BCAT2 antibody; BCAT2_HUMAN antibody; BCATM antibody; BCT2 antibody; Branched chain aminotransferase 2; mitochondrial antibody; Branched-chain-amino-acid aminotransferase antibody; ECA40 antibody; mitochondrial antibody; Placental protein 18 antibody; PP18 antibody
-
宿主:Rabbit
-
反應種屬:Human
-
免疫原:Recombinant Human Branched-chain-amino-acid aminotransferase, mitochondrial protein (20-200AA)
-
免疫原種屬:Homo sapiens (Human)
-
標記方式:Non-conjugated
-
克隆類型:Polyclonal
-
抗體亞型:IgG
-
純化方式:Antigen Affinity Purified
-
濃度:It differs from different batches. Please contact us to confirm it.
-
保存緩沖液:PBS with 0.02% sodium azide, 50% glycerol, pH7.3.
-
產品提供形式:Liquid
-
應用范圍:ELISA, WB, IHC
-
推薦稀釋比:
Application Recommended Dilution WB 1:500-1:2000 IHC 1:20-1:200 -
Protocols:
-
儲存條件:Upon receipt, store at -20°C or -80°C. Avoid repeated freeze.
-
貨期:Basically, we can dispatch the products out in 1-3 working days after receiving your orders. Delivery time maybe differs from different purchasing way or location, please kindly consult your local distributors for specific delivery time.
-
用途:For Research Use Only. Not for use in diagnostic or therapeutic procedures.
相關產品
靶點詳情
-
功能:Catalyzes the first reaction in the catabolism of the essential branched chain amino acids leucine, isoleucine, and valine. May also function as a transporter of branched chain alpha-keto acids.
-
基因功能參考文獻:
- identification of a peroxide-sensitive redox switch at the CXXC motif PMID: 12119021
- Studies of ketimine and pyridoxamine phosphate forms of BCAT@ reaction intermediates reveal substrate specificity for L-branched chain amino acids via a group of hydrophobic residues that form three hydrophobic surfaces and lock the side chain in place. PMID: 12269802
- role of cysteine residues in the regulatory CXXC motif PMID: 15182179
- ption of the CXXC center results in altered substrate orientation and deprotonation of the amino group of pyridoxamine 5'-phosphate, which inhibits catalysis PMID: 17050531
-
亞細胞定位:[Isoform A]: Mitochondrion.; [Isoform B]: Cytoplasm.
-
蛋白家族:Class-IV pyridoxal-phosphate-dependent aminotransferase family
-
組織特異性:Ubiquitous.
-
數據庫鏈接:
Most popular with customers
-
-
Phospho-YAP1 (S127) Recombinant Monoclonal Antibody
Applications: ELISA, WB, IHC
Species Reactivity: Human
-
-
-
-
-
-















