BCAS2 Antibody
-
中文名稱:BCAS2兔多克隆抗體
-
貨號:CSB-PA594692
-
規格:¥1100
-
圖片:
-
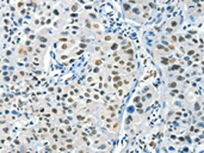
The image on the left is immunohistochemistry of paraffin-embedded Human colon cancer tissue using CSB-PA594692(BCAS2 Antibody) at dilution 1/50, on the right is treated with fusion protein. (Original magnification: ×200)
-
The image on the left is immunohistochemistry of paraffin-embedded Human lung cancer tissue using CSB-PA594692(BCAS2 Antibody) at dilution 1/50, on the right is treated with fusion protein. (Original magnification: ×200)
-
Gel: 12%SDS-PAGE, Lysate: 40 μg, Lane 1-2: A172 cells, 231 cells, Primary antibody: CSB-PA594692(BCAS2 Antibody) at dilution 1/250, Secondary antibody: Goat anti rabbit IgG at 1/8000 dilution, Exposure time: 20 seconds
-
-
其他:
產品詳情
-
Uniprot No.:
-
基因名:BCAS2
-
別名:bcas2 antibody; Breast carcinoma amplified sequence 2 antibody; Breast carcinoma-amplified sequence 2 antibody; DAM 1 antibody; DAM-1 antibody; DAM1 antibody; DNA amplified in mammary carcinoma 1 protein antibody; MGC7712 antibody; Pre mRNA splicing factor SPF27 antibody; Pre-mRNA-splicing factor spf27 antibody; Snt309 antibody; SPF27 antibody; SPF27_HUMAN antibody; Spliceosome associated protein amplified in breast cancer antibody; Spliceosome associated protein SPF 27 antibody; Spliceosome-associated protein SPF 27 antibody
-
宿主:Rabbit
-
反應種屬:Human,Mouse
-
免疫原:Fusion protein of Human BCAS2
-
免疫原種屬:Homo sapiens (Human)
-
標記方式:Non-conjugated
-
抗體亞型:IgG
-
純化方式:Antigen affinity purification
-
濃度:It differs from different batches. Please contact us to confirm it.
-
保存緩沖液:-20°C, pH7.4 PBS, 0.05% NaN3, 40% Glycerol
-
產品提供形式:Liquid
-
應用范圍:ELISA,WB,IHC
-
推薦稀釋比:
Application Recommended Dilution ELISA 1:1000-1:5000 WB 1:200-1:1000 IHC 1:50-1:200 -
Protocols:
-
儲存條件:Upon receipt, store at -20°C or -80°C. Avoid repeated freeze.
-
貨期:Basically, we can dispatch the products out in 1-3 working days after receiving your orders. Delivery time maybe differs from different purchasing way or location, please kindly consult your local distributors for specific delivery time.
-
用途:For Research Use Only. Not for use in diagnostic or therapeutic procedures.
相關產品
靶點詳情
-
功能:Required for pre-mRNA splicing as component of the activated spliceosome. Component of the PRP19-CDC5L complex that forms an integral part of the spliceosome and is required for activating pre-mRNA splicing. May have a scaffolding role in the spliceosome assembly as it contacts all other components of the core complex. The PRP19-CDC5L complex may also play a role in the response to DNA damage (DDR).
-
基因功能參考文獻:
- Study showed that CDK4 and BCAS2 may be target genes of miR-486 and levels of CDK4 and BCAS2 were both significantly higher in the esophageal cancer tissues and cell lines than levels in the normal tissues and cells. PMID: 29115564
- Chromosomal breakpoints involved the BCAS2 gene in 1q31 is associated with Diffuse Large B-Cell Lymphomas. PMID: 27356265
- BCAS2 interacts with HSF4 and negatively regulates its protein stability via ubiquitination. PMID: 26319152
- These results demonstrate that Aurora B inhibits both direct interaction with the microtubule and oligomerization of the Dam1 complex to drive error correction during mitosis. PMID: 26560693
- BCAS2 is a novel androgen receptor-interacting protein. PMID: 25461807
- ERRbeta signalling leads to BCAS2-mediated blockage of the G1/S transition and inhibition of the epithelial to mesenchymal transition through FST-mediated regulation of E-cadherin PMID: 24667650
- The BCAS2 gene was amplified in two of 60 primary breast cancer tissues, but not in other cancer cells, providing the first evidence of amplification within this region and indicating that BCAS2 gene codes for a nuclear protein. PMID: 12169396
- This study suggested that BCAS2 might play an important role in breast cancer development by increasing the estrogen receptor's function. PMID: 15694360
- BCAS2 directly interacts with p53 to reduce p53 transcriptional activity by mildly but consistently decreasing p53 protein in the absence of DNA damage. In the presence of DNA damage, BCAS2 prominently reduces p53 protein. PMID: 19903847
顯示更多
收起更多
-
亞細胞定位:Nucleus. Nucleus, nucleolus.
-
蛋白家族:SPF27 family
-
組織特異性:Ubiquitously expressed.
-
數據庫鏈接:
Most popular with customers
-
-
YWHAB Recombinant Monoclonal Antibody
Applications: ELISA, WB, IHC, IF, FC
Species Reactivity: Human, Mouse, Rat
-
Phospho-YAP1 (S127) Recombinant Monoclonal Antibody
Applications: ELISA, WB, IHC
Species Reactivity: Human
-
-
-
-
-















