BAZ2B Antibody
-
中文名稱:BAZ2B兔多克隆抗體
-
貨號:CSB-PA883427LA01HU
-
規格:¥440
-
圖片:
-
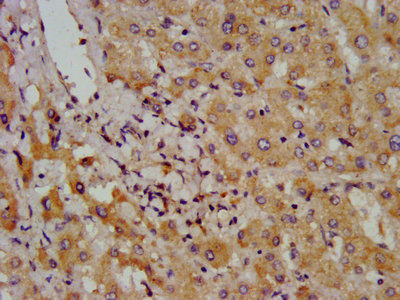
IHC image of CSB-PA883427LA01HU diluted at 1:800 and staining in paraffin-embedded human liver cancer performed on a Leica BondTM system. After dewaxing and hydration, antigen retrieval was mediated by high pressure in a citrate buffer (pH 6.0). Section was blocked with 10% normal goat serum 30min at RT. Then primary antibody (1% BSA) was incubated at 4°C overnight. The primary is detected by a biotinylated secondary antibody and visualized using an HRP conjugated SP system.
-
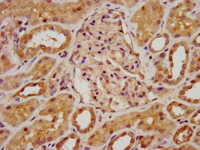
IHC image of CSB-PA883427LA01HU diluted at 1:800 and staining in paraffin-embedded human kidney tissue performed on a Leica BondTM system. After dewaxing and hydration, antigen retrieval was mediated by high pressure in a citrate buffer (pH 6.0). Section was blocked with 10% normal goat serum 30min at RT. Then primary antibody (1% BSA) was incubated at 4°C overnight. The primary is detected by a biotinylated secondary antibody and visualized using an HRP conjugated SP system.
-
Immunofluorescence staining of Hela cells with CSB-PA883427LA01HU at 1:266, counter-stained with DAPI. The cells were fixed in 4% formaldehyde, permeabilized using 0.2% Triton X-100 and blocked in 10% normal Goat Serum. The cells were then incubated with the antibody overnight at 4°C. The secondary antibody was Alexa Fluor 488-congugated AffiniPure Goat Anti-Rabbit IgG(H+L).
-
-
其他:
產品詳情
-
產品名稱:Rabbit anti-Homo sapiens (Human) BAZ2B Polyclonal antibody
-
Uniprot No.:
-
基因名:
-
別名:BAZ2B antibody; BAZ2B_HUMAN antibody; Bromodomain adjacent to zinc finger domain 2B antibody; Bromodomain adjacent to zinc finger domain protein 2B antibody; DKFZp434H071 antibody; DKFZp762I0516 antibody; FLJ45644 antibody; hWALp4 antibody; OTTHUMP00000162897 antibody; OTTHUMP00000162898 antibody; WALp4 antibody
-
宿主:Rabbit
-
反應種屬:Human
-
免疫原:Recombinant Human Bromodomain adjacent to zinc finger domain protein 2B protein (139-240AA)
-
免疫原種屬:Homo sapiens (Human)
-
標記方式:Non-conjugated
本頁面中的產品,BAZ2B Antibody (CSB-PA883427LA01HU),的標記方式是Non-conjugated。對于BAZ2B Antibody,我們還提供其他標記。見下表:
-
克隆類型:Polyclonal
-
抗體亞型:IgG
-
純化方式:>95%, Protein G purified
-
濃度:It differs from different batches. Please contact us to confirm it.
-
保存緩沖液:Preservative: 0.03% Proclin 300
Constituents: 50% Glycerol, 0.01M PBS, pH 7.4 -
產品提供形式:Liquid
-
應用范圍:ELISA, IHC, IF
-
推薦稀釋比:
Application Recommended Dilution IHC 1:500-1:1000 IF 1:200-1:500 -
Protocols:
-
儲存條件:Upon receipt, store at -20°C or -80°C. Avoid repeated freeze.
-
貨期:Basically, we can dispatch the products out in 1-3 working days after receiving your orders. Delivery time maybe differs from different purchasing way or location, please kindly consult your local distributors for specific delivery time.
-
用途:For Research Use Only. Not for use in diagnostic or therapeutic procedures.
相關產品
靶點詳情
-
功能:Regulatory subunit of the ATP-dependent BRF-1 and BRF-5 ISWI chromatin remodeling complexes, which form ordered nucleosome arrays on chromatin and facilitate access to DNA during DNA-templated processes such as DNA replication, transcription, and repair. Both complexes regulate the spacing of nucleosomes along the chromatin and have the ability to slide mononucleosomes to the center of a DNA template. The BRF-1 ISWI chromatin remodeling complex has a lower ATP hydrolysis rate than the BRF-5 ISWI chromatin remodeling complex. Chromatin reader protein, which may play a role in transcriptional regulation via interaction with ISWI. Involved in positively modulating the rate of age-related behavioral deterioration. Represses the expression of mitochondrial function-related genes, perhaps by occupying their promoter regions, working in concert with histone methyltransferase EHMT1.
-
基因功能參考文獻:
- Phosphorylation, acetylation, or poly(ADP-ribosyl)ation of the linker residues may therefore act as a cellular mechanism to transiently tune BAZ2B histone-binding affinity. PMID: 28864776
-
亞細胞定位:Nucleus.
-
蛋白家族:WAL family
-
組織特異性:Expressed at varying levels in several tissues, whereas a smaller transcript was expressed specifically in testis.
-
數據庫鏈接:
Most popular with customers
-
-
Phospho-YAP1 (S127) Recombinant Monoclonal Antibody
Applications: ELISA, WB, IHC
Species Reactivity: Human
-
-
-
-
-
-















