BATF2 Antibody
-
中文名稱:BATF2兔多克隆抗體
-
貨號:CSB-PA822685LA01HU
-
規格:¥440
-
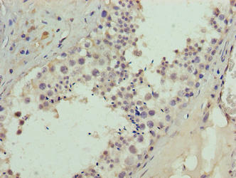
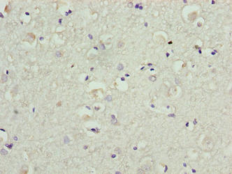
圖片:
-
其他:
產品詳情
-
產品名稱:Rabbit anti-Homo sapiens (Human) BATF2 Polyclonal antibody
-
Uniprot No.:
-
基因名:BATF2
-
別名:BATF2Basic leucine zipper transcriptional factor ATF-like 2 antibody; B-ATF-2 antibody; Suppressor of AP-1 regulated by IFN antibody; SARI antibody
-
宿主:Rabbit
-
反應種屬:Human
-
免疫原:Recombinant Human Basic leucine zipper transcriptional factor ATF-like 2 protein (1-189AA)
-
免疫原種屬:Homo sapiens (Human)
-
標記方式:Non-conjugated
本頁面中的產品,BATF2 Antibody (CSB-PA822685LA01HU),的標記方式是Non-conjugated。對于BATF2 Antibody,我們還提供其他標記。見下表:
-
克隆類型:Polyclonal
-
抗體亞型:IgG
-
純化方式:>95%, Protein G purified
-
濃度:It differs from different batches. Please contact us to confirm it.
-
保存緩沖液:Preservative: 0.03% Proclin 300
Constituents: 50% Glycerol, 0.01M PBS, PH 7.4 -
產品提供形式:Liquid
-
應用范圍:ELISA, IHC
-
推薦稀釋比:
Application Recommended Dilution IHC 1:20-1:200 -
Protocols:
-
儲存條件:Upon receipt, store at -20°C or -80°C. Avoid repeated freeze.
-
貨期:Basically, we can dispatch the products out in 1-3 working days after receiving your orders. Delivery time maybe differs from different purchasing way or location, please kindly consult your local distributors for specific delivery time.
-
用途:For Research Use Only. Not for use in diagnostic or therapeutic procedures.
相關產品
靶點詳情
-
功能:AP-1 family transcription factor that controls the differentiation of lineage-specific cells in the immune system. Following infection, participates in the differentiation of CD8(+) thymic conventional dendritic cells in the immune system. Acts via the formation of a heterodimer with JUN family proteins that recognizes and binds DNA sequence 5'-TGA[CG]TCA-3' and regulates expression of target genes. Selectively suppresses CCN1 transcription and hence blocks the downstream cell proliferation signals produced by CCN1 and inhibits CCN1-induced anchorage-independent growth and invasion in several cancer types, such as breast cancer, malignant glioma and metastatic melanoma. Possibly acts by interfering with AP-1 binding to CCN1 promoter.
-
基因功能參考文獻:
- BATF2 gene was modulated after treatment with zebularine and was a poor prognostic marker, since its low levels were correlated with relapse and a poor prognosis for medulloblastoma patients. PMID: 27785591
- Gain- and loss-of-function studies uncovered a role for Batf2 in myeloid differentiation in both murine and human systems. We thus demonstrate that chronic infection can deplete HSPCs and identify BATF2 as a mediator of infection-induced HSPC terminal differentiation PMID: 27926863
- Our findings expanded the understanding of the role of BATF2 in tumors, and also suggested a potential of using BATF2 as a therapeutic target to hinder bevacizumab induced epithelial-mesenchymal transition in glioblastoma. PMID: 28739720
- BATF2 may exert selective pressure on the recombination machinery via a repetitive motif-based mechanism for the maintenance of heterochromatin stability. PMID: 26977016
- Batf2 has a role in infectious diseases and cancer PMID: 26376615
- Results demonstrate that SARI is a novel target gene of glucocorticoid receptor, and the upregulation of SARI plays an important role in dexamethasone's killing effect on B lymphoma cells. PMID: 26808579
- Suggest that SARI might play an important role in the occurrence and development of prostate cancer. IFN-beta might inhibit the growth of prostate cancer and promote cellular apoptosis by inducing the expression of SARI. PMID: 26339361
- In conclusion, as a tumor suppressor, BATF2 serves as a prognostic biomarker of esophageal squamous cell carcinoma and it may be a potential therapeutic target for ESCC treatment. PMID: 26135942
- these findings indicate that BATF2 status could be served as a potential biomarker to predict prognosis in colorectal cancer PMID: 26022579
- these novel findings suggest that BATF2, a tumor suppressor gene, is a potent negative regulator of HGF/MET signaling in colorectal cancer PMID: 25762344
- BATF2 plays a tumor-suppressor role in the development of oral tongue squamous cell carcinoma and BATF2 may serve as a prognostic biomarker and potential therapeutic target for this disease. PMID: 24252932
- SARI expression may predict a poor prognosis in non-small cell lung patients, and SARI may serve as a prognostic biomarker and potential therapeutic target for lung cancer. PMID: 24133583
- MDA-7/IL-24 has a role in cancer-specific apoptosis through SARI induction PMID: 24282278
- Loss of SARI expression initiates epithelial-to-mesenchymal transition (EMT), which is visualized by repression of E-cadherin and up-regulation of vimentin in lung adenocarcinoma cell lines and in clinical lung adenocarcinoma specimens. PMID: 23049725
- BCR-ABL mediates the down-regulation of SARI mRNA expression in K562 cells. PMID: 21867603
- Data suggest that SARI as a potential therapeutic target in CML. PMID: 21892628
- Decreased expression of BATF2 is associated with hepatocellular carcinoma. PMID: 20473897
- Inhibition of AP-1 by SARI negatively regulates transformation progression mediated by CCN1. PMID: 20531301
顯示更多
收起更多
-
亞細胞定位:Nucleus.
-
蛋白家族:BZIP family
-
數據庫鏈接:
Most popular with customers
-
-
YWHAB Recombinant Monoclonal Antibody
Applications: ELISA, WB, IHC, IF, FC
Species Reactivity: Human, Mouse, Rat
-
Phospho-YAP1 (S127) Recombinant Monoclonal Antibody
Applications: ELISA, WB, IHC
Species Reactivity: Human
-
-
-
-
-















