BANP Antibody
-
中文名稱:BANP兔多克隆抗體
-
貨號:CSB-PA854079ESR1HU
-
規格:¥440
-
圖片:
-
Western blot
All lanes: BANP antibody at 6µg/ml + HepG2 whole cell lysate
Secondary
Goat polyclonal to rabbit IgG at 1/10000 dilution
Predicted band size: 57, 52, 49, 54, 55, 51, 56 kDa
Observed band size: 49 kDa -
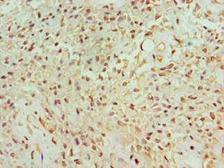
Immunohistochemistry of paraffin-embedded human breast cancer using CSB-PA854079ESR1HU at dilution of 1:100
-
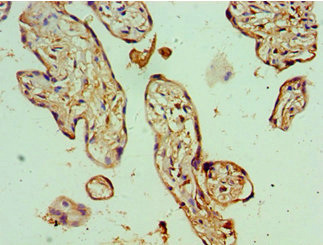
Immunohistochemistry of paraffin-embedded human placenta tissue using CSB-PA854079ESR1HU at dilution of 1:100
-
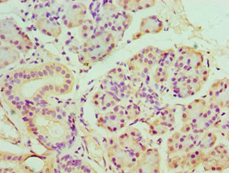
Immunohistochemistry of paraffin-embedded human pancreatic tissue using CSB-PA854079ESR1HU at dilution of 1:100
-
-
其他:
產品詳情
-
產品名稱:Rabbit anti-Homo sapiens (Human) BANP Polyclonal antibody
-
Uniprot No.:
-
基因名:BANP
-
別名:AAH09424 antibody; Banp antibody; BANP_HUMAN antibody; BEN domain-containing protein 1 antibody; BEND1 antibody; BTG3 associated nuclear protein isoform a antibody; Btg3-associated nuclear protein antibody; DKFZp761H172 antibody; FLJ 10177 antibody; FLJ 20538 antibody; FLJ10177 antibody; FLJ20538 antibody; Protein BANP antibody; Scaffold/Matrix associated region 1 antibody; Scaffold/matrix-associated region-1-binding protein antibody; SMAR 1 antibody; SMAR1 antibody; SMARBP 1 antibody; SMARBP1 antibody
-
宿主:Rabbit
-
反應種屬:Human
-
免疫原:Recombinant Human Protein BANP protein (1-260AA)
-
免疫原種屬:Homo sapiens (Human)
-
標記方式:Non-conjugated
-
克隆類型:Polyclonal
-
抗體亞型:IgG
-
純化方式:Antigen Affinity Purified
-
濃度:It differs from different batches. Please contact us to confirm it.
-
保存緩沖液:PBS with 0.02% sodium azide, 50% glycerol, pH7.3.
-
產品提供形式:Liquid
-
應用范圍:ELISA, WB, IHC
-
推薦稀釋比:
Application Recommended Dilution WB 1:500-1:2000 IHC 1:20-1:200 -
Protocols:
-
儲存條件:Upon receipt, store at -20°C or -80°C. Avoid repeated freeze.
-
貨期:Basically, we can dispatch the products out in 1-3 working days after receiving your orders. Delivery time maybe differs from different purchasing way or location, please kindly consult your local distributors for specific delivery time.
-
用途:For Research Use Only. Not for use in diagnostic or therapeutic procedures.
相關產品
靶點詳情
-
功能:Controls V(D)J recombination during T-cell development by repressing T-cell receptor (TCR) beta enhancer function. Binds to scaffold/matrix attachment region beta (S/MARbeta), an ATC-rich DNA sequence located upstream of the TCR beta enhancer. Represses cyclin D1 transcription by recruiting HDAC1 to its promoter, thereby diminishing H3K9ac, H3S10ph and H4K8ac levels. Promotes TP53 activation, which causes cell cycle arrest.
-
基因功能參考文獻:
- Cdc20 functions as an important negative regulator of SMAR1 in higher grades of cancer PMID: 28617439
- Dysregulated circ-BANP appears to have an important role in colorectal cancer cells. PMID: 28103507
- results reveal the complex molecular mechanism underlying SMAR1-mediated signal-dependent and -independent regulation of alternative splicing via Sam68 deacetylation PMID: 26080397
- SMAR1-mediated regulation of repair and apoptosis via a complex crosstalk involving Ku70, HDAC6 and Bax. PMID: 25299772
- Data indicate the role of SMAR1 protein in NF-kappaappa B dependent transcriptional regulation of pro-angiogenic chemokine interleukin-8 (IL-8). PMID: 25239884
- indicate a crucial role for SMAR1 in restraining breast cancer cell migration and suggest the candidature of this scaffold matrix-associated region-binding protein as a tumor suppressor. PMID: 25086032
- SMAR1 has a role in repressing c-Fos-mediated HPV18 E6 transcription through alteration of chromatin histone deacetylation PMID: 25157104
- During hemin-induced erythroid differentiation, enhanced expression of SMAR1 negatively correlates with miR-320a expression. PMID: 23876508
- TCF-4, beta-catenin, and SMAR1 tether at the -143-nucleotide site on the HIV LTR to inhibit HIV promoter activity. PMID: 22674979
- Results indicate that SMAR1 is an important player in p300-p53 regulated DNA damage signalling pathway and can exert its effect on apoptosis in a transcription independent manner. PMID: 22074660
- multiple roles of nuclear matrix associated protein SMAR1 in regulating various cellular target genes involved in cell growth, apoptosis and tumorigenesis.(REVIEW) PMID: 20709157
- A novel mechanism of regulation of oxidative stress by ATM through modulation of SMAR1-AKR1a4 complex, is proposed. PMID: 20097305
- SMAR1 plays a central role in coordinating p53 and TGFbeta pathways in human breast cancer. PMID: 17668048
- report Prostaglandin A2 (PGA2) induced binding of HSP70 to a novel site on phi1 SMAR1 5' UTR which stabilizes the wild type transcript and leads to subsequent increase in SMAR1 protein levels. PMID: 20153327
- On mild DNA damage, SMAR1 selectively represses BAX and PUMA through binding to the MAR independently of inducing p53 deacetylation through HDAC1. PMID: 20075864
- Human breast cancer tissue sections that showed reduced SMAR1 expression exhibited increased surface roughness. PMID: 19799771
- SMAR1 plays an important role in the regulation of T cell development as well as V(D)J recombination PMID: 15623522
- SMAR1 regulates cyclin D1 by modification of chromatin through the SIN3/histone deacetylase 1 complex PMID: 16166625
- tumor suppressor SMAR1 downregulates Cytokeratin 8 gene expression by modulating p53-mediated transactivation of this gene PMID: 18822384
- tumor suppressor protein SMAR1 can modulate NF-kappaB transactivation and inhibit tumorigenesis by regulating NF-kappaB target genes PMID: 18981184
- Results highlight the role of SMAR1 in masking the active phosphorylation site of p53, enabling the deacetylation of p53 by HDAC1-MDM2 complex, thereby regulating the p53 transcriptional response during stress rescue. PMID: 19303885
- Identification of a novel mouse MAR-binding protein, named SMAR1, which shares homology with SATB1 and Cux in the MAR-binding domain/Cut repeat and also with the tetramerization domain of a B cell-specific MAR-binding protein, Bright. PMID: 10950932
顯示更多
收起更多
-
亞細胞定位:Nucleus.
-
蛋白家族:BANP/SMAR1 family
-
組織特異性:Down-regulated in breast cancer cell lines.
-
數據庫鏈接:
Most popular with customers
-
-
YWHAB Recombinant Monoclonal Antibody
Applications: ELISA, WB, IHC, IF, FC
Species Reactivity: Human, Mouse, Rat
-
Phospho-YAP1 (S127) Recombinant Monoclonal Antibody
Applications: ELISA, WB, IHC
Species Reactivity: Human
-
-
-
-
-















