BAK1 Antibody
-
中文名稱:BAK1兔多克隆抗體
-
貨號:CSB-PA089402
-
規格:¥1100
-
圖片:
-
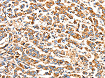
The image on the left is immunohistochemistry of paraffin-embedded Human esophagus cancer tissue using CSB-PA089402(BAK1 Antibody) at dilution 1/50, on the right is treated with fusion protein. (Original magnification: ×200)
-
The image on the left is immunohistochemistry of paraffin-embedded Human breast cancer tissue using CSB-PA089402(BAK1 Antibody) at dilution 1/50, on the right is treated with fusion protein. (Original magnification: ×200)
-
Gel: 12%SDS-PAGE, Lysate: 40 μg, Lane 1-4: Hela cells, A431 cells, 293T cells, Jurkat cells, Primary antibody: CSB-PA089402(BAK1 Antibody) at dilution 1/900, Secondary antibody: Goat anti rabbit IgG at 1/8000 dilution, Exposure time: 5 seconds
-
-
其他:
產品詳情
-
Uniprot No.:
-
基因名:
-
別名:BAK1; BAK; BCL2L7; CDN1; Bcl-2 homologous antagonist/killer; Apoptosis regulator BAK; Bcl-2-like protein 7; Bcl2-L-7
-
宿主:Rabbit
-
反應種屬:Human
-
免疫原:Fusion protein of Human BAK1
-
免疫原種屬:Homo sapiens (Human)
-
標記方式:Non-conjugated
-
抗體亞型:IgG
-
純化方式:Antigen affinity purification
-
濃度:It differs from different batches. Please contact us to confirm it.
-
保存緩沖液:-20°C, pH7.4 PBS, 0.05% NaN3, 40% Glycerol
-
產品提供形式:Liquid
-
應用范圍:ELISA,WB,IHC
-
推薦稀釋比:
Application Recommended Dilution ELISA 1:2000-1:5000 WB 1:1000-1:5000 IHC 1:50-1:200 -
Protocols:
-
儲存條件:Upon receipt, store at -20°C or -80°C. Avoid repeated freeze.
-
貨期:Basically, we can dispatch the products out in 1-3 working days after receiving your orders. Delivery time maybe differs from different purchasing way or location, please kindly consult your local distributors for specific delivery time.
-
用途:For Research Use Only. Not for use in diagnostic or therapeutic procedures.
相關產品
靶點詳情
-
功能:Plays a role in the mitochondrial apoptosic process. Upon arrival of cell death signals, promotes mitochondrial outer membrane (MOM) permeabilization by oligomerizing to form pores within the MOM. This releases apoptogenic factors into the cytosol, including cytochrome c, promoting the activation of caspase 9 which in turn processes and activates the effector caspases.
-
基因功能參考文獻:
- Our findings suggested that ZBP-89 and Sp1 overexpression induced Bak expression in a genetic manner. Increased Bak level was associated with poor patient survival, whereas high level of Sp1 is a beneficial factor for patient survival. PMID: 29653560
- Study reports the proximal alpha1-alpha2 loop as a second activation site in Bak and in mitochondrial Bax. PMID: 27217060
- The proapoptotic BCL-2 proteins BAX and BAK can commit a cell to its programmed death by permeabilizing the outer mitochondrial membrane and subsequent initiation of the caspase cascade. (Review) PMID: 28676391
- Data suggest that ECAD, STAT3, Bak, and Bcl-xL are expressed in affected endometrial tissues of women with endometrioid adenocarcinoma depending on neoplasm staging and cell differentiation. This study was conducted using immunohistochemistry of surgically resected tissues. (ECAD = E-cadherin; STAT3 = signal transducer and activator of transcription 3 protein; Bcl-xL = BCL2 associated agonist of cell death) PMID: 28937296
- This comprehensive survey showed that in each Bak dimer the N-termini are fully solvent-exposed and mobile, the core is highly structured, and the C-termini are flexible but restrained by their contact with the membrane. PMID: 28182867
- The BAK1/BCL2 ratio was positively correlated with the results of audiometric tests. Our results indicate that BAK-mediated apoptosis may be a core mechanism in the progression of age-related hearing impairment in humans PMID: 27555755
- UMI-77 enhances TRAIL-induced apoptosis by unsequestering Bim and Bak, which provides a novel therapeutic strategy for the treatment of gliomas. PMID: 28337703
- after the induction of apoptosis, Bak switches from its association with Mtx2 and VDAC2 to a closer association with Mtx1. PMID: 27845183
- Conversion of Bim-BH3 from Activator to Inhibitor of Bak through Structure-Based Design. PMID: 29149594
- The results strongly suggest that the direct apoptosis-activation activities of Bid, Bim, Puma, and p53 are not essential for activating Bax/Bak once the anti-apoptotic Bcl-2 proteins are neutralized. PMID: 27310874
- Studied BAK1, SPRY4 and GAB2 SNPs in pediatric germ cell tumors(GCT); found a variant in SPRY4 was associated with reduced risk of GCT; a variant in BAK1 was positively associated with GCT with a strong estimated effect for testis tumors; and a SNP in GAB2 was associated with increased risk for GCT. PMID: 28295819
- These results not only establish Bok as a Bak- and Bax-independent apoptosis inducer, but also suggest a potential impact of Bok expression in ovarian cancer therapy. PMID: 27076518
- The low-level constitutive production of platelets caused by the G allele of rs5745568 in BAK1 protein seems to increase the risk of bleeding in dengue infection PMID: 27401010
- the expression of Bak1 was downregulated in CRC tumor tissues and was reversely correlated with the expression of miR410, which provided further support that Bak1 was regulated by miR410. PMID: 27177325
- Low expression of BAX is associated with docetaxel resistance in gastric cancer. PMID: 26486506
- Polymorphisms of KITLG, SPRY4, and BAK1 genes in patients with testicular germ cell tumors and individuals with infertility associated with AZFc deletion of the Y chromosome PMID: 28064312
- Different selenium concentrations had varying effects on BAK1 and APAF1 levels. APAF1 may play an important role in the pathogenesis of KBD PMID: 26179084
- Findings argue for auto-activation of Bak in the absence of anti-apoptotic Bcl-2 proteins and provide evidence of profound differences in the activation of Bax and Bak. PMID: 26610208
- LTX-315 kills cancer cells through Bax/Bak-regulated mitochondrial membrane permeabilization PMID: 26378049
- E6 proteins of human papillomavirus types 6 and 11 are able to protect keratinocytes from apoptosis via Bak degradation. PMID: 26743580
- Bak apoptotic pores involve a flexible C-terminal region and juxtaposition of the C-terminal transmembrane domains. PMID: 25744027
- Low expression of pro-apoptotic Bak protein in in Waldenstrom macroglobulinemia. PMID: 25893290
- Report shows that high Bak expression is associated with the favorable overall survival rates of breast cancer patients. PMID: 26406239
- alpha1 dissociation is a key step in unfolding Bak into three major components, the N terminus, the core (alpha2-alpha5) and the latch (alpha6-alpha8) that is required for apoptosis. PMID: 25880232
- the BH3 mimetic ABT-737 induces autophagy through a BAX and BAK1-independent mechanism that likely involves disruption of BECN1 binding to antiapoptotic BCL2 family members PMID: 25715028
- Data with full-length proteins indicate that most BH3-only proteins can directly activate both Bak and Bax. PMID: 25906158
- Puma is the major mediator of virus-induced Bax/Bak activation and mitochondrial membrane permeabilization induction. PMID: 26030884
- Data show that mitochondrial X-linked inhibitor of apoptosis protein (XIAP) entry requires apoptosis regulatory proteins Bax or Bak through mitochondrial permeabilization and Smac/DIABLO protein degradation. PMID: 26134559
- BMX directly inhibits a core component of the intrinsic apoptosis machinery opens opportunities to improve the efficacy of existing chemotherapy by potentiating BAK-driven cell death in cancer cells. PMID: 25649765
- high BAK expression correlates with sensitivity of clinical acute myelogenous leukemia to chemotherapy, whereas low BAK levels correlate with resistance and relapse PMID: 26494789
- Motifs of VDAC2 required for mitochondrial Bak import and tBid-induced apoptosis. PMID: 26417093
- By down-regulating Bak, P53, P21, BRCA1, BCL-Xl. PMID: 25773855
- Results show that in thyroid tumours and cell lines, VDAC2 is upregulated and BAK1 downregulated. Also, transient knockdown of VDAC2 promoted upregulation of the BAK1 expression, and increased susceptibility to sorafenib treatment. PMID: 25617717
- Chk1 activity is required for BAK multimerization in association with PUMA during mitochondrial apoptosis PMID: 25012639
- Studies show that necrosis requires Bcl-2-associated protein x (Bax) and Bcl-2 homologues antagonist/killer (Bak), which can regulate the permeability characteristics of the outer mitochondrial membrane. PMID: 25999420
- G-Rh2 causes rapid and dramatic translocation of both Bak and Bax, which subsequently triggers mitochondrial cytochrome c release and consequent caspase activation. PMID: 23443079
- Data show that E3 ubiquitin-protein ligase HERC1 interacts with bcl-2 homologous antagonist-killer protein BAK in HPV5 E6-expressing cells that have been damaged by UV. PMID: 25408501
- Data show that proto-oncogene protein ERBB3 knockdown resulted in cell cycle arrest and activation of Bak and Bax-dependent apoptosis. PMID: 24970817
- The Bak and Bax genes expressions were analyzed in 23 breast cancer patients. PMID: 24672785
- The mitochondrial metalloprotease OMA1 was activated in a Bax- and Bak-dependent fashion. PMID: 25275009
- Helices contribute to mitochondrial outer membrane perforation in that oligomers Bak alpha5 (like Bax alpha5) remain part of the protein core and a membrane-impermeable cysteine reagent labels cysteines placed at many positions in alpha5 and alpha6 of both Bak and Bax. PMID: 25228770
- enhanced efficacy of combination of mdivi-1 and death ligands is not dependent on the originally reported target of mdivi-1, Drp1, and is also not dependent on the two important pro-apoptotic Bcl-2 family proteins Bax and Bak PMID: 25446129
- the reduction of Bax shuttling to the level of Bak retrotranslocation results in full Bax toxicity even in absence of apoptosis induction. PMID: 25378477
- Clitocine may activate Bak by disrupting the interaction between Mcl-1. PMID: 25304383
- Bak interacts with Mtx2 together with VDAC2 in resting cells and with Mtx1 upon induction of apoptosis. PMID: 24794530
- This progress has resolved longstanding controversies, but has also challenged established theories in the apoptosis field, it focus on the recent progress made in characterizing the proapoptotic Bax and Bak. PMID: 24162660
- Caspase 8 cleavage by HIV protease activates BAK, enabling HIV to kill infected T cells. PMID: 25246614
- Data shows that Bak undergoes a conformational change similar to that of Bax upon activation. PMID: 25175025
- our data strongly support an important role for miR-125b on conferring TMZ resistance through targeting Bak1 expression. PMID: 24643683
- Authors demonstrate that during vaccinia virus infection, engagement of Bim and Bak by F1L is crucial for subversion of host cell apoptosis. PMID: 24850748
顯示更多
收起更多
-
亞細胞定位:Mitochondrion outer membrane; Single-pass membrane protein.
-
蛋白家族:Bcl-2 family
-
組織特異性:Expressed in a wide variety of tissues, with highest levels in the heart and skeletal muscle.
-
數據庫鏈接:
Most popular with customers
-
-
YWHAB Recombinant Monoclonal Antibody
Applications: ELISA, WB, IHC, IF, FC
Species Reactivity: Human, Mouse, Rat
-
Phospho-YAP1 (S127) Recombinant Monoclonal Antibody
Applications: ELISA, WB, IHC
Species Reactivity: Human
-
-
-
-
-















