BAI2 Antibody
-
中文名稱:BAI2兔多克隆抗體
-
貨號:CSB-PA066517
-
規格:¥1100
-
圖片:
-
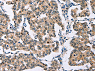
The image on the left is immunohistochemistry of paraffin-embedded Human gastic cancer tissue using CSB-PA066517(ADGRB2 Antibody) at dilution 1/25, on the right is treated with synthetic peptide. (Original magnification: ×200)
-
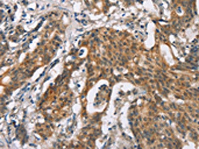
The image on the left is immunohistochemistry of paraffin-embedded Human breast cancer tissue using CSB-PA066517(ADGRB2 Antibody) at dilution 1/25, on the right is treated with synthetic peptide. (Original magnification: ×200)
-
-
其他:
產品詳情
-
Uniprot No.:
-
基因名:
-
別名:ADGRB2 antibody; BAI2Adhesion G protein-coupled receptor B2 antibody; Brain-specific angiogenesis inhibitor 2 antibody
-
宿主:Rabbit
-
反應種屬:Human,Mouse
-
免疫原:Synthetic peptide of Human ADGRB2
-
免疫原種屬:Homo sapiens (Human)
-
標記方式:Non-conjugated
-
抗體亞型:IgG
-
純化方式:Antigen affinity purification
-
濃度:It differs from different batches. Please contact us to confirm it.
-
保存緩沖液:-20°C, pH7.4 PBS, 0.05% NaN3, 40% Glycerol
-
產品提供形式:Liquid
-
應用范圍:ELISA,IHC
-
推薦稀釋比:
Application Recommended Dilution ELISA 1:1000-1:2000 IHC 1:25-1:100 -
Protocols:
-
儲存條件:Upon receipt, store at -20°C or -80°C. Avoid repeated freeze.
-
貨期:Basically, we can dispatch the products out in 1-3 working days after receiving your orders. Delivery time maybe differs from different purchasing way or location, please kindly consult your local distributors for specific delivery time.
-
用途:For Research Use Only. Not for use in diagnostic or therapeutic procedures.
相關產品
靶點詳情
-
功能:Orphan G-protein coupled receptor involved in cell adhesion and probably in cell-cell interactions. Activates NFAT-signaling pathway, a transcription factor, via the G-protein GNAZ. Involved in angiogenesis inhibition.
-
基因功能參考文獻:
- These studies provide new insights into the signaling capabilities of the adhesion GPCR BAI2/ADGRB2 and shed light on how an apparent gain-of-function mutation to the receptor's C-terminus may lead to human disease. PMID: 28891236
- This is the first study reporting BAI2 as an interaction partner of GIP. PMID: 21787750
- BAI2 is a functional GPCR regulated by proteolytic processing and activates the NFAT pathway PMID: 20367554
- involvement of BAI2 in the ischemia-induced brain angiogenesis PMID: 12218411
-
亞細胞定位:Cell membrane; Multi-pass membrane protein.
-
蛋白家族:G-protein coupled receptor 2 family, Adhesion G-protein coupled receptor (ADGR) subfamily
-
組織特異性:Strongly expressed in brain. Also detected in heart, thymus, skeletal muscle, and different cell lines.
-
數據庫鏈接:
Most popular with customers
-
YWHAB Recombinant Monoclonal Antibody
Applications: ELISA, WB, IHC, IF, FC
Species Reactivity: Human, Mouse, Rat
-
Phospho-YAP1 (S127) Recombinant Monoclonal Antibody
Applications: ELISA, WB, IHC
Species Reactivity: Human
-
-
-
-
-
-















