BAG2 Antibody
-
中文名稱:BAG2兔多克隆抗體
-
貨號:CSB-PA002530ESR1HU
-
規格:¥440
-
圖片:
-
Western blot
All lanes: BAG family molecular chaperone regulator 2 antibody at 6μg/ml
Lane 1: Jurkat whole cell lysate
Lane 2: Hela whole cell lysate
Lane 3: HepG2 whole cell lysate
Secondary
Goat polyclonal to rabbit IgG at 1/10000 dilution
Predicted band size: 24, 21 kDa
Observed band size: 24 kDa -
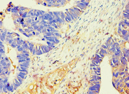
Immunohistochemistry of paraffin-embedded human ovarian cancer using CSB-PA002530ESR1HU at dilution of 1:100
-
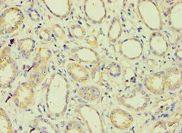
Immunohistochemistry of paraffin-embedded human kidney tissue using CSB-PA002530ESR1HU at dilution of 1:100
-
-
其他:
產品詳情
-
產品名稱:Rabbit anti-Homo sapiens (Human) BAG2 Polyclonal antibody
-
Uniprot No.:
-
基因名:
-
別名:BAG 2 antibody; BAG family molecular chaperone regulator 2 antibody; BAG-2 antibody; BAG-family molecular chaperone regulator-2 antibody; Bag2 antibody; BAG2_HUMAN antibody; BCL 2 associated athanogene 2 antibody; Bcl-2-associated athanogene 2 antibody; BCL2 associated athanogene 2 antibody; BCL2-associated athanogene 2 antibody; dJ417I1.2 (BAG family molecular chaperone regulator 2) antibody; dJ417I1.2 antibody; KIAA0576 antibody; MGC149462 antibody; OTTHUMP00000016668 antibody
-
宿主:Rabbit
-
反應種屬:Human
-
免疫原:Recombinant Human BAG family molecular chaperone regulator 2 protein (1-211AA)
-
免疫原種屬:Homo sapiens (Human)
-
標記方式:Non-conjugated
-
克隆類型:Polyclonal
-
抗體亞型:IgG
-
純化方式:Antigen Affinity Purified
-
濃度:It differs from different batches. Please contact us to confirm it.
-
保存緩沖液:PBS with 0.02% sodium azide, 50% glycerol, pH7.3.
-
產品提供形式:Liquid
-
應用范圍:ELISA, WB, IHC
-
推薦稀釋比:
Application Recommended Dilution WB 1:500-1:2000 IHC 1:20-1:200 -
Protocols:
-
儲存條件:Upon receipt, store at -20°C or -80°C. Avoid repeated freeze.
-
貨期:Basically, we can dispatch the products out in 1-3 working days after receiving your orders. Delivery time maybe differs from different purchasing way or location, please kindly consult your local distributors for specific delivery time.
-
用途:For Research Use Only. Not for use in diagnostic or therapeutic procedures.
相關產品
靶點詳情
-
功能:Co-chaperone for HSP70 and HSC70 chaperone proteins. Acts as a nucleotide-exchange factor (NEF) promoting the release of ADP from the HSP70 and HSC70 proteins thereby triggering client/substrate protein release.
-
基因功能參考文獻:
- the nucleotide exchange factor (NEF) Bag2 stimulates SV40 release from Hsc70, thereby enabling successful virus arrival at the cytosol, which leads to infection. Hsp105, another NEF of Hsc70, displays a function overlapping that of Bag2, underscoring the importance of this release reaction. PMID: 29769335
- A comprehensive review of the structure, functions, and protein interactions of BAG2 PMID: 28536620
- Data show that BAG2 Inhibits CHIP-Mediated HSP72 ubiquitination in aged cells. PMID: 28042827
- repression of BAG2 expression or BAG2 activity by cold-sensitive pathways, as modeled in undifferentiated and differentiated cells, respectively, may be a causal factor in the accumulation of cytotoxic hyperphosphorylated tau protein. PMID: 26208804
- NF-kappaB-mediated modulation of BAG2 expression regulates the shift between the neurotrophic and neurotoxic effects of Abeta1-42. PMID: 25985852
- Thus, BAG2 promotes mutant p53 accumulation and gain-of-function in tumor growth, metastasis and chemoresistance. PMID: 26271008
- This study showed that BAG2 (Bcl-2 associated athanogene family protein 2) and BAG5 (Bcl-2-associated athanogene family protein 5) stabilise pathogenic ataxin3-80Q by inhibiting its ubiquitination PMID: 25006867
- this data correlate BAG2 to PINK1 for the first time, strengthening the important role of BAG2 in Parkinson disease -related neurodegeneration. PMID: 24383081
- BAG2 binds to the carboxyl terminus of Hsp70-interacting protein (CHIP) and provides a cochaperone-dependent regulatory mechanism for preventing unregulated ubiquitylation of misfolded proteins by CHIP PMID: 16169850
- The activity of BAG-2 resembles that of the previously characterized Hsc70 cochaperone and CHIP inhibitor HspBP1. PMID: 16207813
顯示更多
收起更多
-
數據庫鏈接:
Most popular with customers
-
YWHAB Recombinant Monoclonal Antibody
Applications: ELISA, WB, IHC, IF, FC
Species Reactivity: Human, Mouse, Rat
-
Phospho-YAP1 (S127) Recombinant Monoclonal Antibody
Applications: ELISA, WB, IHC
Species Reactivity: Human
-
-
-
-
-
-















