BAD Antibody
-
中文名稱:BAD兔多克隆抗體
-
貨號:CSB-PA213653
-
規格:¥1100
-
圖片:
-
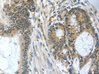
The image on the left is immunohistochemistry of paraffin-embedded Human colon cancer tissue using CSB-PA213653(BAD Antibody) at dilution 1/60, on the right is treated with fusion protein. (Original magnification: ×200)
-
The image on the left is immunohistochemistry of paraffin-embedded Human esophagus cancer tissue using CSB-PA213653(BAD Antibody) at dilution 1/60, on the right is treated with fusion protein. (Original magnification: ×200)
-
-
其他:
產品詳情
-
Uniprot No.:
-
基因名:
-
別名:AI325008 antibody; BAD antibody; BAD_HUMAN antibody; BBC 2 antibody; BBC2 antibody; BBC6 antibody; Bcl 2 Antagonist of Cell Death antibody; Bcl 2 Binding Component 6 antibody; BCL X / BCL 2 Binding Protein antibody; BCL X Binding Protein antibody; Bcl XL/Bcl 2 Associated Death Promoter antibody; Bcl-2-binding component 6 antibody; Bcl-2-like protein 8 antibody; Bcl-XL/Bcl-2-associated death promoter antibody; Bcl2 antagonist of cell death antibody; BCL2 antagonist of cell death protein antibody; BCL2 associated agonist of cell death antibody; Bcl2 Associated Death Promoter antibody; BCL2 binding component 6 antibody; BCL2 binding protein antibody; Bcl2 Like 8 Protein antibody; Bcl2-L-8 antibody; BCL2L8 antibody; Proapoptotic BH3 Only Protein antibody
-
宿主:Rabbit
-
反應種屬:Human
-
免疫原:Fusion protein of Human BAD
-
免疫原種屬:Homo sapiens (Human)
-
標記方式:Non-conjugated
-
抗體亞型:IgG
-
純化方式:Antigen affinity purification
-
濃度:It differs from different batches. Please contact us to confirm it.
-
保存緩沖液:-20°C, pH7.4 PBS, 0.05% NaN3, 40% Glycerol
-
產品提供形式:Liquid
-
應用范圍:ELISA,IHC
-
推薦稀釋比:
Application Recommended Dilution ELISA 1:1000-1:5000 IHC 1:50-1:200 -
Protocols:
-
儲存條件:Upon receipt, store at -20°C or -80°C. Avoid repeated freeze.
-
貨期:Basically, we can dispatch the products out in 1-3 working days after receiving your orders. Delivery time maybe differs from different purchasing way or location, please kindly consult your local distributors for specific delivery time.
-
用途:For Research Use Only. Not for use in diagnostic or therapeutic procedures.
相關產品
靶點詳情
-
功能:Promotes cell death. Successfully competes for the binding to Bcl-X(L), Bcl-2 and Bcl-W, thereby affecting the level of heterodimerization of these proteins with BAX. Can reverse the death repressor activity of Bcl-X(L), but not that of Bcl-2. Appears to act as a link between growth factor receptor signaling and the apoptotic pathways.
-
基因功能參考文獻:
- High BAD expression is associated with cisplatinresistant oral cancer. PMID: 29956797
- Bcl-2 agonist of cell death (BAD) has pro-apoptosis and pro-survival functions involved in cancer development [Review]. PMID: 29175460
- The findings suggest that experimental hyperthermia (EH) exposure leads to simultaneous activation of molecular switches of apoptosis (BCL2 and BAD) in cells of the follicular epithelium of the ovaries on days 3 and 4 after EH. PMID: 29658076
- The positive correlation of Bad expression with nodule size and a relative decrease in the mRNA expression level of Bad in benign thyroid nodules suggest that Bad may be an important regulator of thyroid cell apoptosis. PMID: 29695560
- Data suggest that ECAD, STAT3, Bak, and Bcl-xL are expressed in affected endometrial tissues of women with endometrioid adenocarcinoma depending on neoplasm staging and cell differentiation. This study was conducted using immunohistochemistry of surgically resected tissues. (ECAD = E-cadherin; STAT3 = signal transducer and activator of transcription 3 protein; Bak = pro-apoptotic protein BAK) PMID: 28937296
- cyclin D1 was downregulated, whereas Bcell lymphoma 2associated agonist of cell death (BAD) was upregulated following RAC1 knockdown in colon cancer cells. PMID: 29286138
- we have found that a subgroup of colorectal cancers, defined by having either KRAS or BRAF (KRAS/BRAF) mutations and BCL2L1 (encoding BCL-XL) amplification, can be effectively targeted by simultaneous inhibition of BCL-XL (with ABT-263) and MCL1 (with YM-155). PMID: 28611106
- BAD phosphorylation is essential in the cytoprotective effect of vasoactive intestinal peptide on cancer stem cells. PMID: 28569785
- NDRG2 could inhibit Bad degradation by increasing its protein stability in breast cancer cells. PMID: 28423695
- Taken together, our results provide a structural basis for the binding mechanism between DJ-1 and Bcl-XL, which will contribute to molecular understanding of the role of mitochondrial DJ-1 in Bcl-XL regulation in response to oxidative stress. PMID: 29175327
- We will then review how the apoptotic and autophagic functions of Bcl-xL are modified by this post-translational modifications, and how this impacts on its oncogenic properties. PMID: 28645514
- the membrane localization of BCL-xL enforces its control over cell survival and, importantly, limits the pro-apoptotic effects of BH3 mimetics by selectively influencing BCL-xL binding to key pro-apoptotic effectors. PMID: 28009301
- The long unstructured region of Bcl-xl modulates its structural dynamics. PMID: 28486788
- Short-term treatment of nascent melanoma tumors with PAK inhibitors that block RhoJ signaling halts the growth of BRAF mutant melanoma tumors in vivo and induces apoptosis in melanoma cells in vitro via a BAD-dependent mechanism. As up to 50% of BRAF mutant human melanomas express high levels of RhoJ, these studies nominate the RhoJ-BAD signaling network as a therapeutic vulnerability for fledgling BRAF mutant human tumor PMID: 28753606
- Recent studies that combine experiments in yeast and in mammalian cells have shown the unexpected effect of the anti-apoptotic protein Bcl-xL on the priming of Bax. As demonstrated with the BH3-mimetic molecule ABT-737, this property of Bcl-xL, and of Bcl-2, is crucial to elaborate about how apoptosis could be reactivated in tumoral cells. PMID: 27112371
- the accumulation of reactive oxygen species (ROS) in cells expressing JAK2V617F compromises the NHE-1/Bcl-xL deamidation pathway by repressing NHE-1 upregulation in response to DNA damage. hematopoietic stem cells (HSCs), FOXO3A is largely localized within the nuclei despite the presence of JAK2V617F mutation, suggesting that JAK2-FOXO signaling has a different effect on progenitors compared with stem cells. PMID: 26234675
- These results identify beta3 integrin signaling via repression of BAD as an important survival pathway used by breast cancer cells to evade chemotherapy induced stress. PMID: 27235542
- BAD mutation is associated with maturity-onset diabetes of the young. PMID: 27935851
- miR-377 was markedly downregulated in HCC cell lines and primary human HCC tissues. The decreased expression of miR-377 contributes to the upregulation of Bcl-xL expression by targeting its 3'-untranslated region (3'-UTR). PMID: 28081730
- By the pharmacologic targeting of BCL2, MCL1, and BCL-XL, we demonstrated that diffuse large B-cell lymphoma can be divided into BCL2-dependent and MCL1-dependent subgroups with a less pronounced role left for BCL-XL. PMID: 26467384
- increased platelet apoptosis and activation as well as reduced expression of Bcl-xL, increased expression of Bax and caspase-3 activity were found in platelets after treated with ITP plasma in comparison with control plasma. PMID: 26712345
- These findings demonstrated that Akt is related to NF-kappaB and Bad signaling pathway possibly playing a direct role in the progression of liver cancer. Thus, Akt might be an important and potential treatment choice for the clinical diagnosis and treatment in the future. PMID: 26892230
- Bh3 domain induced conformational changes in Bcl-Xl revealed by crystal structure and comparative analysis. PMID: 25907960
- we can conclude that patients with small cell lung carcinoma represent downregulation of Bad and the latter could be served as a useful biomarker for the outcomes of SCLC. PMID: 26722503
- Bcl-xL is responsible for TRAIL resistance in human pancreatic cancer cells. Bcl-2 family inhibitors could represent promising reagents to sensitize human pancreatic cancers to TRAIL. PMID: 26506422
- This studypredict response ketogenic dietary therapies. showed that Common variants in KCNJ11 and BAD do not responase to ketogenic diet therapy. PMID: 26590798
- Bcl-xL binds to dual BH3-like domains in the InsP3 receptor carboxyl terminus and regulates control of cell viability. PMID: 26976600
- LA provoked a down regulation of two anti-apoptotic proteins, Mcl-1 and Bcl-xL protein and a strong induction of the BH3-only protein Bim. PMID: 26063499
- Valproic acid sensitized TRAIL-resistant papillary thyroid carcinoma cells to apoptotic cell death through involvement of Nrf2 and Bcl-xL. PMID: 26721202
- A Novel Naphthalimide Compound Restores p53 Function in Non-small Cell Lung Cancer by Reorganizing the Bak.Bcl-xl Complex and Triggering Transcriptional Regulation. PMID: 26668309
- These data suggest that miR-BART20-5p plays an important role in latency maintenance and tumor persistence of Epstein-Barr virus-associated gastric carcinoma by inhibiting BAD-mediated caspase-3-dependent apoptosis. PMID: 26581978
- Taken together, these data indicate that the downregulation of Bad and Bim plays a significant role in the autophagy-induced chemoresistance of hepatocellular carcinoma cells. PMID: 24947039
- These data suggest that Bcl-XL binds to RyR channels via its BH4 domain, but also its BH3 domain, more specific Lys87, contributes to the interaction. PMID: 25872771
- The BAD-mediated apoptotic pathway is thus associated with the development of human cancers likely influenced by the protein levels of pBAD. PMID: 25653146
- Study support that mitochondrial ERb prevents cell apoptosis through its interaction with bad protein and the mitochondrial apoptotic pathway in a ligand-independent manner. PMID: 25524600
- In resistant cells, RAS effector pathways maintained BAD phosphorylation in the presence of JAK inhibitors, yielding a specific dependence on BCL-XL for survival. PMID: 25538080
- BAD expression correlates with disease stage in prostate cancer, suggesting a role of BAD in tumor advancement. PMID: 25215949
- Results suggest that regulation of the proapoptotic activity of BAD plays a key role in the pathogenic mechanisms resulting in primary pigmented nodular adrenocortical disease tumor formation. PMID: 24865460
- BAD is down-regulated in breast cancer. PMID: 25499972
- Rapamycin-enhanced mitomycin C-induced apoptotic death is mediated through the S6K1-Bad-Bak pathway in peritoneal carcinomatosis. PMID: 24901052
- We observed higher expression levels of BCL-2, BCL-XL, BAX, and BAD genes in postmenopausal patients with pelvic organ prolapse compared with controls as well as overexpression of all four genes in parametrial tissue compared with vaginal tissue. PMID: 24614958
- Cur-NPs upregulated the protein expression levels of Bad and downregulated the protein expression level of p-Akt in U2OS cells PMID: 24247158
- Using gene reporter assays, we show that promoter variations in 11 intrinsic apoptosis genes, including ADPRT, APAF1, BCL2, BAD, BID, MCL1, BIRC4, BCL2L1, ENDOG, YWHAB, and YWHAQ, influence promoter activity in an allele-specific manner. PMID: 24038028
- BAD dephosphorylation and decreased expression of MCL1 induce rapid apoptosis in prostate cancer cells. PMID: 24040284
- Our results identify for the first time the downstream targets of insulin, cyclin D1, and BAD, elucidate a new molecular mechanism of insulin in promoting cell proliferation and apoptosis PMID: 23794242
- Platelet-derived growth factor-C (PDGF-C) induces anti-apoptotic effects on macrophages through Akt and Bad phosphorylation. PMID: 24421315
- AIF-1 can protect rheumatoid arthritis fibroblast-like synoviocytes from apoptosis induced by NO by upregulating the expression of p-Akt and p-BAD. PMID: 23547889
- study provided clinical evidence that loss of Bad is an independent and powerful predictor of adverse prognosis in non-small cell lung cancer PMID: 21918885
- These data indicate that influenza viruses carefully modulate the activation of the apoptotic pathway that is dependent on the regulatory function of BAD and that failure of apoptosis activation resulted in unproductive viral replication. PMID: 23135712
- RNAi-mediated silencing of STAT1 in soft tissue sarcoma (STS) cells was sufficient to increase expression of the apoptotic mediators Fas and Bad and to elevate the sensitivity of STS cells to Fas-mediated apoptosis PMID: 22805310
顯示更多
收起更多
-
亞細胞定位:Mitochondrion outer membrane. Cytoplasm.
-
蛋白家族:Bcl-2 family
-
組織特異性:Expressed in a wide variety of tissues.
-
數據庫鏈接:
Most popular with customers
-
-
YWHAB Recombinant Monoclonal Antibody
Applications: ELISA, WB, IHC, IF, FC
Species Reactivity: Human, Mouse, Rat
-
Phospho-YAP1 (S127) Recombinant Monoclonal Antibody
Applications: ELISA, WB, IHC
Species Reactivity: Human
-
-
-
-
-















