ATRN Antibody
-
中文名稱:ATRN兔多克隆抗體
-
貨號:CSB-PA002435ESR1HU
-
規格:¥440
-
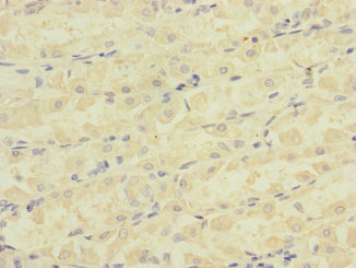
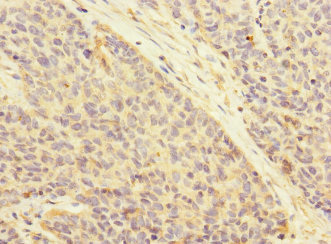
圖片:
-
其他:
產品詳情
-
產品名稱:Rabbit anti-Homo sapiens (Human) ATRN Polyclonal antibody
-
Uniprot No.:
-
基因名:ATRN
-
別名:ATRN antibody; ATRN_HUMAN antibody; attractin 2 antibody; Attractin antibody; DPPT L antibody; DPPT-L antibody; KIAA0548 antibody; Mahogany homolog antibody; mahogany protein antibody; Mahogany, mouse, homolog of antibody; MGCA antibody
-
宿主:Rabbit
-
反應種屬:Human
-
免疫原:Recombinant Human Attractin protein (84-350AA)
-
免疫原種屬:Homo sapiens (Human)
-
標記方式:Non-conjugated
-
克隆類型:Polyclonal
-
抗體亞型:IgG
-
純化方式:Antigen Affinity Purified
-
濃度:It differs from different batches. Please contact us to confirm it.
-
保存緩沖液:PBS with 0.02% sodium azide, 50% glycerol, pH7.3.
-
產品提供形式:Liquid
-
應用范圍:ELISA, IHC
-
推薦稀釋比:
Application Recommended Dilution IHC 1:20-1:200 -
Protocols:
-
儲存條件:Upon receipt, store at -20°C or -80°C. Avoid repeated freeze.
-
貨期:Basically, we can dispatch the products out in 1-3 working days after receiving your orders. Delivery time maybe differs from different purchasing way or location, please kindly consult your local distributors for specific delivery time.
-
用途:For Research Use Only. Not for use in diagnostic or therapeutic procedures.
相關產品
靶點詳情
-
功能:Involved in the initial immune cell clustering during inflammatory response and may regulate chemotactic activity of chemokines. May play a role in melanocortin signaling pathways that regulate energy homeostasis and hair color. Low-affinity receptor for agouti. Has a critical role in normal myelination in the central nervous system.
-
基因功能參考文獻:
- ATRN encodes Attractin, which was previously shown to play a critical role in central myelination PMID: 28493104
- Data indicate that Attractin was involved in male reproduction in both human and BALB/c mice, but it exerted a different expression profile in different species. PMID: 25318887
- The levels of both dipeptidyl-peptidase 4 and attractin in circulating monocytes were significantly higher in obese subjects as compared with levels in lean controls or in subjects with type 2 diabetes. PMID: 20198559
- associated with spermatozoa PMID: 19535787
- This protein is isolated from human blood and characterized. PMID: 12675230
- It is the first time expression of attractin on monocytes and provide first data suggesting that drugs directed to DP IV-like enzyme activity could affect monocyte function via attractin inhibition. PMID: 16835316
- The product of the murine "Mahogany" gene controls energy metabolism and is the murine orthologof human membrane attractin. PMID: 10086355
- Through use of PCR from hamster-human somatic cell hybrids, localizes the EST AB011120 (KIAA0548) to human chromosome 20p13. AB011120 encodes the central to 3' UTR of the membrane form of human attractin. PMID: 9628581
- The product of the murine "Mahogany" locus, controlling agouti-mediated melanocyte pigmentation and control of energy metabolism, is the murine ortholog of human attractin. PMID: 10086356
- Provides the genomic basis for production of a soluble and membrane form of attractin by alternative splicing. In the process, by sequencing from positionally-determined BAC clones, confirms the localization of attractin to chromosome 20p13. PMID: 10811918
顯示更多
收起更多
-
亞細胞定位:[Isoform 1]: Cell membrane; Single-pass type I membrane protein.; [Isoform 2]: Secreted.; [Isoform 3]: Secreted.
-
組織特異性:Isoform 2 is detected in plasma (at protein level). Expressed and secreted by activated T-lymphocytes. Expressed at low to moderate levels in peripheral blood leukocytes, spleen, lymph node, tonsil, bone marrow and fetal liver. At very low levels found in
-
數據庫鏈接:
Most popular with customers
-
-
YWHAB Recombinant Monoclonal Antibody
Applications: ELISA, WB, IHC, IF, FC
Species Reactivity: Human, Mouse, Rat
-
Phospho-YAP1 (S127) Recombinant Monoclonal Antibody
Applications: ELISA, WB, IHC
Species Reactivity: Human
-
-
-
-
-















