ATP6V1A Antibody
-
中文名稱:ATP6V1A兔多克隆抗體
-
貨號:CSB-PA002396LA01HU
-
規格:¥440
-
圖片:
-
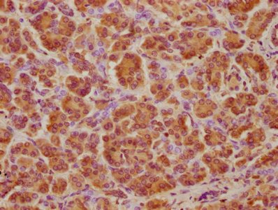
IHC image of CSB-PA002396LA01HU diluted at 1:100 and staining in paraffin-embedded human pancreatic tissue performed on a Leica BondTM system. After dewaxing and hydration, antigen retrieval was mediated by high pressure in a citrate buffer (pH 6.0). Section was blocked with 10% normal goat serum 30min at RT. Then primary antibody (1% BSA) was incubated at 4°C overnight. The primary is detected by a biotinylated secondary antibody and visualized using an HRP conjugated SP system.
-
Immunofluorescence staining of A549 cells with CSB-PA002396LA01HU at 1:50, counter-stained with DAPI. The cells were fixed in 4% formaldehyde, permeabilized using 0.2% Triton X-100 and blocked in 10% normal Goat Serum. The cells were then incubated with the antibody overnight at 4°C. The secondary antibody was Alexa Fluor 488-congugated AffiniPure Goat Anti-Rabbit IgG(H+L).
-
-
其他:
產品詳情
-
產品名稱:Rabbit anti-Homo sapiens (Human) ATP6V1A Polyclonal antibody
-
Uniprot No.:
-
基因名:
-
別名:70kDa subunit antibody; ATP6A1 antibody; ATP6V1A antibody; ATP6V1A1 antibody; ATPase H+ transporting lysosomal subunit A1 antibody; ATPase H+ transporting; lysosomal 70kDa V1 subunit A antibody; H(+) transporting two sector ATPase subunit A antibody; H+ transporting ATPase chain A vacuolar (VA68 type) antibody; HO68 antibody; OTTHUMP00000214746 antibody; V ATPase 69 kDa subunit 1 antibody; V ATPase A subunit 1 antibody; V ATPase subunit A 1 antibody; V-ATPase 69 kDa subunit antibody; V-ATPase subunit A antibody; V-type proton ATPase catalytic subunit A antibody; VA68 antibody; Vacuolar ATP synthase catalytic subunit A ubiquitous isoform antibody; Vacuolar ATPase isoform VA68 antibody; Vacuolar proton pump alpha subunit 1 antibody; Vacuolar proton pump subunit alpha antibody; VATA_HUMAN antibody; Vma1 antibody; VPP2 antibody
-
宿主:Rabbit
-
反應種屬:Human
-
免疫原:Recombinant Human V-type proton ATPase catalytic subunit A protein (159-405AA)
-
免疫原種屬:Homo sapiens (Human)
-
標記方式:Non-conjugated
本頁面中的產品,ATP6V1A Antibody (CSB-PA002396LA01HU),的標記方式是Non-conjugated。對于ATP6V1A Antibody,我們還提供其他標記。見下表:
-
克隆類型:Polyclonal
-
抗體亞型:IgG
-
純化方式:Antigen Affinity Purified
-
濃度:It differs from different batches. Please contact us to confirm it.
-
保存緩沖液:Preservative: 0.03% Proclin 300
Constituents: 50% Glycerol, 0.01M PBS, pH 7.4 -
產品提供形式:Liquid
-
應用范圍:ELISA, IHC, IF
-
推薦稀釋比:
Application Recommended Dilution IHC 1:20-1:200 IF 1:50-1:200 -
Protocols:
-
儲存條件:Upon receipt, store at -20°C or -80°C. Avoid repeated freeze.
-
貨期:Basically, we can dispatch the products out in 1-3 working days after receiving your orders. Delivery time maybe differs from different purchasing way or location, please kindly consult your local distributors for specific delivery time.
-
用途:For Research Use Only. Not for use in diagnostic or therapeutic procedures.
相關產品
靶點詳情
-
功能:Catalytic subunit of the V1 complex of vacuolar(H+)-ATPase (V-ATPase), a multisubunit enzyme composed of a peripheral complex (V1) that hydrolyzes ATP and a membrane integral complex (V0) that translocates protons. V-ATPase is responsible for acidifying and maintaining the pH of intracellular compartments and in some cell types, is targeted to the plasma membrane, where it is responsible for acidifying the extracellular environment. In aerobic conditions, involved in intracellular iron homeostasis, thus triggering the activity of Fe(2+) prolyl hydroxylase (PHD) enzymes, and leading to HIF1A hydroxylation and subsequent proteasomal degradation. May play a role in neurite development and synaptic connectivity.; (Microbial infection) Plays an important role in virion uncoating during Rabies virus replication after membrane fusion. Specifically, participates in the dissociation of incoming viral matrix M proteins uncoating through direct interaction.
-
基因功能參考文獻:
- We report biallelic mutations in ATP6V1E1 and ATP6V1A, respectively encoding the E1 and A subunits of the V1 domain of V-ATPase, as a cause of distinct metabolic and multisystemic cutis laxa entities. PMID: 28065471
- V1A subunit of V-ATPase has a role in the progression and prognosis of gastric cancer. PMID: 25652905
- Data show that the cAMP/PKA/CREB signaling pathway initiates acidosis-induced V-ATPase trafficking in salivary ducts via regulation of Rab11b expression. PMID: 22561749
- These data introduce Rab11b as a crucial regulator and Rip11 as mediator of acidosis-induced V-ATPase traffic in duct cells of submandibular gland. PMID: 20717956
- there is an important role for physical association between aldolase and the A, B and E subunits of V-ATPase in the regulation of the proton pump PMID: 17576770
顯示更多
收起更多
-
相關疾病:Cutis laxa, autosomal recessive, 2D (ARCL2D)
-
亞細胞定位:Cytoplasm. Cytoplasmic vesicle, secretory vesicle.
-
蛋白家族:ATPase alpha/beta chains family
-
組織特異性:High expression in the skin.
-
數據庫鏈接:
Most popular with customers
-
YWHAB Recombinant Monoclonal Antibody
Applications: ELISA, WB, IHC, IF, FC
Species Reactivity: Human, Mouse, Rat
-
Phospho-YAP1 (S127) Recombinant Monoclonal Antibody
Applications: ELISA, WB, IHC
Species Reactivity: Human
-
-
-
-
-
-















