ATP6AP1L Antibody
-
中文名稱:ATP6AP1L兔多克隆抗體
-
貨號:CSB-PA681474NA01HU
-
規格:¥440
-
圖片:
-
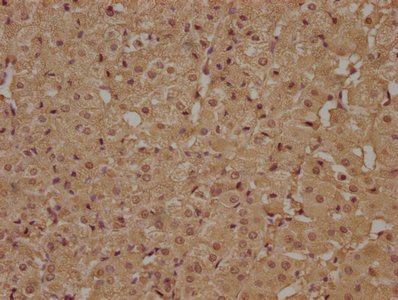
IHC image of CSB-PA681474NA01HU diluted at 1:100 and staining in paraffin-embedded human adrenal gland tissue performed on a Leica BondTM system. After dewaxing and hydration, antigen retrieval was mediated by high pressure in a citrate buffer (pH 6.0). Section was blocked with 10% normal goat serum 30min at RT. Then primary antibody (1% BSA) was incubated at 4°C overnight. The primary is detected by a biotinylated secondary antibody and visualized using an HRP conjugated SP system.
-
Immunofluorescence staining of SH-SY5Y cells with CSB-PA681474NA01HU at 1:50, counter-stained with DAPI. The cells were fixed in 4% formaldehyde, permeabilized using 0.2% Triton X-100 and blocked in 10% normal Goat Serum. The cells were then incubated with the antibody overnight at 4°C. The secondary antibody was Alexa Fluor 488-congugated AffiniPure Goat Anti-Rabbit IgG(H+L).
-
-
其他:
產品詳情
-
產品名稱:Rabbit anti-Homo sapiens (Human) ATP6AP1L Polyclonal antibody
-
Uniprot No.:
-
基因名:ATP6AP1L
-
別名:ATP6AP1L; V-type proton ATPase subunit S1-like protein; Vacuolar proton pump subunit S1-like protein
-
宿主:Rabbit
-
反應種屬:Human
-
免疫原:Peptide sequence from Human V-type proton ATPase subunit S1-like protein (190-209AA)
-
免疫原種屬:Homo sapiens (Human)
-
標記方式:Non-conjugated
本頁面中的產品,ATP6AP1L Antibody (CSB-PA681474NA01HU),的標記方式是Non-conjugated。對于ATP6AP1L Antibody,我們還提供其他標記。見下表:
-
克隆類型:Polyclonal
-
抗體亞型:IgG
-
純化方式:Antigen Affinity Purified
-
濃度:It differs from different batches. Please contact us to confirm it.
-
保存緩沖液:Preservative: 0.03% Proclin 300
Constituents: 50% Glycerol, 0.01M PBS, pH 7.4 -
產品提供形式:Liquid
-
應用范圍:ELISA, IHC, IF
-
推薦稀釋比:
Application Recommended Dilution IHC 1:20-1:200 IF 1:50-1:200 -
Protocols:
-
儲存條件:Upon receipt, store at -20°C or -80°C. Avoid repeated freeze.
-
貨期:Basically, we can dispatch the products out in 1-3 working days after receiving your orders. Delivery time maybe differs from different purchasing way or location, please kindly consult your local distributors for specific delivery time.
-
用途:For Research Use Only. Not for use in diagnostic or therapeutic procedures.
相關產品
靶點詳情
-
基因功能參考文獻:
- found significant associations with PTSD for 7 of the 41 (p<0.05), one of which (ATP6AP1L) survived multiple-testing correction PMID: 25867994
-
亞細胞定位:Membrane; Single-pass membrane protein.
-
蛋白家族:Vacuolar ATPase subunit S1 family
-
數據庫鏈接:















