ATP5J Antibody
-
中文名稱:ATP5J兔多克隆抗體
-
貨號:CSB-PA002369ESR1HU
-
規格:¥440
-
圖片:
-
Western blot
All lanes: ATP5J antibody at 7μg/ml
Lane 1: Rat brain tissue
Lane 2: Mouse heart tissue
Secondary
Goat polyclonal to rabbit IgG at 1/10000 dilution
Predicted band size: 13, 14 kDa
Observed band size: 13 kDa -
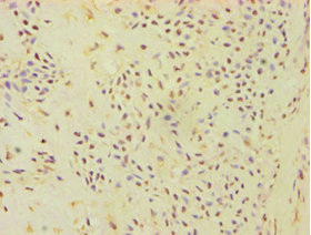
Immunohistochemistry of paraffin-embedded human breast cancer using CSB-PA002369ESR1HU at dilution of 1:100
-
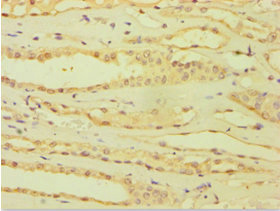
Immunohistochemistry of paraffin-embedded human kidney tissue using CSB-PA002369ESR1HU at dilution of 1:100
-
-
其他:
產品詳情
-
產品名稱:Rabbit anti-Homo sapiens (Human) ATP5J Polyclonal antibody
-
Uniprot No.:
-
基因名:
-
別名:ATP synthase; H+ transporting; mitochondrial F0 complex; subunit F6 antibody; ATP synthase-coupling factor 6; mitochondrial antibody; ATP synthase-coupling factor 6; mitochondrial antibody; ATP5 antibody; ATP5A antibody; ATP5J antibody; ATP5J_HUMAN antibody; ATPase subunit F6 antibody; ATPM antibody; CF6 antibody; F6 antibody
-
宿主:Rabbit
-
反應種屬:Human, Mouse, Rat
-
免疫原:Recombinant Human ATP synthase-coupling factor 6, mitochondrial protein (1-108AA)
-
免疫原種屬:Homo sapiens (Human)
-
標記方式:Non-conjugated
-
克隆類型:Polyclonal
-
抗體亞型:IgG
-
純化方式:Antigen Affinity Purified
-
濃度:It differs from different batches. Please contact us to confirm it.
-
保存緩沖液:PBS with 0.02% sodium azide, 50% glycerol, pH7.3.
-
產品提供形式:Liquid
-
應用范圍:ELISA, WB, IHC
-
推薦稀釋比:
Application Recommended Dilution WB 1:500-1:5000 IHC 1:20-1:200 -
Protocols:
-
儲存條件:Upon receipt, store at -20°C or -80°C. Avoid repeated freeze.
-
貨期:Basically, we can dispatch the products out in 1-3 working days after receiving your orders. Delivery time maybe differs from different purchasing way or location, please kindly consult your local distributors for specific delivery time.
-
用途:For Research Use Only. Not for use in diagnostic or therapeutic procedures.
相關產品
靶點詳情
-
功能:Mitochondrial membrane ATP synthase (F(1)F(0) ATP synthase or Complex V) produces ATP from ADP in the presence of a proton gradient across the membrane which is generated by electron transport complexes of the respiratory chain. F-type ATPases consist of two structural domains, F(1) - containing the extramembraneous catalytic core and F(0) - containing the membrane proton channel, linked together by a central stalk and a peripheral stalk. During catalysis, ATP synthesis in the catalytic domain of F(1) is coupled via a rotary mechanism of the central stalk subunits to proton translocation. Part of the complex F(0) domain and the peripheric stalk, which acts as a stator to hold the catalytic alpha(3)beta(3) subcomplex and subunit a/ATP6 static relative to the rotary elements. Also involved in the restoration of oligomycin-sensitive ATPase activity to depleted F1-F0 complexes.
-
基因功能參考文獻:
- AKT2 and XIST expression was identified as a potential biomarker participating in the effect of ATP5J in colorectal cancer PMID: 29484395
- CF6-induced increase in apoptotic cells was blocked by immature or mature IF1, being accompanied by protein kinase B (PKB) phosphorylation. IF1 antagonizes the pro-apoptotic action of CF6 by relief of intracellular acidification and resultant phosphorylation of PKB. PMID: 26659871
- Over-expression of the ATP5J gene correlates with cell migration and 5-fluorouracil sensitivity in colorectal cancer. PMID: 24124598
- CF6 plays a crucial role in the development of insulin resistance and hypertension PMID: 22038518
- The phenotypic range of retinal, peripheral and central nervous system disease expression is characterized in a single family with NARP syndrome from the ATPase 6 m.8993T>C mtDNA point mutation. PMID: 20953793
- coupling factor 6 induces the development of systolic dysfunction and upregulation of nicotinamide adenine dinucleotide phosphate oxidase in the heart under the high-salt diet PMID: 20811295
- CF6 is a novel risk factor for ischemic heart disease in end-stage renal disease. Synergism of this peptide and asymmetric dimethylarginine might contribute to its occurrence presumably by inhibition of prostacyclin and nitric oxide production. PMID: 14633154
- Mutation analysis revealed the T9176C mutation in the mtATPase 6 gene (OMIM 516060) and the mutation load was above 90% in the patients with Leigh syndrome. PMID: 15709156
- Plasma CF6 elevated in patients with acute myocardial infarction. At 3 days, plasma CF6 correlated positively with plasma creatinine kinase peak value and correlated negatively with left ventricular ejection fraction. PMID: 15785006
- T8993G allele causes severe extrapyramidal dysfunction and Leigh disease but there is no correlation between the degree of enzyme deficiency and the severity of the phenotype. PMID: 16532470
- Increased CF6 may be responsible in part for decreased prostacyclin observed in coronary heart disease, in particular after PTCA and stent therapy. Potential risk factor for coronary heart disease. PMID: 17456993
- in vascular endothelial cells both CF6 (coupling factor 6) and Angiotensin II downregulate PECAM-1 (platelet/endothelial cell adhesion molecule) expression via activation of c-Src kinase PMID: 18243211
- Coupling factor 6 enhances Src-mediated responsiveness to angiotensin II in resistance arterioles and cells. PMID: 19106112
顯示更多
收起更多
-
亞細胞定位:Mitochondrion. Mitochondrion inner membrane.
-
蛋白家族:Eukaryotic ATPase subunit F6 family
-
數據庫鏈接:
Most popular with customers
-
-
YWHAB Recombinant Monoclonal Antibody
Applications: ELISA, WB, IHC, IF, FC
Species Reactivity: Human, Mouse, Rat
-
Phospho-YAP1 (S127) Recombinant Monoclonal Antibody
Applications: ELISA, WB, IHC
Species Reactivity: Human
-
-
-
-
-
VDAC1 Recombinant Monoclonal Antibody
Applications: ELISA, WB, IHC
Species Reactivity: Human, Mouse, Rat















