-
中文名稱:ATP5F1A兔多克隆抗體
-
貨號:CSB-PA002344HA01HU
-
規格:¥440
-
圖片:
-
Western Blot
Positive WB detected in: K562 whole cell lysate, Mouse heart tissue
All lanes: ATP5F1A antibody at 2.5μg/ml
Secondary
Goat polyclonal to rabbit IgG at 1/50000 dilution
Predicted band size: 60, 55, 58 kDa
Observed band size: 60 kDa -
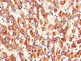
Immunohistochemistry of paraffin-embedded human liver cancer using CSB-PA002344HA01HU at dilution of 1:100
-
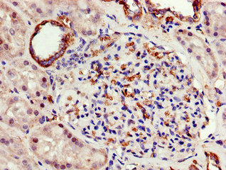
Immunohistochemistry of paraffin-embedded human kidney tissue using CSB-PA002344HA01HU at dilution of 1:100
-
Immunoprecipitating ATP5A1 in Hela whole cell lysate
Lane 1: Rabbit control IgG instead of (1ug) instead of CSB-PA002344HA01HU in Hela whole cell lysate. For western blotting, a HRP-conjugated light chain specific antibody was used as the Secondary antibody (1/50000)
Lane 2: CSB-PA002344HA01HU (4ug) + Hela whole cell lysate (500ug)
Lane 3: Hela whole cell lysate (20ug) -
Western Blot
Positive WB detected in: 293 whole cell lysate, Hela whole cell lysate, HepG2 whole cell lysate, Jurkat whole cell lysate, K562 whole cell lysate, Mouse brain tissue, Rat brain tissue
All lanes: ATP5A1 antibody at 1:2000
Secondary
Goat polyclonal to rabbit IgG at 1/50000 dilution
Predicted band size: 60, 55, 58 kDa
Observed band size: 60 kDa
-
-
其他:
產品詳情
-
產品名稱:Rabbit anti-Homo sapiens (Human) ATP5A1 Polyclonal antibody
-
Uniprot No.:
-
基因名:
-
別名:ATP synthase alpha chain antibody; ATP synthase alpha chain; mitochondrial antibody; ATP synthase subunit alpha antibody; ATP synthase subunit alpha mitochondrial antibody; ATP synthase; H+ transporting; mitochondrial F1 complex; alpha subunit 1; cardiac muscle antibody; ATP synthase; H+ transporting; mitochondrial F1 complex; alpha subunit; 1 antibody; ATP synthase; H+ transporting; mitochondrial F1 complex; alpha subunit; isoform 1; cardiac muscle antibody; ATP synthase; H+ transporting; mitochondrial F1 complex; alpha subunit; isoform 2; non-cardiac muscle-like 2 antibody; ATP sythase (F1 ATPase) alpha subunit antibody; ATP5A antibody; Atp5a1 antibody; ATP5AL2 antibody; ATPA_HUMAN antibody; ATPM antibody; Epididymis secretory sperm binding protein Li 123m antibody; hATP1 antibody; HEL-S-123m antibody; MC5DN4 antibody; mitochondrial antibody; Mitochondrial ATP synthetase antibody; Mitochondrial ATP synthetase oligomycin resistant antibody; Modifier of Min 2 antibody; Modifier of Min 2 mouse homolog antibody; Modifier of Min 2; mouse; homolog of antibody; MOM2 antibody; OMR antibody; ORM antibody; OTTHUMP00000163475 antibody
-
宿主:Rabbit
-
反應種屬:Human, Mouse, Rat
-
免疫原:Recombinant Human ATP synthase subunit alpha, mitochondrial protein (59-257AA)
-
免疫原種屬:Homo sapiens (Human)
-
標記方式:Non-conjugated
本頁面中的產品,ATP5F1A Antibody (CSB-PA002344HA01HU),的標記方式是Non-conjugated。對于ATP5F1A Antibody,我們還提供其他標記。見下表:
-
克隆類型:Polyclonal
-
抗體亞型:IgG
-
純化方式:>95%, Protein G purified
-
濃度:It differs from different batches. Please contact us to confirm it.
-
保存緩沖液:Preservative: 0.03% Proclin 300
Constituents: 50% Glycerol, 0.01M PBS, PH 7.4 -
產品提供形式:Liquid
-
應用范圍:ELISA, WB, IHC, IP
-
推薦稀釋比:
Application Recommended Dilution WB 1:1000-1:5000 IHC 1:20-1:200 IP 1:200-1:2000 -
Protocols:
-
儲存條件:Upon receipt, store at -20°C or -80°C. Avoid repeated freeze.
-
貨期:Basically, we can dispatch the products out in 1-3 working days after receiving your orders. Delivery time maybe differs from different purchasing way or location, please kindly consult your local distributors for specific delivery time.
-
用途:For Research Use Only. Not for use in diagnostic or therapeutic procedures.
引用文獻
相關產品
靶點詳情
-
功能:Mitochondrial membrane ATP synthase (F(1)F(0) ATP synthase or Complex V) produces ATP from ADP in the presence of a proton gradient across the membrane which is generated by electron transport complexes of the respiratory chain. F-type ATPases consist of two structural domains, F(1) - containing the extramembraneous catalytic core, and F(0) - containing the membrane proton channel, linked together by a central stalk and a peripheral stalk. During catalysis, ATP synthesis in the catalytic domain of F(1) is coupled via a rotary mechanism of the central stalk subunits to proton translocation. Subunits alpha and beta form the catalytic core in F(1). Rotation of the central stalk against the surrounding alpha(3)beta(3) subunits leads to hydrolysis of ATP in three separate catalytic sites on the beta subunits. Subunit alpha does not bear the catalytic high-affinity ATP-binding sites. Binds the bacterial siderophore enterobactin and can promote mitochondrial accumulation of enterobactin-derived iron ions.
-
基因功能參考文獻:
- Using systems biology techniques to study gene coexpression network, ATP5A1 was identified and found highly expressed in normal kidney than clear cell renal cell carcinoma (ccRCC) tissues of each grade. Functional and pathway enrichment analysis demonstrated that ATP5A1 is overrepresented in pathway of oxidative phosphorylation, which associated with tumorigenesis and tumor progression. PMID: 29207195
- This cohort study showed that the ATP5A1 gene was down regulation between patients with idiopathic Parkinson disease and controls PMID: 28916538
- these data highlight a key role of the P2Y1/PI3Kbeta axis in endothelial cell proliferation downstream of ecto-F1-ATPase activation by apoA-I. Pharmacological targeting of this pathway could represent a promising approach to enhance vascular endothelial protection. PMID: 28578353
- These findings, together with the previously reported inhibition of respiratory complex I, show that depression of the activity of oxidative phosphorylation enzymes is involved in the cell growth inhibitory action of ATRA. PMID: 27856255
- High mRNA levels of ATP5A1 are associated with glioblastoma. PMID: 26526033
- Hemoglobin - a novel ligand of hepatocyte ectopic F1-ATPase PMID: 26769832
- Here, we found that ATP synthase subunit alpha (ATP5A) was O-GlcNAcylated at Thr432 and ATP5A O-GlcNAcylation was decreased in the brains of AD patients and transgenic mouse model PMID: 26358770
- Mitochondrial calpain-1 disrupts ATP synthase, leading to mitochondrial reactive oxygen species generation, which promotes proinflammatory response and myocardial dysfunction during endotoxemia. PMID: 26246018
- Studies indicate that the F-ATP synthase can reversibly undergo a Ca(2+)-dependent transition to form a channel that mediates the permeability transition. PMID: 25999424
- A mutation in ATP5A1 causes a fatal neonatal mitochondrial encephalopathy. PMID: 23599390
- Studies indicate that F1-ATPase (F1) is a rotary motor protein driven by ATP hydrolysis and the minimum complex of F1 for function as a rotary motor is the alpha3beta3gamma subcomplex. PMID: 23395605
- Homozygous mutations in this gene are the likely cause of mitochondrial disease in two sisters, with support from a yeast model. PMID: 23596069
- F1-ATPase at the cell surface of colonic epithelial cells has a role in mediating cell proliferation PMID: 23055519
- An interactive proteomics study was done to examine proteins that bind heterocomplexes with ABCC1 using coimmunoprecipitation and MS/MS analyses. We found that ATP synthase alpha binds to ABCC1 in plasma membranes with a ratio of 2:1. PMID: 22188235
- Antibodies to the beta- and gamma-subunits of F(1)-ATPase are further antimitochondrial antibodies in primary biliary cirrhosis. PMID: 22098431
- A selective Cys in ATP synthase alpha subunit is targeted by multiple oxidative posttranslational modifications suggesting that this Cys residue may act as a redox sensor modulating ATP synthase function. PMID: 21817160
- Data suggest that F1-ATPase catalytic site show the correlation between the phosphate binding and the tightening of the alphabeta-interface. PMID: 21481781
- This protein has been found differentially expressed in the anterior cingulate cortex in men patients with schizophrenia. PMID: 20381070
- The alpha-chain of ATP synthase is implicated in neurofibrillary degeneration of Alzheimer's disease that is illustrated by the cytosolic accumulation of this mitochondrial protein, which belongs to the mitochondrial respiratory system. PMID: 12614671
- Within the structurally-confined internal aqueous cavity of the F1-motor of ATP synthase, function results from free energy changes that shift the balance between interfacial charge hydration and interfacial hydrophobic hydration. PMID: 16378738
- analysis of vascular endothelial ectoadenylate kinase and plasma membrane ATP synthase PMID: 16714292
- Higher levels of ATP5a1 expression are associated with certain Single Nucleotide Polymorphisms and with TP53 mutation. PMID: 19261598
- These data show that an linoleic acid-phospholipid induced stimulation in hepatic HDL secretion is related to the expression and function of membrane ATP metabolizing proteins. PMID: 19717637
- This protein has been found differentially expressed in the Wernicke's Area from patients with schizophrenia. PMID: 19405953
- This protein has been found differentially expressed in the dorsolateral prefrontal cortex from patients with schizophrenia. PMID: 19110265
顯示更多
收起更多
-
相關疾病:Combined oxidative phosphorylation deficiency 22 (COXPD22); Mitochondrial complex V deficiency, nuclear 4 (MC5DN4)
-
亞細胞定位:Mitochondrion. Mitochondrion inner membrane; Peripheral membrane protein; Matrix side. Cell membrane; Peripheral membrane protein; Extracellular side.
-
蛋白家族:ATPase alpha/beta chains family
-
組織特異性:Fetal lung, heart, liver, gut and kidney. Expressed at higher levels in the fetal brain, retina and spinal cord.
-
數據庫鏈接:
Most popular with customers
-
-
Phospho-YAP1 (S127) Recombinant Monoclonal Antibody
Applications: ELISA, WB, IHC
Species Reactivity: Human
-
-
-
-
-
-
VDAC1 Recombinant Monoclonal Antibody
Applications: ELISA, WB, IHC
Species Reactivity: Human, Mouse, Rat















