ATP1B2 Antibody
-
中文名稱:ATP1B2兔多克隆抗體
-
貨號:CSB-PA586126
-
規格:¥1100
-
圖片:
-
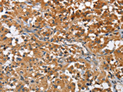
The image on the left is immunohistochemistry of paraffin-embedded Human thyroid cancer tissue using CSB-PA586126(ATP1B2 Antibody) at dilution 1/30, on the right is treated with fusion protein. (Original magnification: ×200)
-
The image on the left is immunohistochemistry of paraffin-embedded Human liver cancer tissue using CSB-PA586126(ATP1B2 Antibody) at dilution 1/30, on the right is treated with fusion protein. (Original magnification: ×200)
-
-
其他:
產品詳情
-
Uniprot No.:
-
基因名:
-
別名:ATP1B2; Sodium/potassium-transporting ATPase subunit beta-2; Adhesion molecule in glia; AMOG; Sodium/potassium-dependent ATPase subunit beta-2
-
宿主:Rabbit
-
反應種屬:Human,Mouse,Rat
-
免疫原:Fusion protein of Human ATP1B2
-
免疫原種屬:Homo sapiens (Human)
-
標記方式:Non-conjugated
-
抗體亞型:IgG
-
純化方式:Antigen affinity purification
-
濃度:It differs from different batches. Please contact us to confirm it.
-
保存緩沖液:-20°C, pH7.4 PBS, 0.05% NaN3, 40% Glycerol
-
產品提供形式:Liquid
-
應用范圍:ELISA,IHC
-
推薦稀釋比:
Application Recommended Dilution ELISA 1:1000-1:2000 IHC 1:25-1:100 -
Protocols:
-
儲存條件:Upon receipt, store at -20°C or -80°C. Avoid repeated freeze.
-
貨期:Basically, we can dispatch the products out in 1-3 working days after receiving your orders. Delivery time maybe differs from different purchasing way or location, please kindly consult your local distributors for specific delivery time.
-
用途:For Research Use Only. Not for use in diagnostic or therapeutic procedures.
相關產品
靶點詳情
-
功能:This is the non-catalytic component of the active enzyme, which catalyzes the hydrolysis of ATP coupled with the exchange of Na(+) and K(+) ions across the plasma membrane. The exact function of the beta-2 subunit is not known.; Mediates cell adhesion of neurons and astrocytes, and promotes neurite outgrowth.
-
基因功能參考文獻:
- The AMOG expression pattern with altered cellular distribution observed in malformations of cortical development suggests that AMOG might contribute to abnormal cortical development via mTOR activation. PMID: 20656459
- analysis of pathways for maturation of the Na,K-ATPase beta1 and beta2 subunits in the endoplasmic reticulum PMID: 20937802
- The strong expression of AMOG within the precursor cells of gangliogliomas may represent an additional marker for the diagnostic evaluation of these glioneuronal lesions PMID: 19371356
- Results demonstrated that the sodium-potassium ATPase beta2 subunit (NKA1b2) was localized both in the neuronal cytoplasm and cellular membrane. PMID: 15294280
- We identified interesting novel candidate genes that likely contribute to glioma progression and provide first evidence for a role of epigenetic silencing of AMOG in malignant glioma cells. PMID: 16865689
- Common genetic variation in TP53 and its flanking genes (ATP1B2) found no significant overall associations between SNPs in TP53 and breast cancer risk PMID: 17683073
- the ER quality control system allows export only of assembled alpha-beta complexes to the Golgi, whereas the number of alpha(1) subunits in the ER determines the amount of the alpha-beta complexes PMID: 19764716
- different members of the Na,K-ATPase beta subunit family may have specialized functions. PMID: 2538450
顯示更多
收起更多
-
亞細胞定位:Cell membrane; Single-pass type II membrane protein.
-
蛋白家族:X(+)/potassium ATPases subunit beta family
-
數據庫鏈接:
Most popular with customers
-
-
YWHAB Recombinant Monoclonal Antibody
Applications: ELISA, WB, IHC, IF, FC
Species Reactivity: Human, Mouse, Rat
-
Phospho-YAP1 (S127) Recombinant Monoclonal Antibody
Applications: ELISA, WB, IHC
Species Reactivity: Human
-
-
-
-
-















