ATOH1 Antibody
-
中文名稱:ATOH1兔多克隆抗體
-
貨號:CSB-PA846107LA01HU
-
規格:¥440
-
圖片:
-
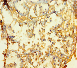
Immunohistochemistry of paraffin-embedded human testis tissue using CSB-PA846107LA01HU at dilution of 1:100
-
Immunohistochemistry of paraffin-embedded human breast cancer using CSB-PA846107LA01HU at dilution of 1:100
-
Western Blot
Positive WB detected in: MCF-7 whole cell lysate
All lanes: ATOH1 antibody at 3.2µg/ml
Secondary
Goat polyclonal to rabbit IgG at 1/50000 dilution
Predicted band size: 39 kDa
Observed band size: 39 kDa
-
-
其他:
產品詳情
-
產品名稱:Rabbit anti-Homo sapiens (Human) ATOH1 Polyclonal antibody
-
Uniprot No.:
-
基因名:ATOH1
-
別名:ATH1 antibody; ATOH1 antibody; ATOH1_HUMAN antibody; Atonal homolog 1 (Drosophila) antibody; Atonal homolog 1 antibody; bHLHa14 antibody; Class A basic helix-loop-helix protein 14 antibody; hATH1 antibody; Helix loop helix protein hATH 1 antibody; Helix-loop-helix protein hATH-1 antibody; MATH 1 antibody; MATH1 antibody; Protein atonal homolog 1 antibody
-
宿主:Rabbit
-
反應種屬:Human
-
免疫原:Recombinant Human Protein atonal homolog 1 protein (1-354AA)
-
免疫原種屬:Homo sapiens (Human)
-
標記方式:Non-conjugated
本頁面中的產品,ATOH1 Antibody (CSB-PA846107LA01HU),的標記方式是Non-conjugated。對于ATOH1 Antibody,我們還提供其他標記。見下表:
-
克隆類型:Polyclonal
-
抗體亞型:IgG
-
純化方式:>95%, Protein G purified
-
濃度:It differs from different batches. Please contact us to confirm it.
-
保存緩沖液:Preservative: 0.03% Proclin 300
Constituents: 50% Glycerol, 0.01M PBS, PH 7.4 -
產品提供形式:Liquid
-
應用范圍:ELISA, WB, IHC
-
推薦稀釋比:
Application Recommended Dilution WB 1:500-1:5000 IHC 1:20-1:200 -
Protocols:
-
儲存條件:Upon receipt, store at -20°C or -80°C. Avoid repeated freeze.
-
貨期:Basically, we can dispatch the products out in 1-3 working days after receiving your orders. Delivery time maybe differs from different purchasing way or location, please kindly consult your local distributors for specific delivery time.
-
用途:For Research Use Only. Not for use in diagnostic or therapeutic procedures.
相關產品
靶點詳情
-
功能:Transcriptional regulator. Activates E box-dependent transcription in collaboration with TCF3/E47, but the activity is completely antagonized by the negative regulator of neurogenesis HES1. Plays a role in the differentiation of subsets of neural cells by activating E box-dependent transcription.
-
基因功能參考文獻:
- Our results suggest that KN promotes goblet cell differentiation by regulating Wnt, Notch, and AhR signals and expression of Hes1 and Hath1. PMID: 29436668
- The authors discovered tyrosine 78 of Atoh1 is phosphorylated by a Jak2-mediated pathway only in tumor-initiating cells and in human Sonic Hedgehog-type medulloblastoma. PMID: 29168692
- ATOH1 expression was detected consistently in recurrent and metastatic SHH medulloblastoma. Chromatin immunoprecipitation sequencing and gene expression profiling identified candidate ATOH1 targets in tumor cells involved in development and tumorigenesis. PMID: 28490517
- These data indicate that the regulation of Atoh1 by the ubiquitin proteasome pathway is necessary for hair cell fate determination and survival. PMID: 27542412
- ATOH1 is increased in advanced Merkel cell carcinoma (MCC) indicating that ATOH1 is involved in MCC progression. PMID: 27624714
- Study provides evidence that Sox2 expression is required for the late stages of progenitor cell differentiation to hair cells and stimulates Atoh1 expression through a concentration dependent molecular interaction with the 3' enhancer of Atoh1. PMID: 26988140
- mutation not found in group of children with sensorineural hearing loss PMID: 26634621
- Downregulation of Hath1 expression promoted the proliferation and reduced the apoptosis of KUMA5 squamous cell carcinoma cells. PMID: 26648003
- ATOH1 can induce the differentiation of gastric cancer stem cells. PMID: 25950549
- ATOH1 acts in concert with other transcription factors to directly regulate the cochlear hair cell phenotype. PMID: 25015561
- Testosterone-bovine serum albumin and Math1 treatment could promote an increase in hair-cell like cells in the lesser epithelial ridge through proliferation and transdifferentiation. PMID: 25957791
- Atoh1 epigenetic regulation guides hair cell development in the mammalian cochlea PMID: 26487780
- Atoh1 protein stabilization induced both a cancer stem cell phenotype and a mucinous phenotype, resulting in the acquisition of chemoresistance in colorectal cancer PMID: 26017781
- Chicken Atoh1 might have intrinsic functional differences to mammalian Atoh1. PMID: 25412697
- In this review, expression of the Atoh1 gene in supporting cells, results in their transformation into immature hair cells. PMID: 25648190
- Data suggest that Atoh1 high expression correlates with a good prognosis and it may serve as a favorable prognostic factor for GIST. PMID: 25400808
- Expression of Hath1, Muc2, cyclin D1 and p27 in the xenograft tumors was also detected. PMID: 23464457
- Atoh1 transfection drives highly efficient differentiation of human pluripotent stem cells into dopaminergic neurons. PMID: 24904172
- cotransfection of Pax2 and Math1 strongly stimulates in situ hair cell regeneration in neomycin-damaged cochlear explants. PMID: 24141260
- The transcription factor Atoh1, which is both necessary and sufficient for hair cell development. PMID: 23724999
- the Atoh1 protein regulates malignant potential rather than the differentiation phenotype of mucinous colon cancer (MC), suggesting the mechanism by which MC and signet ring cell carcinoma are more malignant than non-mucinous adenocarcinoma. PMID: 23333391
- Nuclear expression of Atoh1 was inversely correlated with the differentiation and primary tumor stage of lung cancers and also the downregulation of the Wnt pathway. PMID: 23030416
- H. pylori up-regulates Hath1 expression through inducing the release of IL-8 in MKN28 cells. PMID: 22786753
- Transfection of hATOH1 in combination with hTCF3 or hGATA3 induced 2-3X more Pou4f3/GFP cells, and similarly enhanced Pou4f3/GFP and myosin VIIa double-positive cells, when compared to hATOH1 alone PMID: 22985730
- involved in differentiation of neurons, secretory cells in the gut, and mechanoreceptors including auditory hair cells [review] PMID: 22370966
- In vivo conversion of pillar cells and Deiters' cells into immature auditory hair cells by Atoh1 is age dependent and resembles normal auditory hair cell development. PMID: 22573682
- Atoh1 activates cell proliferation within the normally postmitotic cochlear epithelium. PMID: 22573692
- Math1/Atoh1 ectopic expression significantly reduced cell proliferation and altered cell morphology in Barrett esophagus PMID: 22147253
- Longitudinal cell formation in the small intestine was regulated by the colocalization of Hath1 and Klf4 that converted Paneth cell differentiation into goblet cell differentiation. PMID: 21125297
- Atonal homolog 1 is required for growth and differentiation effects of notch/gamma-secretase inhibitors on normal and cancerous intestinal epithelial cells. PMID: 20621629
- we investigated by immunohistochemistry the expression of Hath1 in 63 neuroendocrine tumors PMID: 19924642
- Maps to 10q21-22. Candidate gene for optic nerve aplasia and related syndromes. PMID: 11889557
- Proneural and proneuroendocrine transcription factor expression in cutaneous mechanoreceptor (Merkel) cells and Merkel cell carcinoma PMID: 12209986
- Hath1 may regulate the expression of MUC2, a mucin secreted by goblet cells, and Hath1 may also be a novel factor normally repressed as a consequence of activation of the Wnt signaling pathway [review] PMID: 16382053
- Hath1 is one of the transcriptional regulators for MUC6 and MUC5AC in gastric cancer cells. PMID: 16647036
- Based on these results, we hypothesize that Cdx2 is involved in activating Math1 expression in intestinal epithelial cells. PMID: 16831200
- HATH1 is an important factor in the up-regulation of MUC2 expression that occurs in mucinous cancers and signet ring carcinomas. PMID: 17000673
- GSK3beta-dependent protein degradation was switched between Hath1 and beta-catenin by Wnt signaling, leading to the dramatic alteration of cell status between proliferation and differentiation in colon cancer PMID: 17241872
- In the chimeric environment, genotypically wild-type cells that possess Math1 have the competence to differentiate into hair cells by providing appropriate environmental interactions. PMID: 17397818
- Patients with ATOH1-expressing adenocarcinomas might have a worse prognosis. PMID: 17549667
- ATOH1 activates hairy and enhancer of split 6 transcription through binding to three clustered E boxes of its promoter PMID: 17826772
- Hath1 protein degradation may be required for maintaining the undifferentiated state of colon cancers, and that GSK3 inhibitors have potential for use in cancer therapy. PMID: 18275842
- Our data indicate that ATOH1 may be an early target for oncogenic mutations in tissues where it instructs cellular differentiation. PMID: 19243219
- Adult Atoh1-conditional knock-out mice are behaviorally deaf, have diminished auditory brainstem responses and disrupted auditory nuclei morphology. PMID: 19741118
顯示更多
收起更多
-
亞細胞定位:Nucleus.
-
數據庫鏈接:
Most popular with customers
-
-
Phospho-YAP1 (S127) Recombinant Monoclonal Antibody
Applications: ELISA, WB, IHC
Species Reactivity: Human
-
-
-
-
-
-















