ATG4B Antibody
-
中文名稱:ATG4B兔多克隆抗體
-
貨號:CSB-PA002290LA01HU
-
規格:¥440
-
圖片:
-
Western Blot
Positive WB detected in: Mouse brain tissue
All lanes: ATG4B antibody at 3.4μg/ml
Secondary
Goat polyclonal to rabbit IgG at 1/50000 dilution
Predicted band size: 45, 53, 32, 38, 43 kDa
Observed band size: 45 kDa -
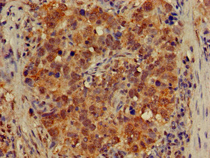
Immunohistochemistry of paraffin-embedded human pancreatic cancer using CSB-PA002290LA01HU at dilution of 1:100
-
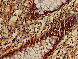
Immunohistochemistry of paraffin-embedded human colon cancer using CSB-PA002290LA01HU at dilution of 1:100
-
Immunofluorescent analysis of A549 cells using CSB-PA002290LA01HU at dilution of 1:100 and Alexa Fluor 488-congugated AffiniPure Goat Anti-Rabbit IgG(H+L)
-
-
其他:
產品詳情
-
產品名稱:Rabbit anti-Homo sapiens (Human) ATG4B Polyclonal antibody
-
Uniprot No.:
-
基因名:
-
別名:APG4 autophagy 4 homolog B antibody; APG4B antibody; ATG4 autophagy related 4 homolog B (S. cerevisiae) antibody; ATG4B antibody; ATG4B_HUMAN antibody; AUT like 1 cysteine endopeptidase antibody; AUT-like 1 cysteine endopeptidase antibody; AUTL1 antibody; Autophagin 1 antibody; Autophagin-1 antibody; Autophagy related 4B cysteine peptidase antibody; Autophagy related cysteine endopeptidase 1 antibody; Autophagy related protein 4 homolog B antibody; Autophagy-related cysteine endopeptidase 1 antibody; Autophagy-related protein 4 homolog B antibody; Cysteine protease ATG4B antibody; hAPG4B antibody; MGC1353 antibody
-
宿主:Rabbit
-
反應種屬:Human, Mouse
-
免疫原:Recombinant Human Cysteine protease ATG4B protein (350-400AA)
-
免疫原種屬:Homo sapiens (Human)
-
標記方式:Non-conjugated
本頁面中的產品,ATG4B Antibody (CSB-PA002290LA01HU),的標記方式是Non-conjugated。對于ATG4B Antibody,我們還提供其他標記。見下表:
-
克隆類型:Polyclonal
-
抗體亞型:IgG
-
純化方式:>95%, Protein G purified
-
濃度:It differs from different batches. Please contact us to confirm it.
-
保存緩沖液:Preservative: 0.03% Proclin 300
Constituents: 50% Glycerol, 0.01M PBS, pH 7.4 -
產品提供形式:Liquid
-
應用范圍:ELISA, WB, IHC, IF
-
推薦稀釋比:
Application Recommended Dilution WB 1:500-1:5000 IHC 1:20-1:200 IF 1:50-1:200 -
Protocols:
-
儲存條件:Upon receipt, store at -20°C or -80°C. Avoid repeated freeze.
-
貨期:Basically, we can dispatch the products out in 1-3 working days after receiving your orders. Delivery time maybe differs from different purchasing way or location, please kindly consult your local distributors for specific delivery time.
-
用途:For Research Use Only. Not for use in diagnostic or therapeutic procedures.
相關產品
靶點詳情
-
功能:Cysteine protease required for the cytoplasm to vacuole transport (Cvt) and autophagy. Cleaves the C-terminal amino acid of ATG8 family proteins MAP1LC3, GABARAPL1, GABARAPL2 and GABARAP, to reveal a C-terminal glycine. Exposure of the glycine at the C-terminus is essential for ATG8 proteins conjugation to phosphatidylethanolamine (PE) and insertion to membranes, which is necessary for autophagy. Has also an activity of delipidating enzyme for the PE-conjugated forms.
-
基因功能參考文獻:
- ATG4B expression was observed markedly upregulated by EWS-FLI1 overexpression, and silencing of ATG4B dramatically inhibits autophagy in Ewing sarcoma cells. PMID: 28902354
- study demonstrates that Rab7b regulates LC3 processing by modulating Atg4B activity; taken together, findings reveal Rab7b as a novel negative regulator of autophagy through its interaction with Atg4B PMID: 28835545
- ATG4B contains a C-terminal LIR motif important for binding and efficient cleavage of mammalian orthologs of yeast Atg8 PMID: 28287329
- O-GlcNAcylation of ATG4B regulates autophagy activation by increasing its proteolytic activity under metabolic stress condition PMID: 27527864
- these results demonstrate a novel association of ATG4B positive expression with HER2 positive breast cancers PMID: 27556700
- Knockdown of ATG4B had only a minor effect on AMPK activation and G1 phase arrest in liver kinase B1-deficient or AMPK-inhibited cancer cells. PMID: 29169176
- Our work describes an MST4-ATG4B signaling axis that influences glioblastoma autophagy and malignancy PMID: 29232556
- Data show that ULK1, a protein kinase activated at the autophagosome formation site, phosphorylates human ATG4B on serine 316. PMID: 28821708
- Reporter assay showed that HSF1 increased the transcriptional activity of ATG4B gene promoter, and chromatin immunoprecipitation assay verified that HSF1 bound to the site (-1429 to -1417) in ATG4B gene promoter region. PMID: 28889000
- The structure and regulatory machinery of Atg4b [review] PMID: 28253956
- MIRlet-7i is able to regulate autophagic activity via regulating Atg4B expression, which might contribute to the pathogenesis of pre-eclampsia. PMID: 27770612
- Results demonstrated that upregulation of miR-34a by transfection or demethylation resulted in the enhanced apoptosis and drug sensitivity in prostate cancer cells. ATG4B, directly regulated by miR-34a through AMPK/mTOR, was involved in this process. PMID: 26499184
- Purified ATG4B protein interact with LC3B in vitro. PMID: 25652856
- ATG4B independently plays a role as a positive regulator on tumor proliferation and a negative regulator on autophagy in colorectal cancer cells. PMID: 24991826
- This study identifies ATG4B as a potential biomarker for predicting therapeutic response in treatment-naive chronic myeloid leukemia stem/progenitor cells and uncovers ATG4B as a possible drug target in these cells. PMID: 24755409
- The actions of ATG4 family members (particularly ATG4B) are required for the control of autophagosome fusion with late, degradative compartments in differentiating human erythroblasts. PMID: 23508006
- HsAtg4B negatively regulates the localization of LC3 to a membrane compartment by delipidation PMID: 15187094
- analysis of specificity and catalysis of HsAtg4B PMID: 16183633
- crystal structure of human Atg4b by X-ray crystallography at 2.0 A resolution, and show that Atg4b is a cysteine protease whose active catalytic triad site consists of Cys74, His280 and Asp278 PMID: 16325851
- Murine Atg8L/Apg8L modification is mediated by human Atg4B. PMID: 16704426
- The crystal structures of catalytically inert human Atg4B in complex with processed and unprocessed forms of LC3 showed that, on LC3 binding, the regulatory loop and the N-terminal tail of HsAtg4B undergo large conformational changes. PMID: 19322194
顯示更多
收起更多
-
亞細胞定位:Cytoplasm.
-
蛋白家族:Peptidase C54 family
-
數據庫鏈接:
Most popular with customers
-
-
YWHAB Recombinant Monoclonal Antibody
Applications: ELISA, WB, IHC, IF, FC
Species Reactivity: Human, Mouse, Rat
-
Phospho-YAP1 (S127) Recombinant Monoclonal Antibody
Applications: ELISA, WB, IHC
Species Reactivity: Human
-
-
-
-
-















