ATG16L2 Antibody
-
中文名稱:ATG16L2兔多克隆抗體
-
貨號:CSB-PA843310HA01HU
-
規格:¥440
-
圖片:
-
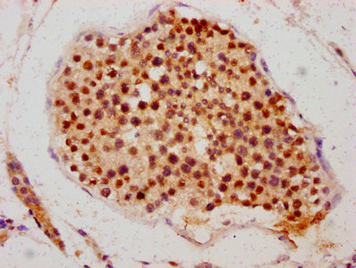
IHC image of CSB-PA843310HA01HU diluted at 1:700 and staining in paraffin-embedded human testis tissue performed on a Leica BondTM system. After dewaxing and hydration, antigen retrieval was mediated by high pressure in a citrate buffer (pH 6.0). Section was blocked with 10% normal goat serum 30min at RT. Then primary antibody (1% BSA) was incubated at 4°C overnight. The primary is detected by a biotinylated secondary antibody and visualized using an HRP conjugated SP system.
-
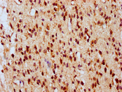
IHC image of CSB-PA843310HA01HU diluted at 1:700 and staining in paraffin-embedded human glioma performed on a Leica BondTM system. After dewaxing and hydration, antigen retrieval was mediated by high pressure in a citrate buffer (pH 6.0). Section was blocked with 10% normal goat serum 30min at RT. Then primary antibody (1% BSA) was incubated at 4°C overnight. The primary is detected by a biotinylated secondary antibody and visualized using an HRP conjugated SP system.
-
Immunofluorescent analysis of HepG2 cells using CSB-PA843310HA01HU at dilution of 1:100 and Alexa Fluor 488-congugated AffiniPure Goat Anti-Rabbit IgG(H+L)
-
-
其他:
產品詳情
-
產品名稱:Rabbit anti-Homo sapiens (Human) ATG16L2 Polyclonal antibody
-
Uniprot No.:
-
基因名:
-
別名:A16L2_HUMAN antibody; APG16-like 2 antibody; ATG16 autophagy related 16-like 2 antibody; ATG16B antibody; Atg16l2 antibody; autophagy related 16-like 2 (S. cerevisiae) antibody; Autophagy-related protein 16-2 antibody; WD repeat-containing protein 80 antibody; WDR80 antibody
-
宿主:Rabbit
-
反應種屬:Human
-
免疫原:Recombinant Human Autophagy-related protein 16-2 protein (262-348AA)
-
免疫原種屬:Homo sapiens (Human)
-
標記方式:Non-conjugated
本頁面中的產品,ATG16L2 Antibody (CSB-PA843310HA01HU),的標記方式是Non-conjugated。對于ATG16L2 Antibody,我們還提供其他標記。見下表:
-
克隆類型:Polyclonal
-
抗體亞型:IgG
-
純化方式:>95%, Protein G purified
-
濃度:It differs from different batches. Please contact us to confirm it.
-
保存緩沖液:Preservative: 0.03% Proclin 300
Constituents: 50% Glycerol, 0.01M PBS, PH 7.4 -
產品提供形式:Liquid
-
應用范圍:ELISA, IHC, IF
-
推薦稀釋比:
Application Recommended Dilution IHC 1:500-1:1000 IF 1:50-1:200 -
Protocols:
-
儲存條件:Upon receipt, store at -20°C or -80°C. Avoid repeated freeze.
-
貨期:Basically, we can dispatch the products out in 1-3 working days after receiving your orders. Delivery time maybe differs from different purchasing way or location, please kindly consult your local distributors for specific delivery time.
-
用途:For Research Use Only. Not for use in diagnostic or therapeutic procedures.
相關產品
靶點詳情
-
功能:May play a role in regulating epithelial homeostasis in an ATG16L1-dependent manner.
-
基因功能參考文獻:
- ATG16L2 is a susceptibility gene for Crohn's disease in the Chinese population. The rs11235604 single nucleotide polymorphism is remarkably associated with downregulation of the expression of ATG16L2. PMID: 27611316
- A novel SNP-systemic lupus erythematosus association was identified between FCHSD2 and P2RY2, peaking at rs11235667 on a 33-kb haplotype upstream of ATG16L2. PMID: 26663301
- Atg16L2 may play an important role in autophagy of T cells and serve as a potential biomarker to predict clinical relapse of Multiple sclerosis PMID: 24406150
- Three novel risk loci including ATG16L2 were discovered by genome-wide association study in the Korean Crohn's disease population, of which two showed patterns of association in the International Inflammatory Bowel Disease Genetics Consortium dataset. PMID: 23850713
-
亞細胞定位:Cytoplasm, cytosol.
-
蛋白家族:WD repeat ATG16 family
-
數據庫鏈接:
Most popular with customers
-
-
Phospho-YAP1 (S127) Recombinant Monoclonal Antibody
Applications: ELISA, WB, IHC
Species Reactivity: Human
-
-
-
-
-
-
VDAC1 Recombinant Monoclonal Antibody
Applications: ELISA, WB, IHC
Species Reactivity: Human, Mouse, Rat















