ATG13 Antibody
-
中文名稱:ATG13兔多克隆抗體
-
貨號:CSB-PA012203ESR1HU
-
規格:¥440
-
圖片:
-
其他:
產品詳情
-
產品名稱:Rabbit anti-Homo sapiens (Human) ATG13 Polyclonal antibody
-
Uniprot No.:
-
基因名:
-
別名:ATG13 antibody; ATG13 autophagy related 13 homolog (S. cerevisiae) antibody; ATG13_HUMAN antibody; Autophagy related 13 antibody; Autophagy related protein 13 antibody; Autophagy-related protein 13 antibody; FLJ20698 antibody; KIAA0652 antibody; OTTHUMP00000233321 antibody; OTTHUMP00000233322 antibody; OTTHUMP00000233323 antibody; OTTHUMP00000233324 antibody; OTTHUMP00000233325 antibody; OTTHUMP00000233326 antibody
-
宿主:Rabbit
-
反應種屬:Human
-
免疫原:Recombinant Human Autophagy-related protein 13 protein (318-517AA)
-
免疫原種屬:Homo sapiens (Human)
-
標記方式:Non-conjugated
-
克隆類型:Polyclonal
-
抗體亞型:IgG
-
純化方式:Antigen Affinity Purified
-
濃度:It differs from different batches. Please contact us to confirm it.
-
保存緩沖液:PBS with 0.02% sodium azide, 50% glycerol, pH7.3.
-
產品提供形式:Liquid
-
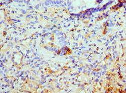
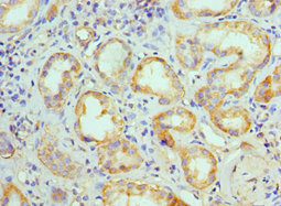
應用范圍:ELISA, IHC
-
推薦稀釋比:
Application Recommended Dilution IHC 1:20-1:200 -
Protocols:
-
儲存條件:Upon receipt, store at -20°C or -80°C. Avoid repeated freeze.
-
貨期:Basically, we can dispatch the products out in 1-3 working days after receiving your orders. Delivery time maybe differs from different purchasing way or location, please kindly consult your local distributors for specific delivery time.
-
用途:For Research Use Only. Not for use in diagnostic or therapeutic procedures.
相關產品
靶點詳情
-
功能:Autophagy factor required for autophagosome formation and mitophagy. Target of the TOR kinase signaling pathway that regulates autophagy through the control of the phosphorylation status of ATG13 and ULK1, and the regulation of the ATG13-ULK1-RB1CC1 complex. Through its regulation of ULK1 activity, plays a role in the regulation of the kinase activity of mTORC1 and cell proliferation.
-
基因功能參考文獻:
- Specific affinity of the LC3 isoforms to the Atg13 LC3-interacting region is required for proper autophagosome formation. PMID: 24290141
- These data suggest that Atg101 is a novel Atg protein that functions together with ULK, Atg13 and FIP200. PMID: 19597335
- The gene product is the functional homologue of yeast Atg13, and required for autophagy in mammalian cells. PMID: 18936157
-
亞細胞定位:Cytoplasm, cytosol. Preautophagosomal structure.
-
蛋白家族:ATG13 family, Metazoan subfamily
-
數據庫鏈接:
Most popular with customers
-
-
YWHAB Recombinant Monoclonal Antibody
Applications: ELISA, WB, IHC, IF, FC
Species Reactivity: Human, Mouse, Rat
-
-
-
-
-
-















