ATF6 Antibody
-
中文名稱:ATF6兔多克隆抗體
-
貨號:CSB-PA002277LA01HU
-
規格:¥440
-
圖片:
-
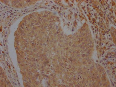
IHC image of CSB-PA002277LA01HU diluted at 1:100 and staining in paraffin-embedded human cervical cancer performed on a Leica BondTM system. After dewaxing and hydration, antigen retrieval was mediated by high pressure in a citrate buffer (pH 6.0). Section was blocked with 10% normal goat serum 30min at RT. Then primary antibody (1% BSA) was incubated at 4°C overnight. The primary is detected by a Goat anti-rabbit polymer IgG labeled by HRP and visualized using 0.05% DAB.
-
Immunofluorescence staining of Hela cells with CSB-PA002277LA01HU at 1:100, counter-stained with DAPI. The cells were fixed in 4% formaldehyde and blocked in 10% normal Goat Serum. The cells were then incubated with the antibody overnight at 4°C. The secondary antibody was Alexa Fluor 488-congugated AffiniPure Goat Anti-Rabbit IgG(H+L).
-
-
其他:
產品詳情
-
產品名稱:Rabbit anti-Homo sapiens (Human) ATF6 Polyclonal antibody
-
Uniprot No.:
-
基因名:
-
別名:ATF6; Cyclic AMP-dependent transcription factor ATF-6 alpha; cAMP-dependent transcription factor ATF-6 alpha; Activating transcription factor 6 alpha; ATF6-alpha
-
宿主:Rabbit
-
反應種屬:Human
-
免疫原:Recombinant Human Cyclic AMP-dependent transcription factor ATF-6 alpha protein (1-194AA)
-
免疫原種屬:Homo sapiens (Human)
-
標記方式:Non-conjugated
本頁面中的產品,ATF6 Antibody (CSB-PA002277LA01HU),的標記方式是Non-conjugated。對于ATF6 Antibody,我們還提供其他標記。見下表:
-
克隆類型:Polyclonal
-
抗體亞型:IgG
-
純化方式:>95%, Antigen Affinity purified & Affinity purified
-
濃度:It differs from different batches. Please contact us to confirm it.
-
保存緩沖液:Preservative: 0.03% Proclin 300
Constituents: 50% Glycerol, 0.01M PBS, PH 7.4 -
產品提供形式:Liquid
-
應用范圍:ELISA, IHC, IF
-
推薦稀釋比:
Application Recommended Dilution IHC 1:100-1:500 IF 1:100-1:500 -
Protocols:
-
儲存條件:Upon receipt, store at -20°C or -80°C. Avoid repeated freeze.
-
貨期:Basically, we can dispatch the products out in 1-3 working days after receiving your orders. Delivery time maybe differs from different purchasing way or location, please kindly consult your local distributors for specific delivery time.
-
用途:For Research Use Only. Not for use in diagnostic or therapeutic procedures.
相關產品
靶點詳情
-
功能:Precursor of the transcription factor form (Processed cyclic AMP-dependent transcription factor ATF-6 alpha), which is embedded in the endoplasmic reticulum membrane. Endoplasmic reticulum stress promotes processing of this form, releasing the transcription factor form that translocates into the nucleus, where it activates transcription of genes involved in the unfolded protein response (UPR).; Transcription factor that initiates the unfolded protein response (UPR) during endoplasmic reticulum stress by activating transcription of genes involved in the UPR. Binds DNA on the 5'-CCAC[GA]-3'half of the ER stress response element (ERSE) (5'-CCAAT-N(9)-CCAC[GA]-3') and of ERSE II (5'-ATTGG-N-CCACG-3'). Binding to ERSE requires binding of NF-Y to ERSE. Could also be involved in activation of transcription by the serum response factor. May play a role in foveal development and cone function in the retina.
-
基因功能參考文獻:
- 147 is a pro-drug that preferentially activates ATF6 signaling through a mechanism involving localized metabolic activation and selective covalent modification of endoplasmic reticulumresident proteins that regulate ATF6 activity. PMID: 30084354
- sustained intestinal activation of ATF6 in the colon to promote dysbiosis and microbiota-dependent tumorigenesis. PMID: 30063920
- results support a critical role of ATF6alpha in the establishment and maintenance of cellular senescence in normal human fibroblasts via the up-regulation of a COX2/PGE2 intracrine pathway. PMID: 28803844
- The results demonstrated that high expression of activated ATF6 aggravates ER stressinduced VEC apoptosis through the mitochondrial apoptotic pathway. Furthermore, in response to ER stress, ATF6 upregulates the expression of caspase3, caspase9, CHOP, cytochrome c and Bax/Bcl2. PMID: 29512699
- Reporters constructed to monitor each mechanism show that phenobarbital-induced endoplasmic reticulum membrane expansion depends on transmembrane domain-induced ATF6 PMID: 30086303
- ATF6 plays a distinct role in viral protein stability and the host uses different cleavage strategies, rather than conventional cleavage by generating p50ATF6, to combat viral infection. PMID: 29386036
- Three branches of the Unfolded Protein Response (UPR) have been described, including the activation of the inositol-requiring enzyme 1 (IRE1), the pancreatic ER kinase (PKR)-like ER kinase (PERK), and the activating transcription factor 6 (ATF6). PMID: 28105371
- The expression of ASNS was significantly elevated when ATF6 was over expressed. The expressions of these 2 genes were both decreased in hepatocellular carcinoma (HCC)patients, and it was more significantly with ASNS. The mRNA levels of ASNS and ATF6 were positively correlated with each other. rs34050735 was associated with HCC in the case-control study and also an independent predictor of overall survival of HCC patients. PMID: 28629319
- Human ATF6 mutations interrupt distinct sequential steps of the ATF6 activation mechanism. PMID: 28028229
- Findings indicate a central role for activating transcription factor 6 (ATF6alpha) in the establishment of morphological features of senescence in normal primary fibroblasts. PMID: 27563820
- A novel homozygous c.1691A>G (p.(Asp564Gly)) ATF6 mutation was identified in two siblings with autosomal recessive cone-rod dystrophy. PMID: 28812650
- This review shown that the achromatopsia arising from genetic mutations in Activating Transcription Factor 6 (ATF6). PMID: 27117871
- In summary, our study revealed a negative regulation of the UPR transducer ATF6 through post-translational SUMOylation. The information from this study will not only increase our understanding of the fine-tuning regulation of the UPR signaling but will also be informative to the modulation of the UPR for therapeutic benefits. PMID: 29061306
- Low ATF6 expression is associated with cancer. PMID: 28157699
- Activating transcription factor 6 (ATF6alpha) pathway and ER-associated protein degradation (ERAD) are elevated in salivary glands of Sjogren's syndrome patients (SS). PMID: 27461470
- A transcription factor complex consisting of ATF6 (an endoplasmic reticulum-resident factor) and C/EBP-beta is required for the IFN-gamma-induced expression of DAPK1 IFN-gamma-induced proteolytic processing of ATF6 and phosphorylation of C/EBP-beta are obligatory for the formation of this transcriptional complex PMID: 27590344
- Authors observed the cleavage of ATF6, the phosphorylation of MRLC, and the expression of death-associated protein kinase (DAPK1) by western blotting; the transcription of DAPK1 by RT-PCR; and the subcellular localization of ATF6 and mAtg9 by immunofluorescence. PMID: 27085326
- Genetic Variations in ATF6 (rs2070150) is not Associated with Hepatocellular Carcinoma in Thai Patients with Hepatitis B Virus Infection. PMID: 26925648
- We found that HCS identified compounds which inhibited ATF6 nuclear translocation with high specificity, as confirmed by the luciferase reporter assay and western blot analysis PMID: 26707144
- results identify a role for DREAM silencing in the activation of ATF6 signaling, which promotes early neuroprotection in HD. PMID: 26752648
- Endoplasmic reticulum stress related factor ATF6 and caspase-12 trigger apoptosis in neonatal hypoxic-ischemic encephalopathy. PMID: 26261584
- These results confirm that HIV infection activates stress-response components and that antiretroviral therapy contributes to changes in the unfolded protein response activation profile. PMID: 25976933
- Defective podocyte insulin signaling through p85-XBP1 promotes ATF6-dependent maladaptive ER-stress response in diabetic nephropathy. PMID: 25754093
- protein expression were significantly higher in the placentas of women with early and late SPE than in the control women, whereas there were no differences in ATF6 and Ire1 mRNA and protein. PMID: 25675914
- autosomal recessive achromatopsia is caused by a frameshift mutation in ATF6 in this Pakistani family PMID: 26063662
- A crucial and unexpected role for ATF6A in human foveal development and cone function. PMID: 26029869
- ATF6 preferentially reduces the secretion and extracellular aggregation of destabilized, aggregation-prone variants of the amyloidogenic protein TTR, as compared to stable WT TTR and nonamyloidogenic TTR variants. PMID: 25444553
- The genetic variation in ATF6 is associated with pre-diabetes and has interactive effects with BMI on pre-diabetes in the Chinese Han population. PMID: 25302688
- Data show that silver nanoparticles induce activating transcription factor-6 (ATF-6) degradation, leading to activation of the NLRP-3 inflammasome and pyroptosis. PMID: 25593314
- our data demonstrate that CiC expression is activated during ER stress through the binding of ATF6alpha and XBP1 to an UPRE element located in the proximal promoter of Cic gene. PMID: 25450523
- Data shows that mutation of putative p38 MAPK phosphorylation sites in ATF6 suppresses its transcriptional induction of DAPK1. PMID: 25135476
- activating transcription factor 6 single polymorphism has a role in increased body mass index after kidney transplantation PMID: 22099811
- Activation of the ATF6 pathways of the UPR is sustained along with PERK signaling in melanoma cells subjected to pharmacological ER stress, and that this plays an important role in protecting melanoma cells from ER stressinduced apoptosis. PMID: 24240056
- ATF6 binds to the promoter of XBP1 and enhances the XBP1S expression in OA cartilage. PMID: 24269637
- activation of the ATF6 pathway of the UPR limits ATZ-dependent cell toxicity by selectively promoting ER-associated degradation of ATZ PMID: 21976666
- These studies indicate that activation of either IRE1, ATF6, or PERK prevents mutant rhodopsin from accumulating in the cells. PMID: 24664756
- Tick-borne encephalitis virus infection activates the IRE1 pathway and triggers expression of cleaved transcription factor 6 (ATF6) which suggest activation of ATF6 pathway. PMID: 24177270
- This study showed that the two compounds, polyP and isoquercitrin, have a co-enhancing effect on bone mineral formation and in turn might be of potential therapeutic value for prevention/treatment of osteoporosis. PMID: 24726443
- ATF6 mRNA expression was significantly decreased as the disease progressed PMID: 24302549
- these results indicate that ATF6alpha can regulate de novo cholesterol synthesis through stimulation of cholesterogenic gene expression. PMID: 23924739
- Mediator subunit MED25 plays a critical role in this process and identify a MED25 domain that serves as a docking site on Mediator for the ATF6alpha transcription activation domain. PMID: 23864652
- ATF6 represents a novel type of ERAD-Lm substrate requiring SEL1L for degradation despite its transmembrane nature. PMID: 24043630
- results demonstrate that ER stress-related proteins, particularly ATF6 and its downstream molecule CHOP, are involved in ox-LDL-induced cholesterol accumulation and apoptosis in macrophages PMID: 23037953
- ATF6 activation is significantly higher for the CASPR2-D1129H compared with the wild-type protein. PMID: 22872700
- one of three endoplasmic reticulum transmembrane protein sensors that signals the unfolded protein response [review] PMID: 22917505
- Data show that transfection of ORMDL3 in bronchial epithelial cells induced expression of MMP-9, ADAM-8, CCL-20, IL-8, CXCL-10, CXCL-11, oligoadenylate synthetases (OAS) genes, and selectively activated activating transcription factor 6 (ATF6). PMID: 23011799
- This study indicates that selectively activating ATF6 or PERK prevents mutant rhodopsin from accumulating in retinal cells. PMID: 22956602
- ATF6alpha functions at least in part by recruiting to the endoplasmic reticulum stress response enhancer elements of ER stress response genes a collection of RNA polymerase II coregulatory complexes. PMID: 22577136
- Increased expression of Endoplasmic Reticulum (ER) stress markers, GRP78, ATF6 and CHOP, in endometrioid endometrial carcinomas suggests a role for ER stress in endometrial cancer. PMID: 22146569
- BMP2 induces osteoblast differentiation through Runx2-dependent ATF6 expression, which directly regulates Oc transcription. PMID: 22102412
顯示更多
收起更多
-
相關疾病:Achromatopsia 7 (ACHM7)
-
亞細胞定位:Endoplasmic reticulum membrane; Single-pass type II membrane protein. Golgi apparatus membrane; Single-pass type II membrane protein.; [Processed cyclic AMP-dependent transcription factor ATF-6 alpha]: Nucleus.
-
蛋白家族:BZIP family, ATF subfamily
-
組織特異性:Ubiquitous.
-
數據庫鏈接:
Most popular with customers
-
-
YWHAB Recombinant Monoclonal Antibody
Applications: ELISA, WB, IHC, IF, FC
Species Reactivity: Human, Mouse, Rat
-
Phospho-YAP1 (S127) Recombinant Monoclonal Antibody
Applications: ELISA, WB, IHC
Species Reactivity: Human
-
-
-
-
-















