ASTL Antibody
-
中文名稱:ASTL兔多克隆抗體
-
貨號:CSB-PA760708LA01HU
-
規格:¥440
-
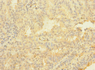
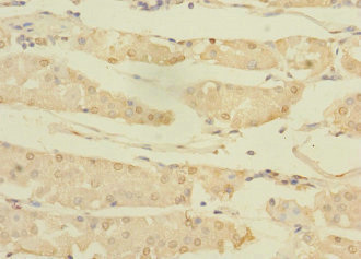
圖片:
-
其他:
產品詳情
-
產品名稱:Rabbit anti-Homo sapiens (Human) ASTL Polyclonal antibody
-
Uniprot No.:
-
基因名:ASTL
-
別名:ASTLAstacin-like metalloendopeptidase antibody; EC 3.4.-.- antibody; Oocyte astacin antibody; Ovastacin antibody
-
宿主:Rabbit
-
反應種屬:Human
-
免疫原:Recombinant Human Astacin-like metalloendopeptidase protein (38-337AA)
-
免疫原種屬:Homo sapiens (Human)
-
標記方式:Non-conjugated
本頁面中的產品,ASTL Antibody (CSB-PA760708LA01HU),的標記方式是Non-conjugated。對于ASTL Antibody,我們還提供其他標記。見下表:
-
克隆類型:Polyclonal
-
抗體亞型:IgG
-
純化方式:>95%, Protein G purified
-
濃度:It differs from different batches. Please contact us to confirm it.
-
保存緩沖液:Preservative: 0.03% Proclin 300
Constituents: 50% Glycerol, 0.01M PBS, PH 7.4 -
產品提供形式:Liquid
-
應用范圍:ELISA, IHC
-
推薦稀釋比:
Application Recommended Dilution IHC 1:20-1:200 -
Protocols:
-
儲存條件:Upon receipt, store at -20°C or -80°C. Avoid repeated freeze.
-
貨期:Basically, we can dispatch the products out in 1-3 working days after receiving your orders. Delivery time maybe differs from different purchasing way or location, please kindly consult your local distributors for specific delivery time.
-
用途:For Research Use Only. Not for use in diagnostic or therapeutic procedures.
相關產品
靶點詳情
-
功能:Oocyte-specific oolemmal receptor involved in sperm and egg adhesion and fertilization. Plays a role in the polyspermy inhibition. Probably acts as a protease for the post-fertilization cleavage of ZP2. Cleaves the sperm-binding ZP2 at the surface of the zona pellucida after fertilization and cortical granule exocytosis, rendering the zona pellucida unable to support further sperm binding.
-
基因功能參考文獻:
- The SAS1B metalloproteinase is proposed as a prototype cancer-oocyte tumor surface neoantigen for development of targeted immunotherapeutics with limited on-target/off tumor effects predicted to be restricted to the population of growing oocytes. PMID: 26327203
- SAS1B protein [ovastacin] shows temporal and spatial restriction to oocytes in several eutherian orders and initiates translation at the primary to secondary follicle transition. PMID: 24038607
- Observational study of gene-disease association. (HuGE Navigator) PMID: 19913121
- Observational study of gene-disease association, gene-environment interaction, and pharmacogenomic / toxicogenomic. (HuGE Navigator) PMID: 20628086
- cloning and characterization; could play in mammals a physiological function similar to that performed by hatching proteases in evolutionary distant species from arthropods to fish PMID: 15087446
顯示更多
收起更多
-
亞細胞定位:Cytoplasm. Cell membrane. Cytoplasmic vesicle, secretory vesicle, Cortical granule.
-
蛋白家族:Peptidase M12A family
-
組織特異性:Expressed in promyelocytic leukemia HL-60 cells, Burkitt's lymphoma Raji cells, and also in some ovarian carcinomas. Not detected in normal tissues.
-
數據庫鏈接:
Most popular with customers
-
-
YWHAB Recombinant Monoclonal Antibody
Applications: ELISA, WB, IHC, IF, FC
Species Reactivity: Human, Mouse, Rat
-
Phospho-YAP1 (S127) Recombinant Monoclonal Antibody
Applications: ELISA, WB, IHC
Species Reactivity: Human
-
-
-
-
-















