ASH2L Antibody
-
中文名稱:ASH2L兔多克隆抗體
-
貨號:CSB-PA883363LA01HU
-
規格:¥440
-
圖片:
-
Western blot
All lanes: Set1/Ash2 histone methyltransferase complex subunit ASH2 antibody at 2μg/ml + K562 whole cell lysate
Secondary
Goat polyclonal to rabbit IgG at 1/10000 dilution
Predicted band size: 69, 57, 61 kDa
Observed band size: 69 kDa -
Western Blot
Positive WB detected in: Mouse brain tissue
All lanes: ASH2L antibody at 3μg/ml
Secondary
Goat polyclonal to rabbit IgG at 1/50000 dilution
Predicted band size: 69, 57, 61 kDa
Observed band size: 69 kDa -
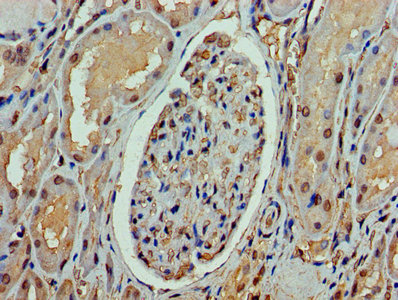
Immunohistochemistry of paraffin-embedded human kidney tissue using CSB-PA883363LA01HU at dilution of 1:100
-
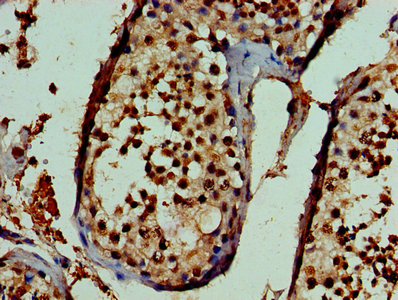
Immunohistochemistry of paraffin-embedded human testis tissue using CSB-PA883363LA01HU at dilution of 1:100
-
Immunofluorescent analysis of Hela cells using CSB-PA883363LA01HU at dilution of 1:100 and Alexa Fluor 488-congugated AffiniPure Goat Anti-Rabbit IgG(H+L)
-
-
其他:
產品詳情
-
產品名稱:Rabbit anti-Homo sapiens (Human) ASH2L Polyclonal antibody
-
Uniprot No.:
-
基因名:ASH2L
-
別名:ASH 2 antibody; Ash2 (absent small or homeotic) like antibody; Ash2 (absent; small; or homeotic) like (Drosophila) antibody; ASH2 antibody; ASH2 LIKE antibody; ASH2 like protein antibody; ASH2-like protein antibody; Ash2l antibody; ASH2L_HUMAN antibody; ASH2L1 antibody; ASH2L2 antibody; Bre 2 antibody; Bre2 antibody; Discs 2-like antibody; Drosophila absent; small; or homeotic antibody; Drosophila ASH2-like antibody; Set1/Ash2 histone methyltransferase complex subunit ASH2 antibody
-
宿主:Rabbit
-
反應種屬:Human, Mouse
-
免疫原:Recombinant Human Set1/Ash2 histone methyltransferase complex subunit ASH2 protein (1-534AA)
-
免疫原種屬:Homo sapiens (Human)
-
標記方式:Non-conjugated
本頁面中的產品,ASH2L Antibody (CSB-PA883363LA01HU),的標記方式是Non-conjugated。對于ASH2L Antibody,我們還提供其他標記。見下表:
-
克隆類型:Polyclonal
-
抗體亞型:IgG
-
純化方式:>95%, Protein G purified
-
濃度:It differs from different batches. Please contact us to confirm it.
-
保存緩沖液:Preservative: 0.03% Proclin 300
Constituents: 50% Glycerol, 0.01M PBS, PH 7.4 -
產品提供形式:Liquid
-
應用范圍:ELISA, WB, IHC, IF
-
推薦稀釋比:
Application Recommended Dilution WB 1:500-1:2000 IHC 1:20-1:200 IF 1:50-1:200 -
Protocols:
-
儲存條件:Upon receipt, store at -20°C or -80°C. Avoid repeated freeze.
-
貨期:Basically, we can dispatch the products out in 1-3 working days after receiving your orders. Delivery time maybe differs from different purchasing way or location, please kindly consult your local distributors for specific delivery time.
-
用途:For Research Use Only. Not for use in diagnostic or therapeutic procedures.
相關產品
靶點詳情
-
功能:Transcriptional regulator. Component or associated component of some histone methyltransferase complexes which regulates transcription through recruitment of those complexes to gene promoters. Component of the Set1/Ash2 histone methyltransferase (HMT) complex, a complex that specifically methylates 'Lys-4' of histone H3, but not if the neighboring 'Lys-9' residue is already methylated. As part of the MLL1/MLL complex it is involved in methylation and dimethylation at 'Lys-4' of histone H3. May play a role in hematopoiesis. In association with RBBP5 and WDR5, stimulates the histone methyltransferase activities of KMT2A, KMT2B, KMT2C, KMT2D, SETD1A and SETD1B.
-
基因功能參考文獻:
- our results suggest that ASH2L contributes to leukemogenesis by cooperating with other proteins that aberrantly upregulate cellular growth and proliferation pathways. PMID: 28185526
- different cancer mutations in MLL1 lead to a loss or increase in activity, illustrating the complex and tumor-specific role of MLL1 in carcinogenesis. PMID: 28182322
- Overall, epigenetic modulation is a promising approach to evaluate the role of chromatin structure for the radioresponsiveness of glioma cell lines. PMID: 28044469
- Data suggest an interplay between megakaryocytic leukemia 1 (MKL1) and ASH2 protein to promote tumor necrosis factor alpha (TNF-alpha) induced proinflammatory transcription in macrophages. PMID: 28218970
- the histone methyltransferase core enzyme ASH2L was bound at EGFR in the germinal matrix and in gliomas where levels of H3K4me3 are high, and the histone acetyltransferase P300 was bound in samples with H3K27ac enrichment PMID: 25996283
- Ash2L acts in concert with P53 promoter occupancy to activate RNA Polymerase II by aiding formation of a stable transcription pre-initiation complex required for its activation. PMID: 25023704
- ASH2L enhances ERalpha expression as a coactivator of GATA3 in breast cancers PMID: 25258321
- Non active site mutations in the MLL1 SET domain render the protein defective for H3K4 dimethylation by the MLL1 core complex, which is associated with a loss of the ability of MLL1 to interact with WRAD or with the RbBP5/Ash2L heterodimer. PMID: 24680668
- H2B dependent regulation of MLL family histone methylatransferases depends on the N-terminal WH motif of ASH2L. PMID: 23453805
- crystal structure of the C-terminal SPRY domain of human Ash2L PMID: 22231628
- The structure shows that Ash2L contains an atypical PHD finger that does not have histone tail-binding activity. PMID: 21660059
- ASH2L binds DNA using a forkhead-like helix-wing-helix (HWH) domain. PMID: 21642971
- NF-Y acts upstream of H3K4me3 deposition by recruiting Ash2L PMID: 21445285
- Protein-arginine methyltransferase 1 (PRMT1) methylates Ash2L, a shared component of mammalian histone H3K4 methyltransferase complexes. PMID: 21285357
- Data suggest that both Ash2L/RbBP5 and the MLL1 SET domain make direct contacts with the substrates and contribute to the formation of a joint catalytic center. PMID: 21124902
- Results show that Depletion of CHD8 enhances HOXA2 expression and a loss of the WDR5/Ash2L/RbBP5 subcomplex. PMID: 20085832
- Ash2l and Saf-A are recruited to the inactive X chromosome at the onset of stable X inactivation. PMID: 20150277
- high dimethylation of histone H3 at lysine 4 expression is rare in hepatocellular carcinoma compared with other carcinomas, possibly due to complex epigenetic regulation involving Ash2 PMID: 19896696
- These findings offer insight into the molecular role of ASH2L, and by extension that of WDR5, in proper H3K4 trimethylation. PMID: 16892064
- Although hASH2 expression at the mRNA level was not deregulated, hASH2 protein expression was increased in most human tumors and tumor cell lines. Knockdown of hASH2 inhibited tumor cell proliferation. These show hASH2 as a novel oncoprotein. PMID: 18245475
- The identified components revealed factors involved in histone methylation and cell cycle control and include Ash2L, RbBP5, WDR5, HCF-1, DBC-1, and EMSY. PMID: 19131338
顯示更多
收起更多
-
亞細胞定位:Nucleus.
-
組織特異性:Ubiquitously expressed. Predominantly expressed in adult heart and testis and fetal lung and liver, with barely detectable expression in adult lung, liver, kidney, prostate, and peripheral leukocytes.
-
數據庫鏈接:
Most popular with customers
-
-
YWHAB Recombinant Monoclonal Antibody
Applications: ELISA, WB, IHC, IF, FC
Species Reactivity: Human, Mouse, Rat
-
Phospho-YAP1 (S127) Recombinant Monoclonal Antibody
Applications: ELISA, WB, IHC
Species Reactivity: Human
-
-
-
-
-















