ASGR1 Antibody
-
中文名稱:ASGR1兔多克隆抗體
-
貨號:CSB-PA186229
-
規格:¥1100
-
圖片:
-
The image on the left is immunohistochemistry of paraffin-embedded Human liver cancer tissue using CSB-PA186229(ASGR1 Antibody) at dilution 1/50, on the right is treated with fusion protein. (Original magnification: ×200)
-
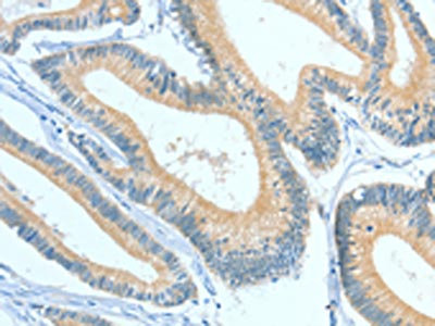
The image on the left is immunohistochemistry of paraffin-embedded Human colon cancer tissue using CSB-PA186229(ASGR1 Antibody) at dilution 1/50, on the right is treated with fusion protein. (Original magnification: ×200)
-
Gel: 8%SDS-PAGE, Lysate: 50 μg, Lane: 231 cells, Primary antibody: CSB-PA186229(ASGR1 Antibody) at dilution 1/300, Secondary antibody: Goat anti rabbit IgG at 1/8000 dilution, Exposure time: 1 minute
-
-
其他:
產品詳情
-
Uniprot No.:
-
基因名:
-
別名:ASGP-R 1 antibody; ASGPR 1 antibody; ASGPR antibody; ASGPR1 antibody; Asgr1 antibody; ASGR1_HUMAN antibody; Asialoglycoprotein receptor 1 antibody; C type lectin domain family 4 member H1 antibody; C-type lectin domain family 4 member H1 antibody; CLEC4H1 antibody; Hepatic lectin H1 antibody; HL-1 antibody
-
宿主:Rabbit
-
反應種屬:Human
-
免疫原:Fusion protein of Human ASGR1
-
免疫原種屬:Homo sapiens (Human)
-
標記方式:Non-conjugated
-
抗體亞型:IgG
-
純化方式:Antigen affinity purification
-
濃度:It differs from different batches. Please contact us to confirm it.
-
保存緩沖液:-20°C, pH7.4 PBS, 0.05% NaN3, 40% Glycerol
-
產品提供形式:Liquid
-
應用范圍:ELISA,WB,IHC
-
推薦稀釋比:
Application Recommended Dilution ELISA 1:1000-1:5000 WB 1:200-1:1000 IHC 1:50-1:200 -
Protocols:
-
儲存條件:Upon receipt, store at -20°C or -80°C. Avoid repeated freeze.
-
貨期:Basically, we can dispatch the products out in 1-3 working days after receiving your orders. Delivery time maybe differs from different purchasing way or location, please kindly consult your local distributors for specific delivery time.
-
用途:For Research Use Only. Not for use in diagnostic or therapeutic procedures.
相關產品
靶點詳情
-
功能:Mediates the endocytosis of plasma glycoproteins to which the terminal sialic acid residue on their complex carbohydrate moieties has been removed. The receptor recognizes terminal galactose and N-acetylgalactosamine units. After ligand binding to the receptor, the resulting complex is internalized and transported to a sorting organelle, where receptor and ligand are disassociated. The receptor then returns to the cell membrane surface.
-
基因功能參考文獻:
- Authors report the generation of a human embryonic stem cell line WAe001-A-6 harbouring homozygous ASGR1 mutations using CRISPR/Cas9. The mutation involves a 37bp deletion, resulting in a frame shift. PMID: 28952928
- PEGylated lipoplexes were well tolerated by both HEK293 (ASGP-R-negative) and HepG2 (ASGP-R-positive) cell lines and delivered DNA to the hepatoma cell line HepG2 by ASGP-R mediation at levels three-fold greater than nonPEGylated lipoplexes. PMID: 28063265
- findings show that the hepatitis E virus (HEV) ORF2 protein interacts directly with the ectodomain of both ASGR1 and ASGR2; ASGPR is involved in and facilitates HEV infection by binding to ORF2 PMID: 27155063
- ASGR1 can inhibit the activity of V-ATPase by interacting with LASS2, thereby suppressing the metastatic potential of hepatoma cells. PMID: 27241665
- This review will focus on the mechanisms of platelet senescence with specific emphasis on the role of post-translational modifications in platelet life-span and thrombopoietin production downstream of the hepatic Ashwell-Morrell receptor, originally termed asialoglycoprotein receptor (ASGPR). PMID: 27207430
- ASGR1 haploinsufficiency was associated with reduced levels of non-HDL cholesterol and a reduced risk of coronary artery disease. PMID: 27192541
- Flow cytometric assessment of ASGPR expression may be a useful predictor of liver dysfunction following major hepatectomy for HCC in Chinese patients. PMID: 25404440
- Anti-ASGPR antibody could be used for specific and efficient HCC CTC enrichment, and anti-P-CK combined with anti-CPS1 antibodies is superior to identification with one antibody alone in the sensitivity for HCC CTC detection. PMID: 24763545
- Endocytic AMR controls TPO expression through Janus kinase 2 (JAK2) and the acute phase response signal transducer and activator of transcription 3 (STAT3) in vivo and in vitro PMID: 25485912
- Anti-ASGPR levels correlate with biochemical parameters and with the severity and manifestation autoimmune processes in patients with autoimmune hepatitis. PMID: 24933948
- The examined ASGPR1 expression levels by immunohistochemistry in HCC with different grades. Guidance for a targeting delivery strategy for anti-cancer drugs to HCC is suggested in this report. PMID: 23979840
- the distribution of ASGR in human testis, was investigated. PMID: 23604802
- the cooperative binding mode of Ca(2+) makes it possible for ASGP-R to be more sensitive to Ca(2+) concentrations in early endosomes, and plays an important role in the efficient release of ligand from ASGP-R PMID: 22613667
- Constant sH2a levels suggest constitutive secretion from hepatocytes in healthy individuals; therefore, a decrease with cirrhosis suggests a diagnostic potential. PMID: 22219600
- found that the asialoglycoprotein receptor (ASGPR) is involved in hepatocyte recognition of cells predestined for killing, including activated autologous T lymphocytes PMID: 21656538
- Asialoglycoprotein receptor (ASGPR) interacted specifically and directly with the preS1 domain of HBV in vivo and in vitro. PMID: 21207081
- Two naturally occurring ASGPR1 splice variants are produced in human hepatocytes. PMID: 20886072
- our findings suggest that both fibronectin and ASGPR mediate HBsAg binding to the cell surface, which provides further evidence for the potential roles of these two proteins in mediating HBV binding to liver cells. PMID: 20364278
- The minor subunit splice variants, H2b and H2c, of the human asialoglycoprotein receptor are present with the major subunit H1 in different hetero-oligomeric receptor complexes PMID: 11943787
- primary renal proximal tubular epithelial cells have a functional ASGPR, consisting of the H1 and H2 subunits, that is capable of specific ligand binding and uptake PMID: 12119473
- Phosphorylation-dependent interaction with molecular chaperones PMID: 12167617
- the effects of palmitoylation on ASGP-R activity and function PMID: 12359251
- the spacing of a Cys residue relative to the TMD in the primary protein sequence of H1 is the major determinant for successful palmitoylation PMID: 12370180
- Exposure of beta-galactose results in the rapid clearance of platelets from the circulation by asialoglycoprotein receptor-expressing liver macrophages and hepatocytes. PMID: 19520807
顯示更多
收起更多
-
亞細胞定位:[Isoform H1a]: Membrane; Single-pass type II membrane protein.; [Isoform H1b]: Secreted.
-
組織特異性:Expressed exclusively in hepatic parenchymal cells.
-
數據庫鏈接:
Most popular with customers
-
-
YWHAB Recombinant Monoclonal Antibody
Applications: ELISA, WB, IHC, IF, FC
Species Reactivity: Human, Mouse, Rat
-
Phospho-YAP1 (S127) Recombinant Monoclonal Antibody
Applications: ELISA, WB, IHC
Species Reactivity: Human
-
-
-
-
-















