ASF1A Antibody
-
中文名稱:ASF1A兔多克隆抗體
-
貨號:CSB-PA896689ESR1HU
-
規格:¥440
-
圖片:
-
Western blot
All lanes: ASF1A antibody at 2µg/ml + Jurkat whole cell lysate
Secondary
Goat polyclonal to rabbit IgG at 1/10000 dilution
Predicted band size: 23 kDa
Observed band size: 23 kDa -
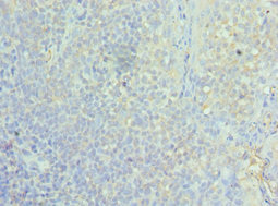
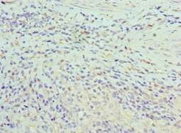
Immunohistochemistry of paraffin-embedded human tonsil tissue using CSB-PA896689ESR1HU at dilution of 1:100
-
Immunohistochemistry of paraffin-embedded human colon tissue using CSB-PA896689ESR1HU at dilution of 1:100
-
Immunohistochemistry of paraffin-embedded human epityphlon tissue using CSB-PA896689ESR1HU at dilution of 1:100
-
-
其他:
產品詳情
-
產品名稱:Rabbit anti-Homo sapiens (Human) ASF1A Polyclonal antibody
-
Uniprot No.:
-
基因名:ASF1A
-
別名:Anti silencing function 1A antibody; Anti-silencing function protein 1 homolog A antibody; ASF1 anti silencing function 1 homolog A (S. cerevisiae) antibody; ASF1 anti silencing function 1 homolog A antibody; asf1a antibody; ASF1A_HUMAN antibody; CCG1 interacting factor A antibody; CCG1-interacting factor A antibody; CGI 98 antibody; CIA antibody; hAsf1 antibody; hAsf1a antibody; hCIA antibody; Histone chaperone ASF1A antibody; HSPC146 antibody
-
宿主:Rabbit
-
反應種屬:Human
-
免疫原:Recombinant Human Histone chaperone ASF1A protein (1-204AA)
-
免疫原種屬:Homo sapiens (Human)
-
標記方式:Non-conjugated
-
克隆類型:Polyclonal
-
抗體亞型:IgG
-
純化方式:Antigen Affinity Purified
-
濃度:It differs from different batches. Please contact us to confirm it.
-
保存緩沖液:PBS with 0.02% sodium azide, 50% glycerol, pH7.3.
-
產品提供形式:Liquid
-
應用范圍:ELISA, WB, IHC
-
推薦稀釋比:
Application Recommended Dilution WB 1:200-1:1000 IHC 1:20-1:200 -
Protocols:
-
儲存條件:Upon receipt, store at -20°C or -80°C. Avoid repeated freeze.
-
貨期:Basically, we can dispatch the products out in 1-3 working days after receiving your orders. Delivery time maybe differs from different purchasing way or location, please kindly consult your local distributors for specific delivery time.
-
用途:For Research Use Only. Not for use in diagnostic or therapeutic procedures.
相關產品
靶點詳情
-
功能:Histone chaperone that facilitates histone deposition and histone exchange and removal during nucleosome assembly and disassembly. Cooperates with chromatin assembly factor 1 (CAF-1) to promote replication-dependent chromatin assembly and with HIRA to promote replication-independent chromatin assembly. Required for the formation of senescence-associated heterochromatin foci (SAHF) and efficient senescence-associated cell cycle exit.
-
基因功能參考文獻:
- ASF1A is aberrantly over-expressed in GIC tumors and plays key roles in GIC development and progression by stimulating the transcription of beta-catenin target genes. PMID: 28625518
- ASF1a promotes non-homologous end joining repair by facilitating phosphorylation of MDC1 by ATM at double-strand breaks. PMID: 28943310
- Data show that the ubiquitin-conjugating enzyme E2 RAD6A/B-MDM2 ubiquitin ligase machinery regulates anti-silencing function 1A protein (ASF1A) degradation. PMID: 26336826
- quaternary complex of histone H3-H4 heterodimer with chaperone ASF1 and the replicative helicase subunit MCM2 PMID: 26186914
- Thermodynamic analysis of the quaternary complex together with structural modeling support that ASF1 and MCM2 could form a chaperoning module for histones H3 and H4 protecting them from promiscuous interactions. PMID: 25618846
- Data indicate Tousled-like kinases (TLK1) phosphorylation has an impact on cell cycle proteins Asf1a and Asf1b function. PMID: 24598821
- findings show that ASF1A, a histone-remodeling chaperone specifically enriched in the metaphase II oocyte, is necessary for reprogramming of adult dermal fibroblasts into undifferentiated induced pluripotent stem cell PMID: 25035411
- The ATR checkpoint pathway causes a histone chaperone normally associated with the replication fork, ASF1a, to degrade through a CRL1(betaTRCP)-dependent ubiquitination/proteasome pathway, leading to the localized dechromatinization and gene repression. PMID: 24700029
- Co-depletion of the histone chaperones ASF1a and ASF1b in human cells induces all hallmarks of alternative lengthening of telomeres in both primary and cancer cells. PMID: 24413054
- Asf1a plays a role in regulating IE genes by assembling chromatin onto histone-free viral DNA by 3 h postinfection with herpes simplex virus 1 PMID: 22951827
- The authors propose that Codanin-1 acts as a negative regulator of Asf1 function in chromatin assembly. PMID: 22407294
- Low ASF1A is associated with familial longevity. PMID: 22247756
- HIRA plays a unique, ASF1a-independent role, which is required for the localization of HP1 PMID: 21347226
- Identify marks on histones H3-H4 bound to Asf1 and changes induced upon replication stress. PMID: 20227376
- model is proposed in which the synergism between hAsf1 and CAF-1 for nucleosome formation during DNA repair is achieved through a transient physical interaction allowing histone delivery from Asf1 to CAF-1 PMID: 11897662
- NMR structure of the conserved core of hAsf1 A PMID: 15213445
- Data suggest that Asf1 provides cells with a buffering system for histone excess generated in response to stalled replication and explains how cells maintain an "active" histone pool available during recovery from replication stresses. PMID: 15664198
- Evidence of binding between a histone and one of its chaperones and genetic data suggesting that this interaction is important in both the DNA damage response and transcriptional silencing. PMID: 15840725
- The N- and C-terminal regions of ASF1a and ASF1b determine the different affinities of these two proteins for HIRA, by contacting regions outside the HIRA B domain. CAF-1 p60 also uses B domain-like motifs for binding to ASF1a. PMID: 16980972
- Studies provide evidence for TLK1B-mediated phosphorylation of Asf1 triggering DNA repair. PMID: 17054786
- The structure of the conserved domain of human ASF1A in complex with the C-terminal helix of histone H3 using nuclear magnetic resonance spectroscopy was solved. PMID: 17292837
- the crystal structure, at 2.7 A resolution, of CIA-I in complex with histones H3 and H4 PMID: 17293877
- the expression of human ASF1A and ASF1B are upregulated followed by cell proliferation signal, but that of ASF1B is uniquely regulated by transcription factors E2F during cell cycle progression PMID: 17328667
- data link Asf1 chaperone function, histone supply, and replicative unwinding of DNA in chromatin; proposed that Asf1, as a histone acceptor and donor, handles parental and new histones at the replication fork via an Asf1-(H3-H4)-MCM2-7 intermediate PMID: 18096807
- ASF1A and ASF1B play a role in the efficiency of nucleosome assembly in vivo in human cells. PMID: 18378699
- IE63 of VZV preferentially bound to ASF1a, and the amino-terminal 30 amino acids of ASF1a were critical for its interaction with IE63. PMID: 18971269
- Hpc2-related domain of UBN1, UBN2, and Hpc2p is an evolutionarily conserved HIRA/Hir-binding domain, which directly interacts with the N-terminal WD repeats of HIRA/Hir. PMID: 19029251
顯示更多
收起更多
-
亞細胞定位:Nucleus.
-
蛋白家族:ASF1 family
-
組織特異性:Ubiquitously expressed.
-
數據庫鏈接:
Most popular with customers
-
-
Phospho-YAP1 (S127) Recombinant Monoclonal Antibody
Applications: ELISA, WB, IHC
Species Reactivity: Human
-
-
-
-
-
-















