ASCC3 Antibody
-
中文名稱:ASCC3兔多克隆抗體
-
貨號:CSB-PA002198ESR1HU
-
規格:¥440
-
圖片:
-
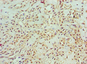
Immunohistochemistry of paraffin-embedded human breast cancer using CSB-PA002198ESR1HU at dilution of 1:100
-
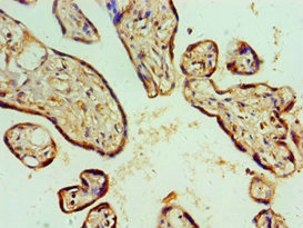
Immunohistochemistry of paraffin-embedded human placenta tissue using CSB-PA002198ESR1HU at dilution of 1:100
-
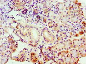
Immunohistochemistry of paraffin-embedded human pancreatic tissue using CSB-PA002198ESR1HU at dilution of 1:100
-
-
其他:
產品詳情
-
產品名稱:Rabbit anti-Homo sapiens (Human) ASCC3 Polyclonal antibody
-
Uniprot No.:
-
基因名:ASCC3
-
別名:Activating signal cointegrator 1 complex subunit 3 antibody; ASC-1 complex subunit p200 antibody; ASC-1 complex subunit p200-KD subunit antibody; ASC1p200 antibody; ascc3 antibody; ATP binding 1 antibody; B630009I04Rik antibody; dJ121G13.4 antibody; DJ467N11.1 antibody; HELC1_HUMAN antibody; HELIC1 antibody; Helicase antibody; helicase; ATP binding 1 antibody; p200 antibody; RNA helicase family antibody; RNAH antibody; RP1-121G13.4 antibody; Trip4 complex subunit p200 antibody
-
宿主:Rabbit
-
反應種屬:Human
-
免疫原:Recombinant Human Activating signal cointegrator 1 complex subunit 3 protein (1-111AA)
-
免疫原種屬:Homo sapiens (Human)
-
標記方式:Non-conjugated
-
克隆類型:Polyclonal
-
抗體亞型:IgG
-
純化方式:Antigen Affinity Purified
-
濃度:It differs from different batches. Please contact us to confirm it.
-
保存緩沖液:PBS with 0.02% sodium azide, 50% glycerol, pH7.3.
-
產品提供形式:Liquid
-
應用范圍:ELISA, IHC
-
推薦稀釋比:
Application Recommended Dilution IHC 1:20-1:200 -
Protocols:
-
儲存條件:Upon receipt, store at -20°C or -80°C. Avoid repeated freeze.
-
貨期:Basically, we can dispatch the products out in 1-3 working days after receiving your orders. Delivery time maybe differs from different purchasing way or location, please kindly consult your local distributors for specific delivery time.
-
用途:For Research Use Only. Not for use in diagnostic or therapeutic procedures.
相關產品
靶點詳情
-
功能:3'-5' DNA helicase involved in repair of alkylated DNA. Promotes DNA unwinding to generate single-stranded substrate needed for ALKBH3, enabling ALKBH3 to process alkylated N3-methylcytosine (3mC) within double-stranded regions. Also involved in activation of the ribosome quality control (RQC) pathway, a pathway that degrades nascent peptide chains during problematic translation. Drives the splitting of stalled ribosomes, as part of the ribosome quality control trigger (RQT) complex. Part of the ASC-1 complex that enhances NF-kappa-B, SRF and AP1 transactivation.
-
基因功能參考文獻:
- UV exposure results in spatial restriction of transcription and slower elongation, with the result that only the promoter-proximal 20-25 kb are efficiently transcribed; these events underlie a switch to expression of short mRNA isoforms and preferential use of alternative last exons in a number of genes, including ASCC3. PMID: 28215706
- ASCC3 Gene Polymorphism was associated with Chronic Hepatitis B. PMID: 26536629
- Silencing of ASCC3 resulted in upregulation of multiple antiviral interferon-stimulated genes, which correlated with inhibition of infection of several positive-strand RNA viruses. PMID: 23781071
- DNA unwinding by ASCC3 helicase is coupled to ALKBH3-dependent DNA alkylation repair and cancer cell proliferation. PMID: 22055184
-
亞細胞定位:Nucleus. Nucleus speckle. Cytoplasm, cytosol.
-
蛋白家族:Helicase family
-
組織特異性:Ubiquitous.
-
數據庫鏈接:
Most popular with customers
-
-
YWHAB Recombinant Monoclonal Antibody
Applications: ELISA, WB, IHC, IF, FC
Species Reactivity: Human, Mouse, Rat
-
Phospho-YAP1 (S127) Recombinant Monoclonal Antibody
Applications: ELISA, WB, IHC
Species Reactivity: Human
-
-
-
-
-















