ASAH1 Antibody
-
中文名稱:ASAH1兔多克隆抗體
-
貨號:CSB-PA619774ESR1HU
-
規格:¥440
-
圖片:
-
Western blot
All lanes: Acid ceramidase antibody at 6μg/ml + Mouse heart tissue
Secondary
Goat polyclonal to rabbit IgG at 1/10000 dilution
Predicted band size: 45, 47 kDa
Observed band size: 45 kDa -
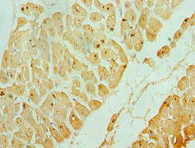
Immunohistochemistry of paraffin-embedded human heart tissue using CSB-PA619774ESR1HU at dilution of 1:100
-
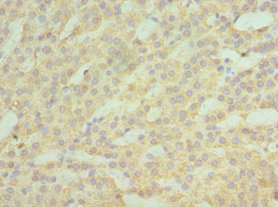
Immunohistochemistry of paraffin-embedded human kidney tissue using CSB-PA619774ESR1HU at dilution of 1:100
-
-
其他:
產品詳情
-
產品名稱:Rabbit anti-Homo sapiens (Human) ASAH1 Polyclonal antibody
-
Uniprot No.:
-
基因名:
-
別名:AC antibody; ACDase antibody; Acid CDase antibody; Acid ceramidase antibody; Acid ceramidase precursor antibody; Acid ceramidase subunit beta antibody; Acylsphingosine deacylase antibody; ASAH 1 antibody; ASAH antibody; ASAH1 antibody; ASAH1_HUMAN antibody; FLJ21558 antibody; FLJ22079 antibody; N acylsphingosine amidohydrolase (acid ceramidase) 1 antibody; N acylsphingosine amidohydrolase 1 antibody; N acylsphingosine amidohydrolase antibody; N-acylsphingosine amidohydrolase antibody; N-acylsphingosine deacylase antibody; PHP antibody; PHP32 antibody; Putative 32 kDa heart protein antibody; SMAPME antibody
-
宿主:Rabbit
-
反應種屬:Human, Mouse
-
免疫原:Recombinant Human Acid ceramidase protein (146-395AA)
-
免疫原種屬:Homo sapiens (Human)
-
標記方式:Non-conjugated
-
克隆類型:Polyclonal
-
抗體亞型:IgG
-
純化方式:Antigen Affinity Purified
-
濃度:It differs from different batches. Please contact us to confirm it.
-
保存緩沖液:PBS with 0.02% sodium azide, 50% glycerol, pH7.3.
-
產品提供形式:Liquid
-
應用范圍:ELISA, WB, IHC
-
推薦稀釋比:
Application Recommended Dilution WB 1:500-1:5000 IHC 1:20-1:200 -
Protocols:
-
儲存條件:Upon receipt, store at -20°C or -80°C. Avoid repeated freeze.
-
貨期:Basically, we can dispatch the products out in 1-3 working days after receiving your orders. Delivery time maybe differs from different purchasing way or location, please kindly consult your local distributors for specific delivery time.
-
用途:For Research Use Only. Not for use in diagnostic or therapeutic procedures.
相關產品
靶點詳情
-
功能:Lysosomal ceramidase that hydrolyzes sphingolipid ceramides into sphingosine and free fatty acids at acidic pH. Ceramides, sphingosine, and its phosphorylated form sphingosine-1-phosphate are bioactive lipids that mediate cellular signaling pathways regulating several biological processes including cell proliferation, apoptosis and differentiation. Has a higher catalytic efficiency towards C12-ceramides versus other ceramides. Also catalyzes the reverse reaction allowing the synthesis of ceramides from fatty acids and sphingosine. For the reverse synthetic reaction, the natural sphingosine D-erythro isomer is more efficiently utilized as a substrate compared to D-erythro-dihydrosphingosine and D-erythro-phytosphingosine, while the fatty acids with chain lengths of 12 or 14 carbons are the most efficiently used. Has also an N-acylethanolamine hydrolase activity. By regulating the levels of ceramides, sphingosine and sphingosine-1-phosphate in the epidermis, mediates the calcium-induced differentiation of epidermal keratinocytes. Also indirectly regulates tumor necrosis factor/TNF-induced apoptosis. By regulating the intracellular balance between ceramides and sphingosine, in adrenocortical cells, probably also acts as a regulator of steroidogenesis.; May directly regulate steroidogenesis by binding the nuclear receptor NR5A1 and negatively regulating its transcriptional activity.
-
基因功能參考文獻:
- Acid ceramidase plays a critical role in acute myeloid leukemia cell survival via regulation of both sphingolipid levels and Mcl-1. PMID: 27825124
- Collectively, our data show the novel discovery of anti-inflammatory and anti-apoptotic effects of acid ceramidase in host cells exposed to periodontal bacteria, and the attenuation of the expression of host-protective acid ceramidase in periodontal lesions. PMID: 29278706
- we describe an individual with a sporadic atypical spinal muscular atrophy, in whom clinical DNA sequencing reported one pathogenic ASAH1 mutation .Transcriptome sequencing on patient leukocytes identified a highly significant and atypical ASAH1 isoform not explained by c.458A>G(p<10(-16) ). PMID: 28251733
- ASAH1 variant Leu401Pro co-segregates with keloid phenotype in a large Yoruba family. PMID: 28905881
- We report an atypical presentation of Farber disease with her pathology and associated genetic defect. This case expands the phenotypic spectrum of Farber disease to include novel mutations of ASAH1, which pose a diagnostic challenge. PMID: 27411168
- This study describes for the first time the association between ASAH1 variants and an adult SMA phenotype with no myoclonic epilepsy nor death in early age, thus expanding the phenotypic spectrum of ASAH1-related SMA. PMID: 27026573
- Our findings indicate that hypomorphic mutations in ASAH1 may result in an osteoarticular phenotype with a juvenile phase resembling rheumatoid arthritis that evolves to osteolysis as the final stage in the absence of neurologic signs. This observation delineates a novel type of recessively inherited peripheral osteolysis and illustrates the long-term skeletal manifestations of acid ceramidase deficiency (Farber's disease PMID: 26945816
- The present report describes a 9-year-old girl with novel clinical phenotype of a patient with polyarticular arthritis followed by symptoms of SMA due to acid ceramidase deficiency. Whole exome sequencing identified compound heterozygous pathogenic mutation in the N-acylsphingosine amidohydrolase 1 gene. PMID: 27650050
- Data suggest up-regulation of ASAH1 activity by androgen in androgen-sensitive prostate cancer cells (not other cancer cells) is due to prolonged stability of ASAH1 by androgen-stimulated induction of USP2 (ubiquitin specific peptidase 2) expression. PMID: 25888580
- AC-controlled sphingolipid metabolism may play an important role in the control of melanoma proliferation PMID: 26553872
- Genetic or pharmacological acid ceramidase inhibition promotes cisplatin cytotoxicity in head and neck tumor cells. PMID: 26687835
- high ASAH1 expression is generally associated with an improved prognosis in invasive breast cancer independent of adjuvant treatment and could also be valuable as prognostic factor for pre-invasive DCIS. PMID: 25131496
- novel ASAH1 mutations affecting polypyrimidine tract deletion, and exon skipping and resulting in Farber lipogranulomatosis PMID: 24355074
- Acid ceramidase promotes nuclear export of PTEN through sphingosine 1-phosphate mediated Akt signaling. PMID: 24098536
- This work unravels for the first time the mutations underlying the neonatal form of Farber disease and represents the first report of a large deletion identified in the ASAH1 gene. PMID: 23707712
- Immunohistochemical analysis of human prostate cancer tissues revealed higher levels of ASAH1 after radiotherapy failure. PMID: 24091326
- These observations confirm ASAH1 as a therapeutic target in advanced and chemoresistant forms of prostate cancer PMID: 23423838
- Acid ceramidase is a prognostic factor in epithelial ovarian cancer PMID: 23518908
- results demonstrate that ASAH1 is a novel coregulatory protein that represses SF-1 function by directly binding to the receptor on SF-1 target gene promoters and identify a key role for nuclear lipid metabolism in regulating gene transcription PMID: 22927646
- Acid ceramidase, through sphingosine 1-phosphate, promotes an invasive phenotype in prostate cancer by causing overexpression and secretion of cathepsin B through activation and nuclear expression of Ets1. PMID: 22322590
- ASAH1 inhibition synergistically sensitizes lung cancer cells resistant to the antiproliferative effect of choline kinase alpha inhibitors. PMID: 22515519
- Our results reveal a wide phenotypic spectrum associated with ASAH1 mutations in spinal muscular atrophy associated with progressive myoclonal epilepsy. PMID: 22703880
- A report of two siblings with Farber disease who carry a novel V97G ASAH1 mutation with the parents and a sister being asymptomatic carriers. PMID: 21893389
- ASAH1 as a pivotal regulator of steroidogenic capacity in the human adrenal cortex. PMID: 22261821
- down-regulation of aCDase alone or in combination with DTIC may represent a useful tool in the treatment of metastatic melanoma. PMID: 21700700
- This study supports that the ASAH1 gene may be a potential candidate gene for schizophrenia in Han Chinese subjects. PMID: 21375364
- the level of AC did not correlate with the sensitivity of HNSCC cells to Fas-induced apoptosis. PMID: 21504271
- Identification of cystatin SA as a novel inhibitor of acid ceramidase. PMID: 21846728
- a mechanism through which genistein promotes sphingolipid metabolism and support a role for ASAH1 in breast cancer cell growth. PMID: 21493710
- cells deficient in acid ceramidase (aCDase) also exhibited defects in CCL5 induction, whereas cells deficient in sphingosine kinase-1 and -2 exhibited higher levels of CCL5. PMID: 21335555
- Acid ceramidase (aCDase) is responsible for ceramide degradation within mammalian cells. An inherited deficiency of aCDase activity results in Farber disease. PMID: 20871013
- Both acidic ceramidase (aCDase) and neutral ceramidase (nCDase) activities declined after low- and high-UVB, but returned to normal only in low-UVB cells PMID: 20520628
- high ASAH1 expression correlates with grading & estrogen receptor (ER) status in breast cancer; high ASAH1 expression was associated with larger tumor size; a better prognosis of patients with higher ASAH1 expression in ER-positive subgroup was detected PMID: 19905902
- acid ceramidase has a central role in sphingolipid metabolism PMID: 12764132
- biochemistry of acid ceramidase reaction with acid sphingomyelinase PMID: 12815059
- p53-dependent expression of acid ceramidase and blockage of A-SMase activation play pivotal roles in protection from gamma-radiation of cells with endogenous functional p53. PMID: 15088070
- These results provide the first characterization of the Acid Ceremidase promoter from any species and demonstrate that Kruppel-like factor 6 (KLF6) is one transcription factor involved in the regulation of AC gene expression. PMID: 16500425
- upregulation of haCER1 and AC mediates the Ca2+(o)-induced growth arrest and differentiation of keratinocytes by generating sphingosine and its phosphate PMID: 17713573
- AC is a critical regulator of prostate cancer progression by affecting not only tumor cell proliferation and migration but also responses to drug therapy PMID: 17881906
- Positive selection is possibly operating on ASAH1 in the modern human population. PMID: 18245333
- acid ceramidase was constitutively overexpressed in leukemic LGLs and its inhibition induced apoptosis of leukemic LGLs PMID: 18477771
- These data identify the ACTH/cAMP signaling pathway and CREB as transcriptional regulators of the ASAH1 gene in the human adrenal cortex. PMID: 19298866
顯示更多
收起更多
-
相關疾病:Farber lipogranulomatosis (FRBRL); Spinal muscular atrophy with progressive myoclonic epilepsy (SMAPME)
-
亞細胞定位:Lysosome. Secreted.; [Isoform 2]: Nucleus. Cytoplasm.
-
蛋白家族:Acid ceramidase family
-
組織特異性:Broadly expressed with higher expression in heart.
-
數據庫鏈接:
Most popular with customers
-
-
YWHAB Recombinant Monoclonal Antibody
Applications: ELISA, WB, IHC, IF, FC
Species Reactivity: Human, Mouse, Rat
-
Phospho-YAP1 (S127) Recombinant Monoclonal Antibody
Applications: ELISA, WB, IHC
Species Reactivity: Human
-
-
-
-
-















