ARPC4 Antibody
-
中文名稱:ARPC4兔多克隆抗體
-
貨號:CSB-PA698728
-
規格:¥1100
-
圖片:
-
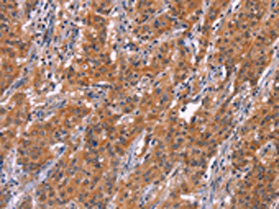
The image on the left is immunohistochemistry of paraffin-embedded Human thyroid cancer tissue using CSB-PA698728(ARPC4 Antibody) at dilution 1/15, on the right is treated with synthetic peptide. (Original magnification: ×200)
-
The image on the left is immunohistochemistry of paraffin-embedded Human gastric cancer tissue using CSB-PA698728(ARPC4 Antibody) at dilution 1/15, on the right is treated with synthetic peptide. (Original magnification: ×200)
-
-
其他:
產品詳情
-
Uniprot No.:
-
基因名:
-
別名:Actin related protein 2/3 complex subunit 4 antibody; Actin related protein 2/3 complex subunit 4 20 kD antibody; Actin related protein 2/3 complex subunit 4 20kDa antibody; Actin related protein 2/3 complex; 20-KD subunit antibody; Actin-related protein 2/3 complex subunit 4 antibody; ARC20 antibody; Arp2/3 complex 20 kDa subunit antibody; Arp2/3 protein complex subunit p20 antibody; ARPC 4 antibody; ARPC4 antibody; ARPC4_HUMAN antibody; MGC13544 antibody; OTTHUMP00000165252 antibody; OTTHUMP00000207520 antibody; p20 Arc antibody; p20-ARC antibody; p20ARC antibody
-
宿主:Rabbit
-
反應種屬:Human,Mouse
-
免疫原:Synthetic peptide of Human ARPC4
-
免疫原種屬:Homo sapiens (Human)
-
標記方式:Non-conjugated
-
抗體亞型:IgG
-
純化方式:Antigen affinity purification
-
濃度:It differs from different batches. Please contact us to confirm it.
-
保存緩沖液:-20°C, pH7.4 PBS, 0.05% NaN3, 40% Glycerol
-
產品提供形式:Liquid
-
應用范圍:ELISA,IHC
-
推薦稀釋比:
Application Recommended Dilution ELISA 1:1000-1:2000 IHC 1:25-1:100 -
Protocols:
-
儲存條件:Upon receipt, store at -20°C or -80°C. Avoid repeated freeze.
-
貨期:Basically, we can dispatch the products out in 1-3 working days after receiving your orders. Delivery time maybe differs from different purchasing way or location, please kindly consult your local distributors for specific delivery time.
-
用途:For Research Use Only. Not for use in diagnostic or therapeutic procedures.
相關產品
靶點詳情
-
功能:Actin-binding component of the Arp2/3 complex, a multiprotein complex that mediates actin polymerization upon stimulation by nucleation-promoting factor (NPF). The Arp2/3 complex mediates the formation of branched actin networks in the cytoplasm, providing the force for cell motility. In addition to its role in the cytoplasmic cytoskeleton, the Arp2/3 complex also promotes actin polymerization in the nucleus, thereby regulating gene transcription and repair of damaged DNA. The Arp2/3 complex promotes homologous recombination (HR) repair in response to DNA damage by promoting nuclear actin polymerization, leading to drive motility of double-strand breaks (DSBs).
-
基因功能參考文獻:
- Expression of the ARPC4 severely affects mycobacterium tuberculosis growth and suppresses immunogenic response in murine macrophages PMID: 23894563
- we show cell line-specific differences in ARP2/3 complex subunit dependency on cell migratory potential, and suggest ARPC4 to be one of the key members of the ARP2/3 complex in pancreatic cancer. PMID: 23267127
- We show that coronin 3 similar to other coronins interacts with the Arp2/3-complex and cofilin indicating that this family in general is involved in regulating Arp2/3-mediated events. PMID: 17274980
-
亞細胞定位:Cytoplasm, cytoskeleton. Cell projection. Nucleus.
-
蛋白家族:ARPC4 family
-
數據庫鏈接:
Most popular with customers
-
-
YWHAB Recombinant Monoclonal Antibody
Applications: ELISA, WB, IHC, IF, FC
Species Reactivity: Human, Mouse, Rat
-
Phospho-YAP1 (S127) Recombinant Monoclonal Antibody
Applications: ELISA, WB, IHC
Species Reactivity: Human
-
-
-
-
-















