ARMT1 Antibody
-
中文名稱:ARMT1兔多克隆抗體
-
貨號:CSB-PA867178LA01HU
-
規格:¥440
-
圖片:
-
Western blot
All lanes: ARMT1 antibody at 0.6µg/ml
Lane 1: MCF-7 whole cell lysate
Lane 2: A431 whole cell lysate
Lane 3: 293T whole cell lysate
Secondary
Goat polyclonal to rabbit IgG at 1/10000 dilution
Predicted band size: 52 kDa
Observed band size: 52 kDa -
Immunohistochemistry of paraffin-embedded human testis tissue using CSB-PA867178LA01HU at dilution of 1:100
-
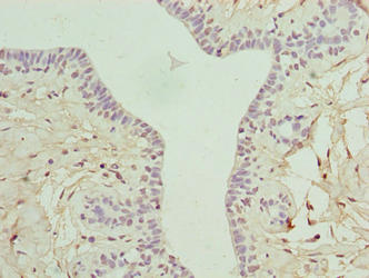
Immunohistochemistry of paraffin-embedded human breast cancer using CSB-PA867178LA01HU at dilution of 1:100
-
Immunohistochemistry of paraffin-embedded human liver cancer using CSB-PA867178LA01HU at dilution of 1:100
-
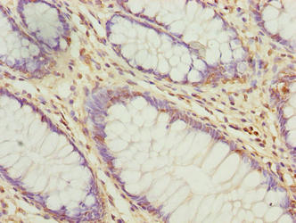
Immunohistochemistry of paraffin-embedded human colon cancer using CSB-PA867178LA01HU at dilution of 1:100
-
-
其他:
產品詳情
-
產品名稱:Rabbit anti-Homo sapiens (Human) ARMT1 Polyclonal antibody
-
Uniprot No.:
-
基因名:ARMT1
-
別名:ARMT1 antibody; C6orf211Damage-control phosphatase ARMT1 antibody; EC 3.1.3.- antibody; Acidic residue methyltransferase 1 antibody; Protein-glutamate O-methyltransferase antibody; EC 2.1.1.- antibody; Sugar phosphate phosphatase ARMT1 antibody
-
宿主:Rabbit
-
反應種屬:Human
-
免疫原:Recombinant Human Protein-glutamate O-methyltransferase protein (2-250AA)
-
免疫原種屬:Homo sapiens (Human)
-
標記方式:Non-conjugated
本頁面中的產品,ARMT1 Antibody (CSB-PA867178LA01HU),的標記方式是Non-conjugated。對于ARMT1 Antibody,我們還提供其他標記。見下表:
-
克隆類型:Polyclonal
-
抗體亞型:IgG
-
純化方式:>95%, Protein G purified
-
濃度:It differs from different batches. Please contact us to confirm it.
-
保存緩沖液:Preservative: 0.03% Proclin 300
Constituents: 50% Glycerol, 0.01M PBS, PH 7.4 -
產品提供形式:Liquid
-
應用范圍:ELISA, WB, IHC
-
推薦稀釋比:
Application Recommended Dilution WB 1:1000-1:5000 IHC 1:20-1:200 -
Protocols:
-
儲存條件:Upon receipt, store at -20°C or -80°C. Avoid repeated freeze.
-
貨期:Basically, we can dispatch the products out in 1-3 working days after receiving your orders. Delivery time maybe differs from different purchasing way or location, please kindly consult your local distributors for specific delivery time.
-
用途:For Research Use Only. Not for use in diagnostic or therapeutic procedures.
相關產品
靶點詳情
-
功能:Metal-dependent phosphatase that shows phosphatase activity against several substrates, including fructose-1-phosphate and fructose-6-phosphate. Its preference for fructose-1-phosphate, a strong glycating agent that causes DNA damage rather than a canonical yeast metabolite, suggests a damage-control function in hexose phosphate metabolism. Has also been shown to have O-methyltransferase activity that methylates glutamate residues of target proteins to form gamma-glutamyl methyl ester residues. Possibly methylates PCNA, suggesting it is involved in the DNA damage response.
-
基因功能參考文獻:
- Studies show that acidic residue methyltransferase 1 (Armt1) has a vital role in regulation of the DNA damage response likely through its ability to O-methylate glutamyl residues of the DNA repair factor proliferating cell nuclear antigen (PCNA). PMID: 26450907
- Armt1 protein specifically targets proliferating cell nuclear antigen (PCNA) in breast cancer cells, predominately methylating glutamate side chains. PMID: 25732820
- C6ORF211 correlates with proliferation and clinical outcome in tumors. PMID: 21552322
-
蛋白家族:ARMT1 family
-
數據庫鏈接:
Most popular with customers
-
-
YWHAB Recombinant Monoclonal Antibody
Applications: ELISA, WB, IHC, IF, FC
Species Reactivity: Human, Mouse, Rat
-
Phospho-YAP1 (S127) Recombinant Monoclonal Antibody
Applications: ELISA, WB, IHC
Species Reactivity: Human
-
-
-
-
-















