ARMCX1 Antibody
-
中文名稱:ARMCX1兔多克隆抗體
-
貨號:CSB-PA257054
-
規格:¥1100
-
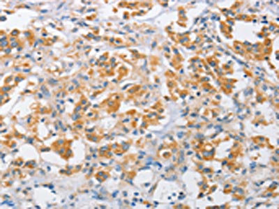
圖片:
-
The image on the left is immunohistochemistry of paraffin-embedded Human liver cancer tissue using CSB-PA257054(ARMCX1 Antibody) at dilution 1/40, on the right is treated with fusion protein. (Original magnification: ×200)
-
The image on the left is immunohistochemistry of paraffin-embedded Human thyroid cancer tissue using CSB-PA257054(ARMCX1 Antibody) at dilution 1/40, on the right is treated with fusion protein. (Original magnification: ×200)
-
-
其他:
產品詳情
-
Uniprot No.:
-
基因名:ARMCX1
-
別名:ARMCX 1 antibody; AD032 antibody; ALEX1 antibody; ARM protein lost in epithelial cancers on chromosome X 1 antibody; Arm protein lost in epithelial cancers X chromosome 1 antibody; Armadillo repeat containing X linked 1 antibody; Armadillo repeat containing X linked protein 1 antibody; Armadillo repeat-containing X-linked protein 1 antibody; ARMCX1 antibody; ARMX1_HUMAN antibody; Protein ALEX1 antibody
-
宿主:Rabbit
-
反應種屬:Human,Mouse,Rat
-
免疫原:Fusion protein of Human ARMCX1
-
免疫原種屬:Homo sapiens (Human)
-
標記方式:Non-conjugated
-
抗體亞型:IgG
-
純化方式:Antigen affinity purification
-
濃度:It differs from different batches. Please contact us to confirm it.
-
保存緩沖液:-20°C, pH7.4 PBS, 0.05% NaN3, 40% Glycerol
-
產品提供形式:Liquid
-
應用范圍:ELISA,IHC
-
推薦稀釋比:
Application Recommended Dilution ELISA 1:1000-1:5000 IHC 1:50-1:200 -
Protocols:
-
儲存條件:Upon receipt, store at -20°C or -80°C. Avoid repeated freeze.
-
貨期:Basically, we can dispatch the products out in 1-3 working days after receiving your orders. Delivery time maybe differs from different purchasing way or location, please kindly consult your local distributors for specific delivery time.
-
用途:For Research Use Only. Not for use in diagnostic or therapeutic procedures.
相關產品
靶點詳情
-
功能:Regulates mitochondrial transport during axon regeneration. Increases the proportion of motile mitochondria by recruiting stationary mitochondria into the motile pool. Enhances mitochondria movement and neurite growth in both adult axons and embryonic neurons. Promotes neuronal survival and axon regeneration after nerve injury. May link mitochondria to the Trak1-kinesin motor complex via its interaction with MIRO1.
-
基因功能參考文獻:
- It is suggested that the ALEX1 protein is associated with tumorigenesis in cervical cancer and we speculate that the ALEX1 may plays a role as an oncogene in cervical cancer. PMID: 26464700
- ALEX1 is a crucial tumor suppressor gene involved in cell proliferation and apoptosis in breast cancer. PMID: 25921134
- Findings suggest that overexpression of ALEX1 (armadillo repeat containing, X-linked [ARMCX]) plays a negative role in colorectal tumorigenesis. PMID: 22494058
- Human Arm protein lost in epithelial cancers, on chromosome X 1 (ALEX1) gene is transcriptionally regulated by CREB and Wnt/beta-catenin signaling. PMID: 20398052
-
亞細胞定位:Mitochondrion. Mitochondrion outer membrane; Single-pass membrane protein.
-
蛋白家族:Eutherian X-chromosome-specific Armcx family
-
組織特異性:Expressed at high levels ovary, heart, testis, prostate, brain, spleen and colon. Expressed at very low levels in liver and thymus. Not expressed in peripheral blood leukocytes. Not or reduced expressed in lung, prostate, colon, pancreas and ovarian carci
-
數據庫鏈接:
Most popular with customers
-
-
YWHAB Recombinant Monoclonal Antibody
Applications: ELISA, WB, IHC, IF, FC
Species Reactivity: Human, Mouse, Rat
-
Phospho-YAP1 (S127) Recombinant Monoclonal Antibody
Applications: ELISA, WB, IHC
Species Reactivity: Human
-
-
-
-
-















