ARL8A Antibody
-
中文名稱:ARL8A兔多克隆抗體
-
貨號:CSB-PA994626
-
規格:¥1100
-
圖片:
-
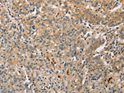
The image on the left is immunohistochemistry of paraffin-embedded Human thyroid cancer tissue using CSB-PA994626(ARL8A Antibody) at dilution 1/20, on the right is treated with fusion protein. (Original magnification: ×200)
-
The image on the left is immunohistochemistry of paraffin-embedded Human gastric cancer tissue using CSB-PA994626(ARL8A Antibody) at dilution 1/20, on the right is treated with fusion protein. (Original magnification: ×200)
-
-
其他:
產品詳情
-
Uniprot No.:
-
基因名:ARL8A
-
別名:ARL8A antibody; ARL10B antibody; GIE2ADP-ribosylation factor-like protein 8A antibody; ADP-ribosylation factor-like protein 10B antibody; Novel small G protein indispensable for equal chromosome segregation 2 antibody
-
宿主:Rabbit
-
反應種屬:Human,Mouse
-
免疫原:Fusion protein of Human ARL8A
-
免疫原種屬:Homo sapiens (Human)
-
標記方式:Non-conjugated
-
抗體亞型:IgG
-
純化方式:Antigen affinity purification
-
濃度:It differs from different batches. Please contact us to confirm it.
-
保存緩沖液:-20°C, pH7.4 PBS, 0.05% NaN3, 40% Glycerol
-
產品提供形式:Liquid
-
應用范圍:ELISA,IHC
-
推薦稀釋比:
Application Recommended Dilution ELISA 1:2000-1:5000 IHC 1:25-1:100 -
Protocols:
-
儲存條件:Upon receipt, store at -20°C or -80°C. Avoid repeated freeze.
-
貨期:Basically, we can dispatch the products out in 1-3 working days after receiving your orders. Delivery time maybe differs from different purchasing way or location, please kindly consult your local distributors for specific delivery time.
-
用途:For Research Use Only. Not for use in diagnostic or therapeutic procedures.
相關產品
靶點詳情
-
功能:Plays a role in lysosome motility. In neurons, mediates the anterograde axonal long-range transport of presynaptic lysosome-related vesicles required for presynaptic biogenesis and synaptic function. May play a role in chromosome segregation.
-
基因功能參考文獻:
- Overexpression of Arl8a or Arl8b results in a microtubule-dependent redistribution of lysosomes towards the cell periphery. Live cell imaging suggested a role for Arl8a and Arl8b as positive regulators of lysosomal transport.[Ar18a] [Ar18b] PMID: 16537643
-
亞細胞定位:Late endosome membrane. Lysosome membrane. Cytoplasm, cytoskeleton, spindle. Cell projection, axon. Cell junction, synapse.
-
蛋白家族:Small GTPase superfamily, Arf family
-
組織特異性:Ubiquitously expressed.
-
數據庫鏈接:
Most popular with customers
-
-
YWHAB Recombinant Monoclonal Antibody
Applications: ELISA, WB, IHC, IF, FC
Species Reactivity: Human, Mouse, Rat
-
Phospho-YAP1 (S127) Recombinant Monoclonal Antibody
Applications: ELISA, WB, IHC
Species Reactivity: Human
-
-
-
-
-















