ARL4A Antibody
-
中文名稱:ARL4A兔多克隆抗體
-
貨號:CSB-PA068193
-
規格:¥1100
-
圖片:
-
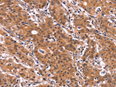
The image on the left is immunohistochemistry of paraffin-embedded Human thyroid cancer tissue using CSB-PA068193(ARL4A Antibody) at dilution 1/60, on the right is treated with fusion protein. (Original magnification: ×200)
-
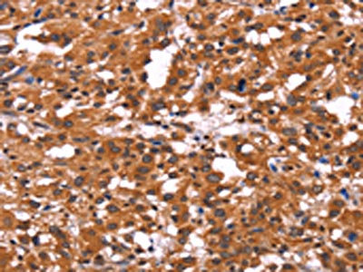
The image on the left is immunohistochemistry of paraffin-embedded Human gastric cancer tissue using CSB-PA068193(ARL4A Antibody) at dilution 1/60, on the right is treated with fusion protein. (Original magnification: ×200)
-
Gel: 10%SDS-PAGE, Lysate: 40 μg, Lane: Human fetal liver tissue, Primary antibody: CSB-PA068193(ARL4A Antibody) at dilution 1/666, Secondary antibody: Goat anti rabbit IgG at 1/8000 dilution, Exposure time: 1 minute
-
-
其他:
產品詳情
-
Uniprot No.:
-
基因名:ARL4A
-
別名:ADP ribosylation factor like 4 antibody; ADP ribosylation factor like 4A antibody; ADP ribosylation factor like GTPase 4A antibody; ADP-ribosylation factor-like protein 4A antibody; ARL 4 antibody; ARL4 antibody; Arl4a antibody; ARL4A_HUMAN antibody
-
宿主:Rabbit
-
反應種屬:Human,Mouse,Rat
-
免疫原:Fusion protein of Human ARL4A
-
免疫原種屬:Homo sapiens (Human)
-
標記方式:Non-conjugated
-
抗體亞型:IgG
-
純化方式:Antigen affinity purification
-
濃度:It differs from different batches. Please contact us to confirm it.
-
保存緩沖液:-20°C, pH7.4 PBS, 0.05% NaN3, 40% Glycerol
-
產品提供形式:Liquid
-
應用范圍:ELISA,WB,IHC
-
推薦稀釋比:
Application Recommended Dilution ELISA 1:2000-1:5000 WB 1:500-1:2000 IHC 1:100-1:300 -
Protocols:
-
儲存條件:Upon receipt, store at -20°C or -80°C. Avoid repeated freeze.
-
貨期:Basically, we can dispatch the products out in 1-3 working days after receiving your orders. Delivery time maybe differs from different purchasing way or location, please kindly consult your local distributors for specific delivery time.
-
用途:For Research Use Only. Not for use in diagnostic or therapeutic procedures.
相關產品
靶點詳情
-
功能:Small GTP-binding protein which cycles between an inactive GDP-bound and an active GTP-bound form, and the rate of cycling is regulated by guanine nucleotide exchange factors (GEF) and GTPase-activating proteins (GAP). GTP-binding protein that does not act as an allosteric activator of the cholera toxin catalytic subunit. Recruits CYTH1, CYTH2, CYTH3 and CYTH4 to the plasma membrane in GDP-bound form.
-
基因功能參考文獻:
- Deletion of the ARL4A-interacting region of GCC185 results in inability to maintain Golgi structure and modulate endosome-to-Golgi transport. PMID: 22159419
- membrane targeting of ELMO via Arl4A promotes cytoskeletal reorganization including membrane ruffling and stress fiber disassembly via an ELMO-DOCK1800-Rac signaling pathway. PMID: 21930703
- The loss of PTEN was shown to lead to increased levels of ARF4L protein but no change in transcript levels. The ARF4L transcript preferentially localized to the polysomal compartment after PTEN loss in glioma. PMID: 18240926
-
亞細胞定位:Cell membrane. Cytoplasm. Nucleus, nucleolus. Note=Localization in the nucleolus is dependent by nucleotide binding.
-
蛋白家族:Small GTPase superfamily, Arf family
-
數據庫鏈接:
Most popular with customers
-
-
YWHAB Recombinant Monoclonal Antibody
Applications: ELISA, WB, IHC, IF, FC
Species Reactivity: Human, Mouse, Rat
-
Phospho-YAP1 (S127) Recombinant Monoclonal Antibody
Applications: ELISA, WB, IHC
Species Reactivity: Human
-
-
-
-
-















