ARHGEF9 Antibody
-
中文名稱:ARHGEF9兔多克隆抗體
-
貨號:CSB-PA364661
-
規格:¥1100
-
圖片:
-
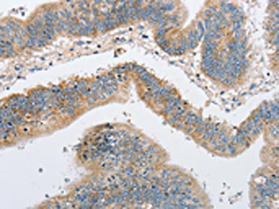
The image on the left is immunohistochemistry of paraffin-embedded Human thyroid cancer tissue using CSB-PA364661(ARHGEF9 Antibody) at dilution 1/50, on the right is treated with fusion protein. (Original magnification: ×200)
-
The image on the left is immunohistochemistry of paraffin-embedded Human colon cancer tissue using CSB-PA364661(ARHGEF9 Antibody) at dilution 1/50, on the right is treated with fusion protein. (Original magnification: ×200)
-
Gel: 8%SDS-PAGE, Lysate: 40 μg, Lane 1-2: Mouse heart tissue, human fetal brain tissue, Primary antibody: CSB-PA364661(ARHGEF9 Antibody) at dilution 1/950, Secondary antibody: Goat anti rabbit IgG at 1/8000 dilution, Exposure time: 5 seconds
-
-
其他:
產品詳情
-
Uniprot No.:
-
基因名:ARHGEF9
-
別名:9630036L12Rik antibody; A230067K14 antibody; ARHG9_HUMAN antibody; Arhgef9 antibody; Cdc42 guanine nucleotide exchange factor (GEF) 9 antibody; Collybistin antibody; collybistin I antibody; EIEE8 antibody; HPEM 2 antibody; hPEM-2 collybistin antibody; KIAA0424 antibody; mKIAA0424 antibody; OTTHUMP00000023424 antibody; OTTHUMP00000023425 antibody; OTTHUMP00000023427 antibody; PEM 2 antibody; PEM 2 homolog antibody; PEM-2 homolog antibody; PEM2 antibody; Rac/Cdc42 guanine nucleotide exchange factor 9 antibody; Rho guanine nucleotide exchange factor 9 antibody; RP11 357C3.4 antibody; RP23 230K20.3 antibody
-
宿主:Rabbit
-
反應種屬:Human,Mouse,Rat
-
免疫原:Fusion protein of Human ARHGEF9
-
免疫原種屬:Homo sapiens (Human)
-
標記方式:Non-conjugated
-
抗體亞型:IgG
-
純化方式:Antigen affinity purification
-
濃度:It differs from different batches. Please contact us to confirm it.
-
保存緩沖液:-20°C, pH7.4 PBS, 0.05% NaN3, 40% Glycerol
-
產品提供形式:Liquid
-
應用范圍:ELISA,WB,IHC
-
推薦稀釋比:
Application Recommended Dilution ELISA 1:2000-1:10000 WB 1:1000-1:5000 IHC 1:50-1:200 -
Protocols:
-
儲存條件:Upon receipt, store at -20°C or -80°C. Avoid repeated freeze.
-
貨期:Basically, we can dispatch the products out in 1-3 working days after receiving your orders. Delivery time maybe differs from different purchasing way or location, please kindly consult your local distributors for specific delivery time.
-
用途:For Research Use Only. Not for use in diagnostic or therapeutic procedures.
相關產品
靶點詳情
-
功能:Acts as guanine nucleotide exchange factor (GEF) for CDC42. Promotes formation of GPHN clusters.
-
基因功能參考文獻:
- Autism spectrum disorder patient with the smallest inactivating deletion in the collybistin gene. PMID: 27238888
- Collybistin forms a complex with mTOR and eIF3 and by sequestering these proteins downregulates mTORC1 signaling and protein synthesis potentially contributing to intellectual disability and autism. PMID: 25898924
- Impairment of the membrane lipid binding activity of Collybistin R290H and a consequent defect in inhibitory synapse maturation represent a likely molecular pathomechanism of epilepsy and mental retardation in humans. PMID: 25678704
- Data indicate that ARHGEF9 is likely to be responsible for syndromic X-linked mental retardation associated with epilepsy. PMID: 21633362
- These results reveal that G(s) and G(q) signalings regulate hPEM-2 functions through PKA and c-Src in Neuro-2a neuroblastoma cells, respectively. PMID: 22033413
- major regulator of GABAergic postsynaptic gephyrin clustering PMID: 21807943
- Here we identified residues critical for interaction with gephyrin in the linker region between the SH3 and the DH domains of collybistin. PMID: 11727829
- translocates gephyrin to submembrane microaggregates; collybistin mutation (G55A)is found in exon 2 of the ARHGEF9 gene in a patient with clinical symptoms of both hyperekplexia and epilepsy PMID: 15215304
- Results show that hPEM-2 is a target protein of Smurf1. PMID: 18208356
顯示更多
收起更多
-
相關疾病:Epileptic encephalopathy, early infantile, 8 (EIEE8)
-
亞細胞定位:Cytoplasm. Cell junction, synapse, postsynaptic density.
-
組織特異性:Detected in brain. Detected at low levels in heart.
-
數據庫鏈接:
Most popular with customers
-
-
YWHAB Recombinant Monoclonal Antibody
Applications: ELISA, WB, IHC, IF, FC
Species Reactivity: Human, Mouse, Rat
-
Phospho-YAP1 (S127) Recombinant Monoclonal Antibody
Applications: ELISA, WB, IHC
Species Reactivity: Human
-
-
-
-
-















