ARHGEF2 Antibody
-
中文名稱:ARHGEF2兔多克隆抗體
-
貨號:CSB-PA889734
-
規格:¥1100
-
圖片:
-
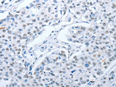
The image on the left is immunohistochemistry of paraffin-embedded Human breast cancer tissue using CSB-PA889734(ARHGEF2 Antibody) at dilution 1/30, on the right is treated with fusion protein. (Original magnification: ×200)
-
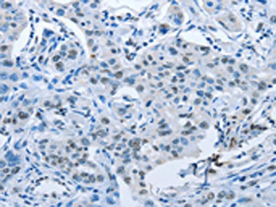
The image on the left is immunohistochemistry of paraffin-embedded Human lung cancer tissue using CSB-PA889734(ARHGEF2 Antibody) at dilution 1/30, on the right is treated with fusion protein. (Original magnification: ×200)
-
-
其他:
產品詳情
-
Uniprot No.:
-
基因名:ARHGEF2
-
別名:AA408978 antibody; ARHG2 antibody; ARHG2_HUMAN antibody; ARHGEF 2 antibody; ARHGEF-2 antibody; ARHGEF2 antibody; GEF antibody; GEF H1 antibody; GEF-H1 antibody; GEFH1 antibody; Guanine nucleotide exchange factor H1 antibody; KIAA0651 antibody; Lbcl1 antibody; Lfc antibody; LFP40 antibody; MGC95068 antibody; Microtubule-regulated Rho-GEF antibody; mKIAA0651 antibody; P40 antibody; Proliferating cell nucleolar antigen p40 antibody; Protein GEF-H1 antibody; Rho guanine nucleotide exchange factor 2 antibody; rho/rac guanine nucleotide exchange factor (GEF) 2 antibody; rho/rac guanine nucleotide exchange factor 2 antibody; rho/rac guanine nucleotide exchange factor antibody
-
宿主:Rabbit
-
反應種屬:Human,Mouse,Rat
-
免疫原:Fusion protein of Human ARHGEF2
-
免疫原種屬:Homo sapiens (Human)
-
標記方式:Non-conjugated
-
抗體亞型:IgG
-
純化方式:Antigen affinity purification
-
濃度:It differs from different batches. Please contact us to confirm it.
-
保存緩沖液:-20°C, pH7.4 PBS, 0.05% NaN3, 40% Glycerol
-
產品提供形式:Liquid
-
應用范圍:ELISA,IHC
-
推薦稀釋比:
Application Recommended Dilution ELISA 1:2000-1:5000 IHC 1:25-1:100 -
Protocols:
-
儲存條件:Upon receipt, store at -20°C or -80°C. Avoid repeated freeze.
-
貨期:Basically, we can dispatch the products out in 1-3 working days after receiving your orders. Delivery time maybe differs from different purchasing way or location, please kindly consult your local distributors for specific delivery time.
-
用途:For Research Use Only. Not for use in diagnostic or therapeutic procedures.
相關產品
靶點詳情
-
功能:Activates Rho-GTPases by promoting the exchange of GDP for GTP. May be involved in epithelial barrier permeability, cell motility and polarization, dendritic spine morphology, antigen presentation, leukemic cell differentiation, cell cycle regulation, innate immune response, and cancer. Binds Rac-GTPases, but does not seem to promote nucleotide exchange activity toward Rac-GTPases, which was uniquely reported in PubMed:9857026. May stimulate instead the cortical activity of Rac. Inactive toward CDC42, TC10, or Ras-GTPases. Forms an intracellular sensing system along with NOD1 for the detection of microbial effectors during cell invasion by pathogens. Required for RHOA and RIP2 dependent NF-kappaB signaling pathways activation upon S.flexneri cell invasion. Involved not only in sensing peptidoglycan (PGN)-derived muropeptides through NOD1 that is independent of its GEF activity, but also in the activation of NF-kappaB by Shigella effector proteins (IpgB2 and OspB) which requires its GEF activity and the activation of RhoA. Involved in innate immune signaling transduction pathway promoting cytokine IL6/interleukin-6 and TNF-alpha secretion in macrophage upon stimulation by bacterial peptidoglycans; acts as a signaling intermediate between NOD2 receptor and RIPK2 kinase. Contributes to the tyrosine phosphorylation of RIPK2 through Src tyrosine kinase leading to NF-kappaB activation by NOD2. Overexpression activates Rho-, but not Rac-GTPases, and increases paracellular permeability. Involved in neuronal progenitor cell division and differentiation. Involved in the migration of precerebellar neurons.
-
基因功能參考文獻:
- Authors identified a regulatory switch controlled by MARK3 that couples microtubules to the actin cytoskeleton to establish epithelial cell polarity through ARHGEF2. PMID: 29089450
- human brain malformation is recapitulated in Arhgef2 mutant mice and identify an aberrant migration of distinct components of the precerebellar system as a pathomechanism underlying the midbrain-hindbrain phenotype. Our results highlight the crucial function of ARHGEF2 in human brain development and identify a mutation in ARHGEF2 as novel cause of a neurodevelopmental disorder. PMID: 28453519
- Overexpression of miR-194 downregulates the GEF-H1/RhoA pathway, inhibits melanoma cancer cell proliferation and metastasis. Furthermore, miR-194 expression is negatively associated with tumor-node-metastasis (TNM) stages PMID: 27573550
- data suggest that the induction of SGK1 through treatment with dexamethasone alters MT dynamics to increase Sec5-GEF-H1 interactions, which promote GEF-H1 targeting to adhesion sites. PMID: 26359301
- this study reports the crystal structure of human GEF-H1 PH domain to 2.45 A resolution. PMID: 26820534
- By stimulating cofilin/PP2A-mediated dephosphorylation of the guanine nucleotide exchange factor GEF-H1. PMID: 26759237
- regulation of c-Src trafficking requires both microtubules and actin polymerization, and GEF-H1 coordinates c-Src trafficking, acting as a molecular switch between these two mechanisms PMID: 26866809
- Results supported that miR-512-3p could inhibit tumor cell adhesion, migration, and invasion by regulating the RAC1 activity via DOCK3 in NSCLC A549 and H1299 cell lines. PMID: 25687035
- TGF-beta regulates LARG and GEF-H1 during epithelial-mesenchymal transition to affect stiffening response to force and cell invasion. PMID: 25143398
- Our findings underscore a potent oncogenic role for GEF-H1 in promoting the metastatic potentials of hepatocellular carcinoma, possibly through activation of RhoA signalling. PMID: 22847784
- Paxillin-GEF-H1-p42/44-MAPK module as a regulator of pathological mechanotransduction. PMID: 24706358
- This study investigated a novel mechanism of vascular barrier protection by ANP via modulation of GEF-H1 function. PMID: 24352660
- The RhoGEF GEF-H1 is required for oncogenic RAS signaling via KSR-1. PMID: 24525234
- CAMSAP3-anchored non-centrosomal microtubules capture GEF-H1 more efficiently than other microtubules do. PMID: 23432781
- ERK binds to the Rho exchange factor GEF-H1 and phosphorylates it on S959, causing inhibition of GEF-H1 activity and a consequent decrease in RhoA activity. PMID: 24043311
- vincristine activates GEF-H1/RhoA/ROCK/MLC signaling. PMID: 23057787
- extracellular matrix stiffness regulates RhoA through microtubule destabilization and the subsequent release and activation of GEF-H1. PMID: 22593214
- present evidence that depletion of GEF-H1, a guanine nucleotide exchange factor for Rho proteins, affects vesicle trafficking PMID: 22898781
- Data indicate that highly aggressive spindle-shaped 231BR3 cells changed to a round cell morphology associated with expression of the small GTPase guanine nucleotide exchange factor-H1 (GEF-H1). PMID: 22513363
- Study shows that hPTTG1 is a transcription factor that triggers the GEF-H1/RhoA pathway to accelerate breast cancer invasion and metastasis. In human invasive breast carcinoma, hPTTG1 is overexpressed and is correlated to GEF-H1 expression. PMID: 22002306
- LPS rapidly upregulates GEF-H1 expression. Activated Rho-associated kinase by GEF-H1 subsequently activates p38 and ERK1/2, thereby increasing IL-6/TNF-alpha expression in endothelial cells. PMID: 22301607
- Lipopolysaccharide-induced ICAM-1 synthesis in human umbilical vein endothelial cells is regulated by GEF-H1/RhoA-dependent signaling pathway via activation of p38 and NF-kappaB. PMID: 22226621
- Results show that LPS-induced NF-kappaB activation and IL-8 synthesis in endothelial cells are regulated by the MyD88 pathway and GEF-H1-RhoA pathway. PMID: 22226472
- Polarity-regulating kinase partitioning-defective 1b (PAR1b) phosphorylates guanine nucleotide exchange factor H1 (GEF-H1) to regulate RhoA-dependent actin cytoskeletal reorganization. PMID: 22072711
- These data suggest that Par1b-phosphorylation regulates turnover of GEF-H1 localization by regulating its interaction with microtubules, which may contribute to cell polarization. PMID: 21513698
- Heparin inhibits pulmonary artery smooth muscle cell proliferation through GEF-H1/RhoA/ROCK/p27 signaling pathway. PMID: 20558775
- GEFH1 was identified as binding partner for the BAR domain of ASAP1.GEFH1 is a negative regulator of podosomes. PMID: 21352810
- the TNF-alpha-induced activation of the ERK/GEF-H1/RhoA pathway in tubular cells is mediated through Src- and TACE-dependent EGFR activation. PMID: 21212278
- GEF-H1 is a new component of a syndecan signaling complex that is differentially expressed in brain metastatic melanoma cells compared to corresponding non-metastatic counterparts PMID: 20803552
- Data indicate that GEF-H1 is a target and functional effector of TGF-beta by orchestrating Rho signaling to regulate gene expression and cell migration. PMID: 20089843
- GEF-H1 is regulated by an interaction with microtubules. PMID: 11912491
- PAK4 mediates morphological changes through regulation of GEF-H1 PMID: 15827085
- GEF-H1 expression level strongly correlated with p53 status in a panel of 32 cancer cell lines, and GEF-H1 induction caused activation of RhoA. Growth of mutant p53 cells was dependent on GEF-H1 expression. PMID: 16778209
- These results identify a GEF-H1-dependent mechanism to modulate localized RhoA activation during cytokinesis under the control of mitotic kinases. PMID: 17488622
- These studies reveal a critical role for a GEF-H1/RhoA/ROCK/MLC signaling pathway in mediating nocodazole-induced cell contractility. PMID: 18287519
- This study establishes GEF-H1 as a critical organizer of key structural and signaling components of cell migration through the localized regulation of RhoA activity at the cell leading edge. PMID: 19625450
- Lfc is a phosphorylated protein and demonstrate that 14-3-3 interacts directly and in a phosphorylation-dependent manner with Lfc. PMID: 19667072
顯示更多
收起更多
-
相關疾病:Neurodevelopmental disorder with midbrain and hindbrain malformations (NEDMHM)
-
亞細胞定位:Cytoplasm, cytoskeleton. Cytoplasm. Cell junction, tight junction. Golgi apparatus. Cytoplasm, cytoskeleton, spindle. Cell projection, ruffle membrane. Cytoplasmic vesicle.
-
數據庫鏈接:
Most popular with customers
-
-
YWHAB Recombinant Monoclonal Antibody
Applications: ELISA, WB, IHC, IF, FC
Species Reactivity: Human, Mouse, Rat
-
Phospho-YAP1 (S127) Recombinant Monoclonal Antibody
Applications: ELISA, WB, IHC
Species Reactivity: Human
-
-
-
-
-















