ARHGEF11 Antibody
-
中文名稱:ARHGEF11兔多克隆抗體
-
貨號:CSB-PA239750
-
規格:¥1100
-
圖片:
-
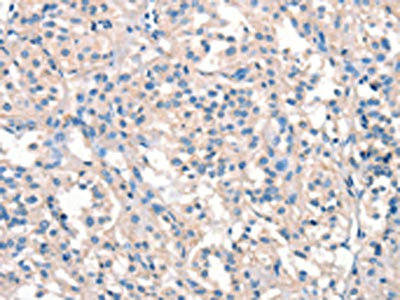
The image on the left is immunohistochemistry of paraffin-embedded Human gastic cancer tissue using CSB-PA239750(ARHGEF11 Antibody) at dilution 1/25, on the right is treated with synthetic peptide. (Original magnification: ×200)
-
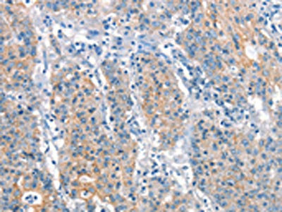
The image on the left is immunohistochemistry of paraffin-embedded Human thyroid cancer tissue using CSB-PA239750(ARHGEF11 Antibody) at dilution 1/25, on the right is treated with synthetic peptide. (Original magnification: ×200)
-
Gel: 6%SDS-PAGE, Lysate: 40 μg, Lane: Mouse brain tissue, Primary antibody: CSB-PA239750(ARHGEF11 Antibody) at dilution 1/1000, Secondary antibody: Goat anti rabbit IgG at 1/8000 dilution, Exposure time: 1 minute
-
-
其他:
產品詳情
-
Uniprot No.:
-
基因名:
-
別名:ARHGB_HUMAN antibody; ARHGEF 11 antibody; ARHGEF11 antibody; DKFZp667F1223 antibody; Glutamate transporter EAAT4 associated protein 48 antibody; GTRAP 48 antibody; GTRAP48 antibody; KIAA0380 antibody; OTTHUMP00000038716 antibody; OTTHUMP00000038717 antibody; PDZ RHOGEF antibody; PDZ-RhoGEF antibody; Rho guanine exchange factor (GEF) 11 antibody; Rho guanine nucleotide exchange factor (GEF) 11 antibody; Rho guanine nucleotide exchange factor 11 antibody; RhoA specific guanine nucleotide exchange factor antibody; RhoGEF glutamate transport modulator antibody
-
宿主:Rabbit
-
反應種屬:Human,Mouse,Rat
-
免疫原:Synthetic peptide of Human ARHGEF11
-
免疫原種屬:Homo sapiens (Human)
-
標記方式:Non-conjugated
-
抗體亞型:IgG
-
純化方式:Antigen affinity purification
-
濃度:It differs from different batches. Please contact us to confirm it.
-
保存緩沖液:-20°C, pH7.4 PBS, 0.05% NaN3, 40% Glycerol
-
產品提供形式:Liquid
-
應用范圍:ELISA,WB,IHC
-
推薦稀釋比:
Application Recommended Dilution ELISA 1:2000-1:5000 WB 1:500-1:2000 IHC 1:25-1:100 -
Protocols:
-
儲存條件:Upon receipt, store at -20°C or -80°C. Avoid repeated freeze.
-
貨期:Basically, we can dispatch the products out in 1-3 working days after receiving your orders. Delivery time maybe differs from different purchasing way or location, please kindly consult your local distributors for specific delivery time.
-
用途:For Research Use Only. Not for use in diagnostic or therapeutic procedures.
相關產品
靶點詳情
-
功能:May play a role in the regulation of RhoA GTPase by guanine nucleotide-binding alpha-12 (GNA12) and alpha-13 (GNA13). Acts as guanine nucleotide exchange factor (GEF) for RhoA GTPase and may act as GTPase-activating protein (GAP) for GNA12 and GNA13. Involved in neurotrophin-induced neurite outgrowth.
-
基因功能參考文獻:
- PAK4 (but not PAK1) mediates invadopodia maturation during melanoma invasion likely via inhibition of PDZ-RhoGEF. PMID: 27765920
- Data show that endothelin A receptor drives invadopodia function by direct interaction of beta-arrestin-1 (beta-arr1) with Rho guanine nucleotide exchange factor (GEF) 11 protein (PDZ-RhoGEF). PMID: 26522724
- Two related guanine nucleotide exchange factors (GEFs), PDZ-RhoGEF and leukemia-associated RhoGEF (LARG), use their PDZ domains to bind class B plexins and play critical roles in signaling. PMID: 26627240
- Results provide new evidence that ARHGEF11 may constitute a risk factor for schizophrenia PMID: 25319871
- Agonist-induced Ca2+ sensitization in smooth muscle: redundancy of Rho guanine nucleotide exchange factors (RhoGEFs) and response kinetics, a caged compound study. PMID: 24106280
- analysis of molecular activation mechanism of the RhoA-specific guanine nucleotide exchange factor, PDZRhoGEF PMID: 21816819
- The R1467H polymorphism of ARHGEF11 gene may contribute to susceptibility to type 2 diabetes mellitus and insulin resistance in a Chinese population. PMID: 21210224
- Plexin B regulates Rho through the guanine nucleotide exchange factors leukemia-associated Rho-GEF(LARG) and this protein. PMID: 12183458
- PDZ-RhoGEF interacts directly with p21-activated kinase 4 to negatively regulate the activation of Rho PMID: 14625312
- ARHGER11 is involved in the pathologic changes associated with decreased glutamatergic neurotransmission in schizophrenia PMID: 14684465
- PDZ-RhoGEF interacts with the actin cytoskeleton PMID: 14742719
- This is the first epidemiological study to link PDZ-RhoGEF polymorphisms with cancer risk, specifically in Mexican Americans at risk for lung cancer. PMID: 16691626
- Variation within ARHGEF11 nominally increases risk of type 2 diabetes, possibly as a result of increased insulin resistance. PMID: 17287471
- Sequence variation in this gene may influence susceptibility to and risk of type II diabetes. PMID: 17369523
- PDZRhoGEF (PRG), mediates RhoA-dependent responses and determines their spatial distribution in differentiated HL60 cells. PMID: 18086913
- R1467H variant in the rho guanine nucleotide exchange factor 11 (ARHGEF11) is associated with impaired glucose tolerance and type 2 diabetes in German Caucasians. PMID: 18231709
- the autoinhibition of PRG is caused largely by an interaction of a short negatively charged sequence motif, immediately upstream of the DH-domain. PMID: 19460155
- The actin-binding domain of PDZ-RhoGEF, located between amino acids 561 and 585, directly binds to F-actin in vitro and could influence actin structure in a manner independent of its ability to activate RhoA. PMID: 19618964
- PYK2 and PDZ-RhoGEF are necessary for angiotensin II-induced RhoA activation and for Ca(2+) signaling to RhoA. PMID: 19759375
顯示更多
收起更多
-
亞細胞定位:Cytoplasm. Membrane. Note=Translocated to the membrane upon stimulation.
-
組織特異性:Ubiquitously expressed.
-
數據庫鏈接:
Most popular with customers
-
-
YWHAB Recombinant Monoclonal Antibody
Applications: ELISA, WB, IHC, IF, FC
Species Reactivity: Human, Mouse, Rat
-
-
-
-
-
-















