ARHGAP29 Antibody
-
中文名稱:ARHGAP29兔多克隆抗體
-
貨號:CSB-PA681475LA01HU
-
規格:¥440
-
圖片:
-
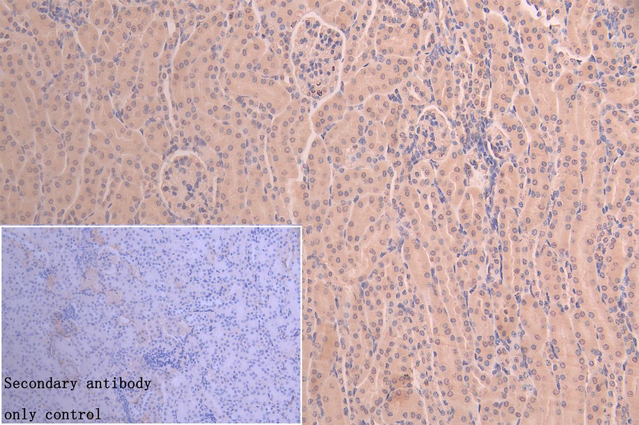
IHC image of CSB-PA681475LA01HU diluted at 1:200 and staining in paraffin-embedded mouse kidney tissue performed on a Leica BondTM system. After dewaxing and hydration, antigen retrieval was mediated by high pressure in a citrate buffer (pH 6.0). Section was blocked with 10% normal goat serum 30min at RT. Then primary antibody (1% BSA) was incubated at 4°C overnight. The primary is detected by a Goat anti-rabbit polymer IgG labeled by HRP and visualized using 0.05% DAB. Secondary antibody only control: uses 1% BSA instead of primary antibody
-
Immunofluorescence staining of U251 cell with CSB-PA681475LA01HU at 1:130, counter-stained with DAPI. The cells were fixed in 4% formaldehyde and blocked in 10% normal Goat Serum. The cells were then incubated with the antibody overnight at 4C. The secondary antibody was Alexa Fluor 488-congugated AffiniPure Goat Anti-Rabbit IgG(H+L).
-
Immunofluorescence staining of U251 cell with 5% goat serum, counter-stained with DAPI. TheCcells were fixed in 4% formaldehyde and blocked in 10% normal Goat Serum. The cells were then incubated with the antibody overnight at 4C. The secondary antibody was Alexa Fluor 488-congugated AffiniPure Goat Anti-Rabbit IgG(H+L).
-
Immunofluorescence staining of A431 cell with CSB-PA681475LA01HU at 1:130, counter-stained with DAPI. TheCcells wereCfixed in 4% formaldehyde and blocked in 10% normal Goat Serum. The cells were then incubated with the antibody overnight at 4C. The secondary antibody was Alexa Fluor 488-congugated AffiniPure Goat Anti-Rabbit IgG(H+L).
-
Immunofluorescence staining of U251 cell with CSB-PA681475LA01HU at 1:130, counter-stained with DAPI. The cells were fixed in 4% formaldehyde and blocked in 10% normal Goat Serum. The cells were then incubated with the antibody overnight at 4C. The secondary antibody was Alexa Fluor 488-congugated AffiniPure Goat Anti-Rabbit IgG(H+L).
-
-
其他:
產品詳情
-
產品名稱:Rabbit anti-Homo sapiens (Human) ARHGAP29 Polyclonal antibody
-
Uniprot No.:
-
基因名:ARHGAP29
-
別名:ARHGAP 29 antibody; Arhgap29 antibody; ARHGAP29 protein antibody; MGC166097 antibody; PARG 1 antibody; PARG1 antibody; PTPL1 associated RhoGAP 1 antibody; PTPL1-associated RhoGAP protein 1 antibody; RHG29_HUMAN antibody; Rho GTPase activating protein 29 antibody; Rho GTPase activating protein 29 isoform CRA_a antibody; Rho GTPase activating protein 29 isoform CRA_b antibody; Rho GTPase-activating protein 29 antibody; Rho-type GTPase-activating protein 29 antibody
-
宿主:Rabbit
-
反應種屬:Human
-
免疫原:Recombinant Human Rho GTPase-activating protein 29 protein (161-392AA)
-
免疫原種屬:Homo sapiens (Human)
-
標記方式:Non-conjugated
本頁面中的產品,ARHGAP29 Antibody (CSB-PA681475LA01HU),的標記方式是Non-conjugated。對于ARHGAP29 Antibody,我們還提供其他標記。見下表:
-
克隆類型:Polyclonal
-
抗體亞型:IgG
-
純化方式:>95%, Protein G purified
-
濃度:It differs from different batches. Please contact us to confirm it.
-
保存緩沖液:Preservative: 0.03% Proclin 300
Constituents: 50% Glycerol, 0.01M PBS, PH 7.4 -
產品提供形式:Liquid
-
應用范圍:ELISA, IHC, IF
-
推薦稀釋比:
Application Recommended Dilution IHC 1:100-1:200 IF 1:50-1:150 -
Protocols:
-
儲存條件:Upon receipt, store at -20°C or -80°C. Avoid repeated freeze.
-
貨期:Basically, we can dispatch the products out in 1-3 working days after receiving your orders. Delivery time maybe differs from different purchasing way or location, please kindly consult your local distributors for specific delivery time.
-
用途:For Research Use Only. Not for use in diagnostic or therapeutic procedures.
相關產品
靶點詳情
-
功能:GTPase activator for the Rho-type GTPases by converting them to an inactive GDP-bound state. Has strong activity toward RHOA, and weaker activity toward RAC1 and CDC42. May act as a specific effector of RAP2A to regulate Rho. In concert with RASIP1, suppresses RhoA signaling and dampens ROCK and MYH9 activities in endothelial cells and plays an essential role in blood vessel tubulogenesis.
-
基因功能參考文獻:
- Risk haplotypes affect ARHGAP29 expression causing non-syndromic orofacial clefting. PMID: 28287101
- The variant in question segregates as an autosomal dominant trait caused by an heterozygous missense variant in ARHGAP29 (p.Ser552Pro) that had not previously been identified in a population genomic databases. The p.Ser552Pro ARHGAP29 variant was not present in genomic databases and was predicted to be pathogenic by multiple in silico programs. PMID: 28029220
- YAP promotes the expression of ARHGAP29 to suppress the RhoA-LIMK-cofilin pathway, destabilizing F-actin. PMID: 28538170
- The of loss-of-function and ARHGAP29 missense variants in the etiology of oral clefts PMID: 27350171
- Data indicate that through GTPase-activating proteins ArhGAP29 complex formation Rap1 GTP-binding protein spatially restricts Rho-mediated signaling, which is necessary for endothelial barrier potentiation. PMID: 25963656
- Genetic variants in ARHGAP29 contribute to the development of nonsyndromic cleft lip with cleft palate. PMID: 25163644
- We identified genetic variants in TGFB3 and ARHGAP29 associated with suboptimal healing outcome. PMID: 24635173
- Rasip1-ArhGAP29 pathway also functions in Rap1-mediated regulation of endothelial junctions, which controls endothelial barrier function PMID: 23798437
- ARHGAP29 is the etiologic gene for the cleft lip with or without cleft palate locus identified by genome-wide association on chromosome 1p22. PMID: 23008150
- PARG1 expression was substantially reduced & it displayed at least partial promoter methylation in all investigated mantle-cell lines & in 31 primary cases. PARG1 is a strong candidate tumor suppressor gene in MCL. PMID: 17488656
顯示更多
收起更多
-
組織特異性:Widely expressed. Highly expressed in skeletal muscle and heart. Expressed at intermediate level in placenta, liver and pancreas. Weakly expressed in brain, lung and kidney.
-
數據庫鏈接:
Most popular with customers
-
-
YWHAB Recombinant Monoclonal Antibody
Applications: ELISA, WB, IHC, IF, FC
Species Reactivity: Human, Mouse, Rat
-
-
-
-
-
-















