ARFRP1 Antibody
-
中文名稱:ARFRP1兔多克隆抗體
-
貨號:CSB-PA621696LA01HU
-
規格:¥440
-
圖片:
-
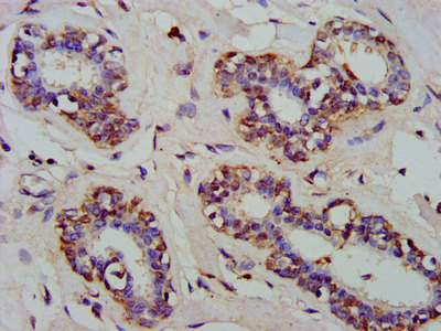
IHC image of CSB-PA621696LA01HU diluted at 1:300 and staining in paraffin-embedded human breast cancer performed on a Leica BondTM system. After dewaxing and hydration, antigen retrieval was mediated by high pressure in a citrate buffer (pH 6.0). Section was blocked with 10% normal goat serum 30min at RT. Then primary antibody (1% BSA) was incubated at 4°C overnight. The primary is detected by a biotinylated secondary antibody and visualized using an HRP conjugated SP system.
-
-
其他:
產品詳情
-
產品名稱:Rabbit anti-Homo sapiens (Human) ARFRP1 Polyclonal antibody
-
Uniprot No.:
-
基因名:ARFRP1
-
別名:ADP ribosylation factor related protein 1 antibody; ADP-ribosylation factor-related protein 1 antibody; ARF related protein 1 antibody; ARF related protein antibody; ARF-related protein 1 antibody; ARFRP_HUMAN antibody; ARFRP1 antibody; ARL 18 antibody; ARL18 antibody; ARP 1 antibody; ARP antibody; ARP1 antibody; Helicase like protein NHL antibody; MGC6837 antibody; SCG10 like protein antibody
-
宿主:Rabbit
-
反應種屬:Human
-
免疫原:Recombinant Human ADP-ribosylation factor-related protein 1 protein (1-201AA)
-
免疫原種屬:Homo sapiens (Human)
-
標記方式:Non-conjugated
本頁面中的產品,ARFRP1 Antibody (CSB-PA621696LA01HU),的標記方式是Non-conjugated。對于ARFRP1 Antibody,我們還提供其他標記。見下表:
-
克隆類型:Polyclonal
-
抗體亞型:IgG
-
純化方式:>95%, Protein G purified
-
濃度:It differs from different batches. Please contact us to confirm it.
-
保存緩沖液:Preservative: 0.03% Proclin 300
Constituents: 50% Glycerol, 0.01M PBS, pH 7.4 -
產品提供形式:Liquid
-
應用范圍:ELISA, IHC
-
推薦稀釋比:
Application Recommended Dilution IHC 1:200-1:500 -
Protocols:
-
儲存條件:Upon receipt, store at -20°C or -80°C. Avoid repeated freeze.
-
貨期:Basically, we can dispatch the products out in 1-3 working days after receiving your orders. Delivery time maybe differs from different purchasing way or location, please kindly consult your local distributors for specific delivery time.
-
用途:For Research Use Only. Not for use in diagnostic or therapeutic procedures.
相關產品
靶點詳情
-
功能:Trans-Golgi-associated GTPase that regulates protein sorting. Controls the targeting of ARL1 and its effector to the trans-Golgi. Required for the lipidation of chylomicrons in the intestine and required for VLDL lipidation in the liver.
-
基因功能參考文獻:
- Results provide evidence that ARFRP1 is required for HCV propagation through its interaction with NS5A protein. Also, ARFRP1 is involved in the regulation of lipid droplet (LD) growth in HCV-infected cells and, recruits SNAP23 to sites in close proximity to LDs. PMID: 27550144
- ARFRP1 shifted from a predominantly cis-Golgi and endosome-to-trans-Golgi network localization to localizing both Golgi and non-Golgi vesicular structures in hNaa30-depleted cells. PMID: 28356483
- One or more of 7 genes residing in a chromosome 20q13.3 CNV region appears to influence BMI. The strongest candidate is ARFRP1. PMID: 26881067
- Propose that Arfrp1 exposes a binding site on AP-1 that recognizes the Vangl2 sorting motif for capture into a transport vesicle destined for the proximal surface of a polarized epithelial cell. PMID: 23326640
- The GTPase ARFRP1 controls the lipidation of chylomicrons in the Golgi of the intestinal epithelium. PMID: 22505585
- Data show that ADP-ribosylation factor-related protein 1 (ARFRP1) is associated mainly with the trans-Golgi compartment and the trans-Golgi network (TGN) and is an essential regulatory factor for targeting of golgin-97 and golgin-245 onto Golgi membranes. PMID: 16129887
- These data suggest that lethality of Arfrp1 knockout embryos is due to a specific disruption of protein targeting, e.g., of ARL1 and Golgin-245, to the Golgi. PMID: 17127620
- Results show that ARL1 and ARFRP1 regulate retrograde transport of Shiga toxin to the TGN and anterograde transport of VSVG from the TGN, respectively. PMID: 19224922
顯示更多
收起更多
-
亞細胞定位:Golgi apparatus. Golgi apparatus, trans-Golgi network.
-
蛋白家族:Small GTPase superfamily, Arf family
-
組織特異性:Found in most tissues.
-
數據庫鏈接:
Most popular with customers
-
-
YWHAB Recombinant Monoclonal Antibody
Applications: ELISA, WB, IHC, IF, FC
Species Reactivity: Human, Mouse, Rat
-
Phospho-YAP1 (S127) Recombinant Monoclonal Antibody
Applications: ELISA, WB, IHC
Species Reactivity: Human
-
-
-
-
-















