ARFGEF2 Antibody
-
中文名稱:ARFGEF2兔多克隆抗體
-
貨號:CSB-PA896929LA01HU
-
規格:¥440
-
圖片:
-
Western Blot
Positive WB detected in: Rat heart tissue, Mouse brain tissue, Mouse liver tissue
All lanes: ARFGEF2 antibody at 3.2μg/ml
Secondary
Goat polyclonal to rabbit IgG at 1/50000 dilution
Predicted band size: 203 kDa
Observed band size: 203 kDa -
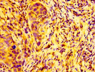
IHC image of CSB-PA896929LA01HU diluted at 1:100 and staining in paraffin-embedded human breast cancer performed on a Leica BondTM system. After dewaxing and hydration, antigen retrieval was mediated by high pressure in a citrate buffer (pH 6.0). Section was blocked with 10% normal goat serum 30min at RT. Then primary antibody (1% BSA) was incubated at 4°C overnight. The primary is detected by a biotinylated secondary antibody and visualized using an HRP conjugated SP system.
-
IHC image of CSB-PA896929LA01HU diluted at 1:100 and staining in paraffin-embedded human pancreatic cancer performed on a Leica BondTM system. After dewaxing and hydration, antigen retrieval was mediated by high pressure in a citrate buffer (pH 6.0). Section was blocked with 10% normal goat serum 30min at RT. Then primary antibody (1% BSA) was incubated at 4°C overnight. The primary is detected by a biotinylated secondary antibody and visualized using an HRP conjugated SP system.
-
Immunofluorescence staining of A549 cells with CSB-PA896929LA01HU at 1:133, counter-stained with DAPI. The cells were fixed in 4% formaldehyde, permeabilized using 0.2% Triton X-100 and blocked in 10% normal Goat Serum. The cells were then incubated with the antibody overnight at 4°C. The secondary antibody was Alexa Fluor 488-congugated AffiniPure Goat Anti-Rabbit IgG(H+L).
-
-
其他:
產品詳情
-
產品名稱:Rabbit anti-Homo sapiens (Human) ARFGEF2 Polyclonal antibody
-
Uniprot No.:
-
基因名:
-
別名:ARFGEF2 antibody; ARFGEP2 antibody; BIG2Brefeldin A-inhibited guanine nucleotide-exchange protein 2 antibody; Brefeldin A-inhibited GEP 2 antibody; ADP-ribosylation factor guanine nucleotide-exchange factor 2 antibody
-
宿主:Rabbit
-
反應種屬:Human, Rat, Mouse
-
免疫原:Recombinant Human Brefeldin A-inhibited guanine nucleotide-exchange protein 2 protein (200-317AA)
-
免疫原種屬:Homo sapiens (Human)
-
標記方式:Non-conjugated
本頁面中的產品,ARFGEF2 Antibody (CSB-PA896929LA01HU),的標記方式是Non-conjugated。對于ARFGEF2 Antibody,我們還提供其他標記。見下表:
-
克隆類型:Polyclonal
-
抗體亞型:IgG
-
純化方式:>95%, Protein G purified
-
濃度:It differs from different batches. Please contact us to confirm it.
-
保存緩沖液:Preservative: 0.03% Proclin 300
Constituents: 50% Glycerol, 0.01M PBS, pH 7.4 -
產品提供形式:Liquid
-
應用范圍:ELISA, WB, IHC, IF
-
推薦稀釋比:
Application Recommended Dilution WB 1:500-1:5000 IHC 1:20-1:200 IF 1:50-1:200 -
Protocols:
-
儲存條件:Upon receipt, store at -20°C or -80°C. Avoid repeated freeze.
-
貨期:Basically, we can dispatch the products out in 1-3 working days after receiving your orders. Delivery time maybe differs from different purchasing way or location, please kindly consult your local distributors for specific delivery time.
-
用途:For Research Use Only. Not for use in diagnostic or therapeutic procedures.
相關產品
靶點詳情
-
功能:Promotes guanine-nucleotide exchange on ARF1 and ARF3 and to a lower extent on ARF5 and ARF6. Promotes the activation of ARF1/ARF5/ARF6 through replacement of GDP with GTP. Involved in the regulation of Golgi vesicular transport. Required for the integrity of the endosomal compartment. Involved in trafficking from the trans-Golgi network (TGN) to endosomes and is required for membrane association of the AP-1 complex and GGA1. Seems to be involved in recycling of the transferrin receptor from recycling endosomes to the plasma membrane. Probably is involved in the exit of GABA(A) receptors from the endoplasmic reticulum. Involved in constitutive release of tumor necrosis factor receptor 1 via exosome-like vesicles; the function seems to involve PKA and specifically PRKAR2B. Proposed to act as A kinase-anchoring protein (AKAP) and may mediate crosstalk between Arf and PKA pathways.
-
基因功能參考文獻:
- Both phospholipase D activity and vesicular trafficking were required for effects of BIG1 and BIG2 on beta-catenin activation. Levels of PKA-phosphorylated beta-catenin S675 and beta-catenin association with PKA, BIG1, and BIG2 were also diminished after BIG1/BIG2 depletion. PMID: 27162341
- Description of a novel ARFGEF2 mutation in five related patients presenting with West syndrome, microcephaly, periventricular heterotopia and thin corpus callosum. PMID: 23812912
- The clinical phenotype associated with mutations in ARFGEF2 is relatively homogeneous in the families report. PMID: 23755938
- Arf guanine nucleotide-exchange factors BIG1 and BIG2 regulate nonmuscle myosin IIA activity by anchoring myosin phosphatase complex. PMID: 23918382
- an early acting GEF (GBF1) activates ARFs that mediate recruitment of late acting GEFs (BIG1/2) to coordinate coating events within the pre-Golgi/Golgi/TGN continuum. PMID: 23386609
- Brefeldin A-inhibited ADP-ribosylation factor activator BIG2 regulates cell migration via integrin beta1 cycling and actin remodeling. PMID: 22908276
- Up-regulation of ARFGEF2 is associated with the Huntington's disease. PMID: 21309479
- BIG1 and BIG2 have roles in endomembrane organization PMID: 20360857
- involvement in molecular mechanisms of vesicular transport PMID: 11665623
- identification of protein kinase A-anchoring domains PMID: 12571360
- BIG2 and Exo70 interact in trans-Golgi network and centrosomes, as well as in exocyst structures or complexes that move along microtubules to the plasma membrane. PMID: 15705715
- ARFGEF2 mRNA was widely expressed in all cortical layers, especially in the neural precursors of the ventricular and subventricular zones during development, with persistent but diminished expression in adulthood. PMID: 16320251
- Regulates the constitutive release of tumor necrosis factor receptor type 1 exosome-like vesicles from vascular endothelial cells. PMID: 17276987
- Phosphorylation of BIG1 and BIG2 via PKA and protein phosphatase 1gamma effects vesicular trafficking via alterations in ARF activation. PMID: 17360629
- COPII is the only coat required for sorting and export from the endoplasmic reticulum exit sites, whereas GBF1 but not BIGs, is required for COPI recruitment, Golgi subcompartmentalization, and cargo progression to the cell surface. PMID: 18003980
- These observations indicate that BIG2 and BIG1 play redundant roles in trafficking between the trans-Golgi network and endosomes that involves the AP-1 complex. PMID: 18417613
- both the constitutive and cAMP-induced release of TNFR1 exosome-like vesicles occur via PKA-dependent pathways that are regulated by the anchoring of RIIbeta to BIG2 via AKAP domains B and C PMID: 18625701
- Results describe a child with a severe choreadystonic movement disorder, bilateral periventricular nodular heterotopia (BPNH), and secondary microcephaly based on compound heterozygosity for two new ARFGEF2 mutations. PMID: 19384555
顯示更多
收起更多
-
相關疾病:Periventricular nodular heterotopia 2 (PVNH2)
-
亞細胞定位:Cytoplasm. Membrane. Golgi apparatus. Cytoplasm, perinuclear region. Golgi apparatus, trans-Golgi network. Endosome. Cytoplasm, cytoskeleton, microtubule organizing center, centrosome. Cell projection, dendrite. Cytoplasmic vesicle. Cell junction, synapse. Cytoplasm, cytoskeleton. Note=Translocates from cytoplasm to membranes upon cAMP treatment. Localized in recycling endosomes.
-
組織特異性:Expressed in placenta, lung, heart, brain, kidney and pancreas.
-
數據庫鏈接:
Most popular with customers
-
YWHAB Recombinant Monoclonal Antibody
Applications: ELISA, WB, IHC, IF, FC
Species Reactivity: Human, Mouse, Rat
-
Phospho-YAP1 (S127) Recombinant Monoclonal Antibody
Applications: ELISA, WB, IHC
Species Reactivity: Human
-
-
-
-
-
-















