APOBEC4 Antibody
-
中文名稱:APOBEC4兔多克隆抗體
-
貨號:CSB-PA823894LA01HU
-
規格:¥440
-
圖片:
-
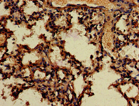
Immunohistochemistry of paraffin-embedded human lung tissue using CSB-PA823894LA01HU at dilution of 1:100
-
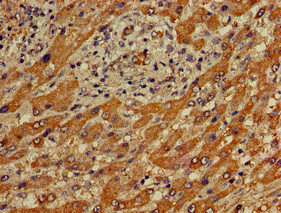
Immunohistochemistry of paraffin-embedded human liver cancer using CSB-PA823894LA01HU at dilution of 1:100
-
Immunofluorescent analysis of Hela cells using CSB-PA823894LA01HU at dilution of 1:100 and Alexa Fluor 488-congugated AffiniPure Goat Anti-Rabbit IgG(H+L)
-
-
其他:
產品詳情
-
產品名稱:Rabbit anti-Homo sapiens (Human) APOBEC4 Polyclonal antibody
-
Uniprot No.:
-
基因名:APOBEC4
-
別名:ABEC4_HUMAN antibody; APOBEC 4 antibody; Apobec4 antibody; Apolipoprotein B mRNA editing enzyme catalytic polypeptide like 4 antibody; Apolipoprotein B mRNA-editing enzyme catalytic polypeptide-like 4 antibody; C1orf169 antibody; MGC26594 antibody; Putative C->U editing enzyme APOBEC4 antibody; Putative C->U-editing enzyme APOBEC-4 antibody
-
宿主:Rabbit
-
反應種屬:Human
-
免疫原:Recombinant Human Putative C->U-editing enzyme APOBEC-4 protein (221-367AA)
-
免疫原種屬:Homo sapiens (Human)
-
標記方式:Non-conjugated
本頁面中的產品,APOBEC4 Antibody (CSB-PA823894LA01HU),的標記方式是Non-conjugated。對于APOBEC4 Antibody,我們還提供其他標記。見下表:
-
克隆類型:Polyclonal
-
抗體亞型:IgG
-
純化方式:>95%, Protein G purified
-
濃度:It differs from different batches. Please contact us to confirm it.
-
保存緩沖液:Preservative: 0.03% Proclin 300
Constituents: 50% Glycerol, 0.01M PBS, pH 7.4 -
產品提供形式:Liquid
-
應用范圍:ELISA, IHC, IF
-
推薦稀釋比:
Application Recommended Dilution IHC 1:20-1:200 IF 1:50-1:200 -
Protocols:
-
儲存條件:Upon receipt, store at -20°C or -80°C. Avoid repeated freeze.
-
貨期:Basically, we can dispatch the products out in 1-3 working days after receiving your orders. Delivery time maybe differs from different purchasing way or location, please kindly consult your local distributors for specific delivery time.
-
用途:For Research Use Only. Not for use in diagnostic or therapeutic procedures.
相關產品
靶點詳情
-
功能:Putative C to U editing enzyme whose physiological substrate is not yet known.
-
基因功能參考文獻:
- APOBEC4 was capable of similarly enhancing transcription from a broad spectrum of promoters, regardless of whether they were viral or mammalian PMID: 27249646
- Studies indicate the APOBEC family consists of 11 members: APOBEC-1 (Apo1), APOBEC-2 (Apo2), activation induced cytidine deaminase (AID), APOBEC- 3A, -3B, -3C, -3DE, -3F, -3H (Apo3A-H) and APOBEC- 4 (Apo4). PMID: 19911124
- APOBEC4 is expressed primarily in testis which suggests the possibility that it is an editing enzyme for mRNAs involved in spermatogenesis PMID: 16082223
-
蛋白家族:Cytidine and deoxycytidylate deaminase family
-
組織特異性:Predominantly expressed in testis.
-
數據庫鏈接:
Most popular with customers
-
-
YWHAB Recombinant Monoclonal Antibody
Applications: ELISA, WB, IHC, IF, FC
Species Reactivity: Human, Mouse, Rat
-
Phospho-YAP1 (S127) Recombinant Monoclonal Antibody
Applications: ELISA, WB, IHC
Species Reactivity: Human
-
-
-
-
-















