APEH Antibody
-
中文名稱:APEH兔多克隆抗體
-
貨號:CSB-PA001899LA01HU
-
規格:¥440
-
圖片:
-
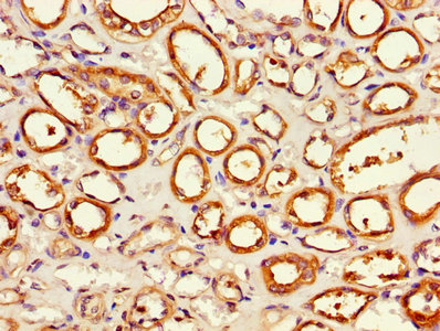
Immunohistochemistry of paraffin-embedded human kidney tissue using CSB-PA001899LA01HU at dilution of 1:100
-
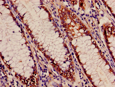
Immunohistochemistry of paraffin-embedded human colon cancer using CSB-PA001899LA01HU at dilution of 1:100
-
Immunofluorescent analysis of Hela cells using CSB-PA001899LA01HU at dilution of 1:100 and Alexa Fluor 488-congugated AffiniPure Goat Anti-Rabbit IgG(H+L)
-
Western Blot
Positive WB detected in: Hela whole cell lysate
All lanes: APEH antibody at 3µg/ml
Secondary
Goat polyclonal to rabbit IgG at 1/50000 dilution
Predicted band size: 82 kDa
Observed band size: 82 kDa -
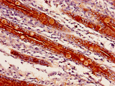
Immunohistochemistry of paraffin-embedded human small intestine tissue using CSB-PA001899LA01HU at dilution of 1:100
-
-
其他:
產品詳情
-
產品名稱:Rabbit anti-Homo sapiens (Human) APEH Polyclonal antibody
-
Uniprot No.:
-
基因名:APEH
-
別名:AARE antibody; ACPH antibody; ACPH_HUMAN antibody; Acyl peptide hydrolase antibody; Acyl-peptide hydrolase antibody; Acylamino acid releasing enzyme antibody; Acylamino-acid-releasing enzyme antibody; Acylaminoacyl peptidase antibody; Acylaminoacyl-peptidase antibody; APEH antibody; APH antibody; N acylaminoacyl peptide hydrolase antibody; OPH antibody; Oxidized protein hydrolase antibody
-
宿主:Rabbit
-
反應種屬:Human
-
免疫原:Recombinant Human Acylamino-acid-releasing enzyme protein (201-500AA)
-
免疫原種屬:Homo sapiens (Human)
-
標記方式:Non-conjugated
本頁面中的產品,APEH Antibody (CSB-PA001899LA01HU),的標記方式是Non-conjugated。對于APEH Antibody,我們還提供其他標記。見下表:
-
克隆類型:Polyclonal
-
抗體亞型:IgG
-
純化方式:>95%, Protein G purified
-
濃度:It differs from different batches. Please contact us to confirm it.
-
保存緩沖液:Preservative: 0.03% Proclin 300
Constituents: 50% Glycerol, 0.01M PBS, PH 7.4 -
產品提供形式:Liquid
-
應用范圍:ELISA, WB, IHC, IF
-
推薦稀釋比:
Application Recommended Dilution WB 1:2000-1:5000 IHC 1:20-1:200 IF 1:50-1:200 -
Protocols:
-
儲存條件:Upon receipt, store at -20°C or -80°C. Avoid repeated freeze.
-
貨期:Basically, we can dispatch the products out in 1-3 working days after receiving your orders. Delivery time maybe differs from different purchasing way or location, please kindly consult your local distributors for specific delivery time.
-
用途:For Research Use Only. Not for use in diagnostic or therapeutic procedures.
相關產品
靶點詳情
-
功能:This enzyme catalyzes the hydrolysis of the N-terminal peptide bond of an N-acetylated peptide to generate an N-acetylated amino acid and a peptide with a free N-terminus. It preferentially cleaves off Ac-Ala, Ac-Met and Ac-Ser.
-
基因功能參考文獻:
- Although APEH is primarily localized in the cytoplasm, a sub-fraction of this enzyme is sequestered at sites of nuclear damage following UVA irradiation or following oxidative stress. APEH interacts with the amino-terminal domain of XRCC1, and APEH facilitates both single-strand break repair and cell survival following exposure to H2O2. Thus, APEH as a novel proteolytic component of the DNA damage response. PMID: 28866241
- APEH polymorphism has significant influence on valproic acid pharmacokinetics in Chinese population PMID: 27406852
- Studies indicate that the cylindromatosis/turban tumor syndrome gene (CYLD) ranked highest, followed by acylaminoacyl-peptidase (APEH), dystroglycan (DAG1), macrophage-stimulating protein (MST1) and ubiquitin-specific peptidase 4 (USP4). PMID: 21931648
-
亞細胞定位:Cytoplasm.
-
蛋白家族:Peptidase S9C family
-
數據庫鏈接:
Most popular with customers
-
-
YWHAB Recombinant Monoclonal Antibody
Applications: ELISA, WB, IHC, IF, FC
Species Reactivity: Human, Mouse, Rat
-
Phospho-YAP1 (S127) Recombinant Monoclonal Antibody
Applications: ELISA, WB, IHC
Species Reactivity: Human
-
-
-
-
-















