AP2A1 Antibody
-
中文名稱:AP2A1兔多克隆抗體
-
貨號:CSB-PA086984
-
規格:¥1100
-
圖片:
-
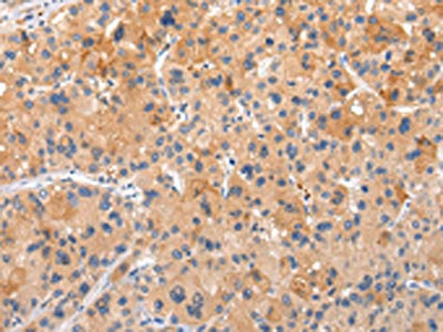
The image on the left is immunohistochemistry of paraffin-embedded Human liver cancer tissue using CSB-PA086984(AP2A1 Antibody) at dilution 1/20, on the right is treated with synthetic peptide. (Original magnification: ×200)
-
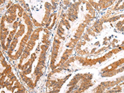
The image on the left is immunohistochemistry of paraffin-embedded Human esophagus cancer tissue using CSB-PA086984(AP2A1 Antibody) at dilution 1/20, on the right is treated with synthetic peptide. (Original magnification: ×200)
-
Gel: 6%SDS-PAGE, Lysate: 40 μg, Lane: Hela cell, Primary antibody: CSB-PA086984(AP2A1 Antibody) at dilution 1/200 dilution, Secondary antibody: Goat anti rabbit IgG at 1/8000 dilution, Exposure time: 1 minute
-
-
其他:
產品詳情
-
Uniprot No.:
-
基因名:
-
別名:100 kDa coated vesicle protein A antibody; Adapter-related protein complex 2 alpha-1 subunit antibody; adapter-related protein complex 2 subunit alpha-1 antibody; Adaptin alpha A antibody; Adaptin alpha antibody; Adaptor protein complex AP 2 alpha 1 subunit antibody; adaptor protein complex AP 2 subunit alpha 1 antibody; Adaptor protein complex AP-2 subunit alpha-1 antibody; Adaptor protein complex AP2 alpha 1 subunit antibody; adaptor protein complex AP2 subunit alpha 1 antibody; Adaptor related protein complex 2 alpha 1 subunit antibody; Adaptor related protein complex AP 2 alpha 1 subunit antibody; Adaptor related protein complex AP2 alpha 1 subunit antibody; ADTAA antibody; Alpha A adaptin antibody; Alpha adaptin A antibody; Alpha-adaptin A antibody; alpha1 adaptin antibody; Alpha1-adaptin antibody; AP 2 alpha antibody; AP 2 complex subunit alpha 1 antibody; AP-2 complex subunit alpha-1 antibody; AP2 complex subunit alpha 1 antibody; AP2-ALPHA antibody; Ap2a1 antibody; AP2A1_HUMAN antibody; CLAPA 1 antibody; CLAPA1 antibody; Clathrin adaptor complex AP2. alpha subunit antibody; Clathrin assembly protein complex 2 alpha A large chain antibody; Clathrin assembly protein complex 2 alpha-A large chain antibody; Clathrin associated / assembly / adaptor protein large alpha 1 antibody; clathrin associated assembly adaptor protein large alpha 1 antibody; clathrin associated/assembly/adaptor protein, large, alpha 1 antibody; Plasma membrane adaptor HA 2/AP 2 adaptin alpha A subunit antibody; Plasma membrane adaptor HA2/AP2 adaptin alpha A subunit antibody
-
宿主:Rabbit
-
反應種屬:Human,Mouse
-
免疫原:Synthetic peptide of Human AP2A1
-
免疫原種屬:Homo sapiens (Human)
-
標記方式:Non-conjugated
-
抗體亞型:IgG
-
純化方式:Antigen affinity purification
-
濃度:It differs from different batches. Please contact us to confirm it.
-
保存緩沖液:-20°C, pH7.4 PBS, 0.05% NaN3, 40% Glycerol
-
產品提供形式:Liquid
-
應用范圍:ELISA,WB,IHC
-
推薦稀釋比:
Application Recommended Dilution ELISA 1:1000-1:2000 WB 1:200-1:1000 IHC 1:20-1:100 -
Protocols:
-
儲存條件:Upon receipt, store at -20°C or -80°C. Avoid repeated freeze.
-
貨期:Basically, we can dispatch the products out in 1-3 working days after receiving your orders. Delivery time maybe differs from different purchasing way or location, please kindly consult your local distributors for specific delivery time.
-
用途:For Research Use Only. Not for use in diagnostic or therapeutic procedures.
相關產品
靶點詳情
-
功能:Component of the adaptor protein complex 2 (AP-2). Adaptor protein complexes function in protein transport via transport vesicles in different membrane traffic pathways. Adaptor protein complexes are vesicle coat components and appear to be involved in cargo selection and vesicle formation. AP-2 is involved in clathrin-dependent endocytosis in which cargo proteins are incorporated into vesicles surrounded by clathrin (clathrin-coated vesicles, CCVs) which are destined for fusion with the early endosome. The clathrin lattice serves as a mechanical scaffold but is itself unable to bind directly to membrane components. Clathrin-associated adaptor protein (AP) complexes which can bind directly to both the clathrin lattice and to the lipid and protein components of membranes are considered to be the major clathrin adaptors contributing the CCV formation. AP-2 also serves as a cargo receptor to selectively sort the membrane proteins involved in receptor-mediated endocytosis. AP-2 seems to play a role in the recycling of synaptic vesicle membranes from the presynaptic surface. AP-2 recognizes Y-X-X-[FILMV] (Y-X-X-Phi) and [ED]-X-X-X-L-[LI] endocytosis signal motifs within the cytosolic tails of transmembrane cargo molecules. AP-2 may also play a role in maintaining normal post-endocytic trafficking through the ARF6-regulated, non-clathrin pathway. During long-term potentiation in hippocampal neurons, AP-2 is responsible for the endocytosis of ADAM10. The AP-2 alpha subunit binds polyphosphoinositide-containing lipids, positioning AP-2 on the membrane. The AP-2 alpha subunit acts via its C-terminal appendage domain as a scaffolding platform for endocytic accessory proteins. The AP-2 alpha and AP-2 sigma subunits are thought to contribute to the recognition of the [ED]-X-X-X-L-[LI] motif.
-
基因功能參考文獻:
- Results revealed thirteen novel splice junctions of previously annotated exons. Consecutive nested PCRs led to the determination of the primary structure of seventy-seven novel AP2A1 transcripts, all of which were shown to comprise at least one premature translation termination codon, thus representing nonsense-mediated mRNA decay candidates. PMID: 30081190
- AP-2alpha depletion enhanced apoptosis, demonstrating that disrupting the HIV-1 Nef:AP-2alpha interaction limits Nef-mediated apoptosis. PMID: 28577469
- These results lead to a model for the docking of the full AP-2 tetramer to membranes as bound to Nef, such that the cytosolic tail of CD4 is situated to interact with its binding site on Nef. PMID: 24473078
- A protein encoded by this locus was found to be differentially expressed in postmortem brains from patients with atypical frontotemporal lobar degeneration. PMID: 22360420
- AP2alpha negatively regulates HIV-1 replication in the process of nuclear translocation of viral DNA in the cytoplasm or the perinuclear region. PMID: 18178234
- nef usurps AP-2 complexes to dysregulate Ii (invariant chain (Ii)/major histocompatibility complex class II) trafficking and potentially interfere with antigen presentation in the context of MHC-II PMID: 18524831
顯示更多
收起更多
-
亞細胞定位:Cell membrane. Membrane, coated pit; Peripheral membrane protein; Cytoplasmic side.
-
蛋白家族:Adaptor complexes large subunit family
-
組織特異性:Expressed in the brain (at protein level). Isoform A: Expressed in forebrain, skeletal muscle, spinal cord, cerebellum, salivary gland, heart and colon. Isoform B: Widely expressed in tissues and also in breast cancer and in prostate carcinoma cells.
-
數據庫鏈接:
Most popular with customers
-
-
YWHAB Recombinant Monoclonal Antibody
Applications: ELISA, WB, IHC, IF, FC
Species Reactivity: Human, Mouse, Rat
-
Phospho-YAP1 (S127) Recombinant Monoclonal Antibody
Applications: ELISA, WB, IHC
Species Reactivity: Human
-
-
-
-
-















