AP1M1 Antibody
-
中文名稱:AP1M1兔多克隆抗體
-
貨號:CSB-PA863146ESR2HU
-
規格:¥440
-
圖片:
-
Western blot
All lanes: AP1M1 antibody at 1.38µg/ml
Lane 1: A375 whole cell lysate
Lane 2: Jurkat whole cell lysate
Lane 3: Hela whole cell lysate
Lane 4: HepG2 whole cell lysate
Secondary
Goat polyclonal to rabbit IgG at 1/10000 dilution
Predicted band size: 49, 50 kDa
Observed band size: 49 kDa -
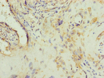
Immunohistochemistry of paraffin-embedded human placenta tissue using CSB-PA863146ESR2HU at dilution of 1:100
-
-
其他:
產品詳情
-
產品名稱:Rabbit anti-Homo sapiens (Human) AP1M1 Polyclonal antibody
-
Uniprot No.:
-
基因名:AP1M1
-
別名:Adaptor protein complex AP-1 mu-1 subunit antibody; Adaptor-related protein complex 1 mu-1 subunit antibody; AP-1 complex subunit mu-1 antibody; AP-mu chain family member mu1A antibody; Ap1m1 antibody; AP1M1_HUMAN antibody; AP47 antibody; CLAPM2 antibody; Clathrin adaptor protein AP47 antibody; Clathrin assembly protein complex 1 medium chain 1 antibody; Clathrin assembly protein complex 1 medium chain antibody; Clathrin assembly protein complex AP1 mu subunit antibody; Clathrin coat assembly protein AP47 antibody; Clathrin coat-associated protein AP47 antibody; CLTNM antibody; Golgi adaptor AP 1 47 kDa protein antibody; Golgi adaptor HA1/AP1 adaptin mu-1 subunit antibody; HA1 47 kDa subunit antibody; MU 1A antibody; Mu-adaptin 1 antibody; Mu1A-adaptin antibody
-
宿主:Rabbit
-
反應種屬:Human
-
免疫原:Recombinant Human AP-1 complex subunit mu-1 protein (1-160AA)
-
免疫原種屬:Homo sapiens (Human)
-
標記方式:Non-conjugated
-
克隆類型:Polyclonal
-
抗體亞型:IgG
-
純化方式:Antigen Affinity Purified
-
濃度:It differs from different batches. Please contact us to confirm it.
-
保存緩沖液:PBS with 0.02% sodium azide, 50% glycerol, pH7.3.
-
產品提供形式:Liquid
-
應用范圍:ELISA, WB, IHC
-
推薦稀釋比:
Application Recommended Dilution WB 1:1000-1:5000 IHC 1:20-1:200 -
Protocols:
-
儲存條件:Upon receipt, store at -20°C or -80°C. Avoid repeated freeze.
-
貨期:Basically, we can dispatch the products out in 1-3 working days after receiving your orders. Delivery time maybe differs from different purchasing way or location, please kindly consult your local distributors for specific delivery time.
-
用途:For Research Use Only. Not for use in diagnostic or therapeutic procedures.
相關產品
靶點詳情
-
功能:Subunit of clathrin-associated adaptor protein complex 1 that plays a role in protein sorting in the trans-Golgi network (TGN) and endosomes. The AP complexes mediate the recruitment of clathrin to membranes and the recognition of sorting signals within the cytosolic tails of transmembrane cargo molecules.
-
基因功能參考文獻:
- found 31 ORF9p interaction partners, among which was AP1M1, the mu subunit of the adaptor protein complex 1 (AP-1). AP-1 is a heterotetramer involved in intracellular vesicle-mediated transport and regulates the shuttling of cargo proteins between endosomes and the trans-Golgi network via clathrin-coated vesicles. PMID: 29793951
- Acidic clusters act as sorting signals for packaging cargo into clathrin-coated vesicles (CCVs), and also facilitate down-regulation of MHC-I by HIV-1 Nef. The basic patch on micro1 that interacts with the Nef acidic cluster also contributes to the binding of endogenous acidic cluster proteins. PMID: 28743825
- CNNM4 is sorted to the basolateral membrane by the complementary function of AP-1A and AP-1B PMID: 25449265
- Adaptor protein 1 promotes cross-presentation through the same tyrosine signal in major histocompatibility complex class I as that targeted by HIV-1. PMID: 23678182
- IRS-1 associates with mu1A of the ubiquitously expressed AP-1 complex through three protein interaction motifs. PMID: 23478262
- Mu1A binding to the N terminus of HIV-1 Nef determines its ability to downregulate major histocompatibility complex class I in T lymphocytes. PMID: 22301137
- AP-1 mu1A is involved in the kAE1 trafficking of kidney alpha-intercalated cells PMID: 20833140
- These data identify the micro subunit of AP-1 (micro1) as the key target of the MHC-I CD/Nef complex, and they indicate that both Y320 in the MHC-I CD and E62-65 in Nef interact directly with micro1. PMID: 18057255
顯示更多
收起更多
-
亞細胞定位:Golgi apparatus. Cytoplasmic vesicle, clathrin-coated vesicle membrane; Peripheral membrane protein; Cytoplasmic side. Note=Component of the coat surrounding the cytoplasmic face of coated vesicles located at the Golgi complex.
-
蛋白家族:Adaptor complexes medium subunit family
-
數據庫鏈接:
Most popular with customers
-
YWHAB Recombinant Monoclonal Antibody
Applications: ELISA, WB, IHC, IF, FC
Species Reactivity: Human, Mouse, Rat
-
Phospho-YAP1 (S127) Recombinant Monoclonal Antibody
Applications: ELISA, WB, IHC
Species Reactivity: Human
-
-
-
-
-
-















