AOC1 Antibody
-
中文名稱:AOC1兔多克隆抗體
-
貨號:CSB-PA104599
-
規格:¥1100
-
圖片:
-
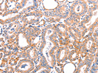
The image on the left is immunohistochemistry of paraffin-embedded Human colon cancer tissue using CSB-PA104599(AOC1 Antibody) at dilution 1/15, on the right is treated with fusion protein. (Original magnification: ×200)
-
The image on the left is immunohistochemistry of paraffin-embedded Human thyroid cancer tissue using CSB-PA104599(AOC1 Antibody) at dilution 1/15, on the right is treated with fusion protein. (Original magnification: ×200)
-
-
其他:
產品詳情
-
Uniprot No.:
-
基因名:AOC1
-
別名:ABP antibody; Abp1 antibody; ABP1_HUMAN antibody; Amiloride binding protein 1 (amine oxidase (copper containing)) antibody; Amiloride binding protein 1 antibody; Amiloride binding protein antibody; Amiloride sensitive amine oxidase antibody; Amiloride-binding protein antibody; Amiloride-sensitive amine oxidase [copper-containing] antibody; Amine oxidase copper domain containing protein 1 antibody; AOC1 antibody; DAO antibody; DAO1 antibody; Diamine oxidase antibody; Histaminase antibody; KAO antibody; Kidney amine oxidase antibody
-
宿主:Rabbit
-
反應種屬:Human,Mouse,Rat
-
免疫原:Fusion protein of Human AOC1
-
免疫原種屬:Homo sapiens (Human)
-
標記方式:Non-conjugated
-
抗體亞型:IgG
-
純化方式:Antigen affinity purification
-
濃度:It differs from different batches. Please contact us to confirm it.
-
保存緩沖液:-20°C, pH7.4 PBS, 0.05% NaN3, 40% Glycerol
-
產品提供形式:Liquid
-
應用范圍:ELISA,IHC
-
推薦稀釋比:
Application Recommended Dilution ELISA 1:1000-1:2000 IHC 1:15-1:50 -
Protocols:
-
儲存條件:Upon receipt, store at -20°C or -80°C. Avoid repeated freeze.
-
貨期:Basically, we can dispatch the products out in 1-3 working days after receiving your orders. Delivery time maybe differs from different purchasing way or location, please kindly consult your local distributors for specific delivery time.
-
用途:For Research Use Only. Not for use in diagnostic or therapeutic procedures.
相關產品
靶點詳情
-
功能:Catalyzes the degradation of compounds such as putrescine, histamine, spermine, and spermidine, substances involved in allergic and immune responses, cell proliferation, tissue differentiation, tumor formation, and possibly apoptosis. Placental DAO is thought to play a role in the regulation of the female reproductive function.
-
基因功能參考文獻:
- this study shows that single nucleotide polymorphism is associated with the severity of allergic rhinitis in a group of Mexican children PMID: 27255477
- The T allele of rs3787429 exhibited protective effect against CHF under the dominant and additive models , while, for SNPs in HRH2, DAO, and HNMT, no significant associations were observed in the present study PMID: 26989676
- HRH1-17 TT and HNMT-1639 TT genotypes were associated with the allergic asthma phenotype among African-American children and that the ABP 4107 GG genotype was associated with nonallergic asthma among white children. PMID: 25909280
- This study findings suggest that DAO genotypes and allelic variants are associated with the risk for migraine in Caucasian Spanish people, especially in women. PMID: 25612138
- Serum diamine oxidase levels were influenced by the menstrual cycle. PMID: 23099198
- Low diamine oxidase activity is associated with gastrointestinal tract toxicities during chemotherapy with oral fluorouracil anti-cancer drugs in patients with gastric cancer.( PMID: 22433290
- Diamine oxidase (DAO) variants were not associated with the histamine intolerance (HIT) phenotype per se, only with DAO activity alone and the subgroup of HIT patients displaying a reduced DAO activity. PMID: 21488903
- Low serum diamine oxidase activity in inflammatory bowel disease. PMID: 21225906
- structure of human DAO refined to 2.1 A resolution in space group C222(1) with one molecule in the asymmetric unit is reported. PMID: 20124708
- The study of a non-synonymous single nucleotide polymorphisms(rs1049793) of diamine oxidase gene does not seem to be of use in assessing susceptibility to CD PMID: 19670078
- could be detected at the feto-maternal interface of human PMID: 11603849
- for the diamine oxidase gene differences in allele distribution were found in patients with food allergy and sprue compared to controls PMID: 12755416
- newly identified DAO gene polymorphisms PMID: 15928835
- Individuals carrying the 645Asp amino acid displayed lower serum diamine oxidase activity as compared with noncarriers (P<0.001) with a significant gene-dose effect (P<0.05). PMID: 17700358
- An association of the HNMT Thr105Ile polymorphism, but not of the ABP1 His645Asp polymorphism, with PD was observed. Patients with PD showed a higher frequency of homozygous HNMT genotypes PMID: 17985251
- Results examine the levels of serum soluble intercellular adhesion molecule-1 (sICAM-1), plasma D-lactate and diamine oxidase (DAO) in patients with inflammatory bowel disease. PMID: 19701972
- An aspartic acid residue, conserved in all diamine oxidases, is responsible for the diamine specificity by interacting with the second amino group of preferred diamine substrates. PMID: 19764817
顯示更多
收起更多
-
亞細胞定位:Secreted, extracellular space.
-
蛋白家族:Copper/topaquinone oxidase family
-
組織特異性:Placenta and kidney.
-
數據庫鏈接:
Most popular with customers
-
-
YWHAB Recombinant Monoclonal Antibody
Applications: ELISA, WB, IHC, IF, FC
Species Reactivity: Human, Mouse, Rat
-
Phospho-YAP1 (S127) Recombinant Monoclonal Antibody
Applications: ELISA, WB, IHC
Species Reactivity: Human
-
-
-
-
-















