ANXA7 Antibody
-
中文名稱:ANXA7兔多克隆抗體
-
貨號:CSB-PA001848ESR1HU
-
規格:¥440
-
圖片:
-
Western blot
All lanes: Annexin A7 antibody at 4µg/ml
Lane 1: Jurkat whole cell lysate
Lane 2: LO2 whole cell lysate
Secondary
Goat polyclonal to rabbit at 1/10000 dilution
Predicted band size: 53, 51 kDa
Observed band size: 53 kDa -
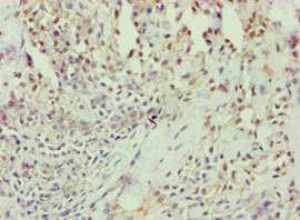
Immunohistochemistry of paraffin-embedded human breast cancer using CSB-PA001848ESR1HU at dilution of 1:100
-
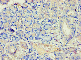
Immunohistochemistry of paraffin-embedded human pancreatic tissue using CSB-PA001848ESR1HU at dilution of 1:100
-
-
其他:
產品詳情
-
產品名稱:Rabbit anti-Homo sapiens (Human) ANXA7 Polyclonal antibody
-
Uniprot No.:
-
基因名:ANXA7
-
別名:Annexin A7 antibody; Annexin VII antibody; Annexin-7 antibody; ANX7 antibody; ANXA7 antibody; ANXA7_HUMAN antibody; SNX antibody; Synexin antibody
-
宿主:Rabbit
-
反應種屬:Human
-
免疫原:Recombinant Human Annexin A7 protein (259-488AA)
-
免疫原種屬:Homo sapiens (Human)
-
標記方式:Non-conjugated
-
克隆類型:Polyclonal
-
抗體亞型:IgG
-
純化方式:Antigen Affinity Purified
-
濃度:It differs from different batches. Please contact us to confirm it.
-
保存緩沖液:PBS with 0.02% sodium azide, 50% glycerol, pH7.3.
-
產品提供形式:Liquid
-
應用范圍:ELISA, WB, IHC
-
推薦稀釋比:
Application Recommended Dilution WB 1:500-1:2000 IHC 1:20-1:200 -
Protocols:
-
儲存條件:Upon receipt, store at -20°C or -80°C. Avoid repeated freeze.
-
貨期:Basically, we can dispatch the products out in 1-3 working days after receiving your orders. Delivery time maybe differs from different purchasing way or location, please kindly consult your local distributors for specific delivery time.
-
用途:For Research Use Only. Not for use in diagnostic or therapeutic procedures.
相關產品
靶點詳情
-
功能:Calcium/phospholipid-binding protein which promotes membrane fusion and is involved in exocytosis.
-
基因功能參考文獻:
- Overexpression of ANXA7 enhances eucalyptol cytotoxicity in prostate cancer cell lines PMID: 29970503
- Up-regulation of ANXA7-GTPase tumor suppressor reverses tumorigenesis. (Review) PMID: 27807828
- Study demonstrates that annexin A7 protein has an important role in gastric cancer. Silencing the expression of ANXA7 in vitro and in vivo induces the apoptosis of BGC823 gastric cancer cells and, importantly, inhibits the growth of tumor xenografts in mice. PMID: 28176245
- data reveal that high UBE3C expression contributes to glioma progression by ubiquitination and degradation of ANXA7, and thus presents a novel and promising target for glioma therapy. PMID: 26067607
- High annexin A7 expression is associated with poor differentiation in gastric cancer patients, and it may be a predictor for lymphatic metastasis. PMID: 25400735
- miRNA-155 promoted the proliferation of prostate cancer cells by regulating ANX7 expression levels. PMID: 25339368
- The role of distinct SGK1/FOXO3A-associated regulation in p53 versus ANXA7 responses were elucidated and proposed that aberrant SGK1 could affect reciprocal SGK1-FOXO3A-Akt regulation. PMID: 24864229
- Alternative ANXA7 splicing was present in precursor cells, suggesting that glioblastoma cells inherit the trait from a potential tumor-initiating ancestor and that these cells exploit this the through accumulation of mutations that enhance EGFR signaling. PMID: 24865424
- Both annexin A7 and integrin beta4 were essential for small molecule, 6-amino-2, 3-dihydro-3-hydroxymethyl-1, 4-benzoxazine-induced autophagy. PMID: 24007983
- Annexin A7 expression was able to inhibit HCC lymph node metastasis, whereas knockdown of Annexin A7 expression significantly induced HCC metastasis to local lymph nodes. PMID: 24188284
- We have found ANXA7 to be functioning like a tumour promoter in HepG2 human hepatocellular carcinoma cells PMID: 23582794
- The present observations demonstrate that enhanced eryptosis of annexin7 deficient cells is paralleled by increased adhesion of erythrocytes to the vascular wall, an effect, which may impact on microcirculation during ischemia. PMID: 23437197
- by identifying ABO as an unprecedented modulator of ANXA7 as well as GCA and LC3 as interacting proteins of ANXA7, we demonstrated the possible mechanisms how ANXA7 regulates autophagy for the first time. PMID: 23651924
- The study data have demonstrated the pathogenic roles and therapeutic significance of Anx7 in RA for the first time. PMID: 21586441
- ANXA7, PPP3CB, DNAJC9, and ZMYND17 genes are potential candidate genes for schizophrenia, especially in patients with deficits in sustained attention and executive function. PMID: 21531385
- Annexin A7 may be involved in the pathophysiology of refractory epilepsy and may play a role in developing and maintaining the epilepsy PMID: 21432772
- The study indicates that stomatin, sorcin, and synexin are echinophilic membrane components that mainly locate outside GM1 rafts in the human erythrocyte membrane. PMID: 20858460
- A7 and A11 have sequence repeats that form novel structures, called YP pro-beta helices, that are characterized by an ability to interact with one another PMID: 20093729
- a multi-hnRNP complex can be responsible for aberrant ANXA7 transcription and splicing, thereby affecting ANXA7 expression pattern and tumor suppressor function in prostate cancer. PMID: 20190808
- synexin mediates galectin-3 translocation to the perinuclear mitochondrial membranes, where it regulates mitochondrial integrity critical for apoptosis regulation. PMID: 11839755
- the calcium-dependent membrane fusion activity of annexin 7 in vitro is further potentiated by the combined addition of guanine nucleotide and protein kinase C PMID: 11994295
- The penta-EF-hand domain of ALG-2 interacts with the amino-terminal domain of annexin VII in a Ca2+-dependent manner. PMID: 12445460
- Annexin VII was present in reticulocytes but was then lost as the cells matured. A different pattern was found in band 3-deficient samples: annexin VII was in fact present in both mature and immature red cell membranes. PMID: 17112522
- Decreased ANXA7 expression was mostly associated with high invasive potential in multiple tumors. The lymph node metastases from different sites (including prostate and breast) had decreased ANXA7 expression. PMID: 17708571
- correlation between ANXA7 expression and cell differentiation of gastric cancer was observed PMID: 18449914
- Haploinsufficiency of the tumor suppressor ANXA7 due to monosomy of chromosome 10 provides a clinically relevant mechanism to augment EGFR signaling in glioblastomas beyond that resulting from amplification of the EGFR gene. PMID: 19602687
顯示更多
收起更多
-
蛋白家族:Annexin family
-
組織特異性:Isoform 1 is expressed in brain, heart and skeletal muscle. Isoform 2 is more abundant in liver, lung, kidney, spleen, fibroblasts and placenta.
-
數據庫鏈接:
Most popular with customers
-
-
YWHAB Recombinant Monoclonal Antibody
Applications: ELISA, WB, IHC, IF, FC
Species Reactivity: Human, Mouse, Rat
-
Phospho-YAP1 (S127) Recombinant Monoclonal Antibody
Applications: ELISA, WB, IHC
Species Reactivity: Human
-
-
-
-
-















