ANKRD33 Antibody
-
中文名稱:ANKRD33兔多克隆抗體
-
貨號:CSB-PA768761LA01HU
-
規格:¥440
-
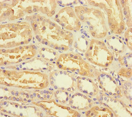
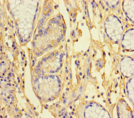
圖片:
-
其他:
產品詳情
-
產品名稱:Rabbit anti-Homo sapiens (Human) ANKRD33 Polyclonal antibody
-
Uniprot No.:
-
基因名:ANKRD33
-
別名:Ankrd33 antibody; Ankyrin repeat domain 33 antibody; Ankyrin repeat domain-containing protein 33 antibody; ANR33_HUMAN antibody; C12orf7 antibody; DKFZp686O1689 antibody; PANKY antibody
-
宿主:Rabbit
-
反應種屬:Human
-
免疫原:Recombinant Human Photoreceptor ankyrin repeat protein (1-272AA)
-
免疫原種屬:Homo sapiens (Human)
-
標記方式:Non-conjugated
本頁面中的產品,ANKRD33 Antibody (CSB-PA768761LA01HU),的標記方式是Non-conjugated。對于ANKRD33 Antibody,我們還提供其他標記。見下表:
-
克隆類型:Polyclonal
-
抗體亞型:IgG
-
純化方式:>95%, Protein G purified
-
濃度:It differs from different batches. Please contact us to confirm it.
-
保存緩沖液:Preservative: 0.03% Proclin 300
Constituents: 50% Glycerol, 0.01M PBS, PH 7.4 -
產品提供形式:Liquid
-
應用范圍:ELISA, IHC
-
推薦稀釋比:
Application Recommended Dilution IHC 1:20-1:200 -
Protocols:
-
儲存條件:Upon receipt, store at -20°C or -80°C. Avoid repeated freeze.
-
貨期:Basically, we can dispatch the products out in 1-3 working days after receiving your orders. Delivery time maybe differs from different purchasing way or location, please kindly consult your local distributors for specific delivery time.
-
用途:For Research Use Only. Not for use in diagnostic or therapeutic procedures.
相關產品
靶點詳情
-
功能:Acts as a transcriptional repressor for CRX-activated photoreceptor gene regulation.
-
亞細胞定位:Cytoplasm, cytosol. Nucleus.
-
數據庫鏈接:
Most popular with customers
-
YWHAB Recombinant Monoclonal Antibody
Applications: ELISA, WB, IHC, IF, FC
Species Reactivity: Human, Mouse, Rat
-
Phospho-YAP1 (S127) Recombinant Monoclonal Antibody
Applications: ELISA, WB, IHC
Species Reactivity: Human
-
-
-
-
-
-















