-
中文名稱:ANKRD11兔多克隆抗體
-
貨號:CSB-PA757769LA01HU
-
規格:¥440
-
圖片:
-
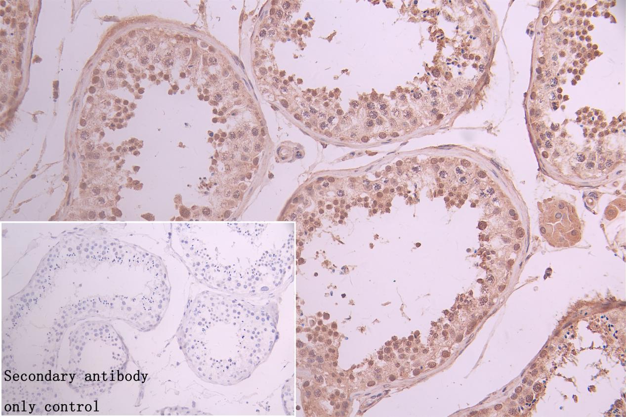
IHC image of CSB-PA757769LA01HU diluted at 1:700 and staining in paraffin-embedded human testis tissue performed on a Leica BondTM system. After dewaxing and hydration, antigen retrieval was mediated by high pressure in a citrate buffer (pH 6.0). Section was blocked with 10% normal goat serum 30min at RT. Then primary antibody (1% BSA) was incubated at 4°C overnight. The primary is detected by a Goat anti-rabbit polymer IgG labeled by HRP and visualized using 0.05% DAB. Secondary antibody only control: uses 1% BSA instead of primary antibody
-
Immunofluorescence staining of U251 cell with CSB-PA757769LA01HU at 1:450, counter-stained with DAPI. The cells were fixed in 4% formaldehyde and blocked in 10% normal Goat Serum. The cells were then incubated with the antibody overnight at 4C. The secondary antibody was Alexa Fluor 488-congugated AffiniPure Goat Anti-Rabbit IgG(H+L).
-
Immunofluorescence staining of U251 cell with 5% goat serum, counter-stained with DAPI. The cells were fixed in 4% formaldehyde and blocked in 10% normal Goat Serum. The cells were then incubated with the antibody overnight at 4C. The secondary antibody was Alexa Fluor 488-congugated AffiniPure Goat Anti-Rabbit IgG(H+L).
-
Immunofluorescence staining of A431 cell with CSB-PA757769LA01HU at 1:450, counter-stained with DAPI. The cells were fixed in 4% formaldehyde and blocked in 10% normal Goat Serum. The cells were then incubated with the antibody overnight at 4C. The secondary antibody was Alexa Fluor 488-congugated AffiniPure Goat Anti-Rabbit IgG(H+L).
-
Immunofluorescence staining of A431 cell with 5% goat serum, counter-stained with DAPI. The cells were fixed in 4% formaldehyde and blocked in 10% normal Goat Serum. The cells were then incubated with the antibody overnight at 4C. The secondary antibody was Alexa Fluor 488-congugated AffiniPure Goat Anti-Rabbit IgG(H+L).
-
-
其他:
產品詳情
-
產品名稱:Rabbit anti-Homo sapiens (Human) ANKRD11 Polyclonal antibody
-
Uniprot No.:
-
基因名:ANKRD11
-
別名:ANKRD11 antibody; ANCO1Ankyrin repeat domain-containing protein 11 antibody; Ankyrin repeat-containing cofactor 1 antibody
-
宿主:Rabbit
-
反應種屬:Human
-
免疫原:Recombinant Human Ankyrin repeat domain-containing protein 11 protein (1002-1276AA)
-
免疫原種屬:Homo sapiens (Human)
-
標記方式:Non-conjugated
本頁面中的產品,ANKRD11 Antibody (CSB-PA757769LA01HU),的標記方式是Non-conjugated。對于ANKRD11 Antibody,我們還提供其他標記。見下表:
-
克隆類型:Polyclonal
-
抗體亞型:IgG
-
純化方式:>95%, Protein G purified
-
濃度:It differs from different batches. Please contact us to confirm it.
-
保存緩沖液:Preservative: 0.03% Proclin 300
Constituents: 50% Glycerol, 0.01M PBS, PH 7.4 -
產品提供形式:Liquid
-
應用范圍:ELISA, IHC, IF
-
推薦稀釋比:
Application Recommended Dilution IHC 1:200-1:800 IF 1:200-1:500 -
Protocols:
-
儲存條件:Upon receipt, store at -20°C or -80°C. Avoid repeated freeze.
-
貨期:Basically, we can dispatch the products out in 1-3 working days after receiving your orders. Delivery time maybe differs from different purchasing way or location, please kindly consult your local distributors for specific delivery time.
-
用途:For Research Use Only. Not for use in diagnostic or therapeutic procedures.
引用文獻
- SERPINA3-ANKRD11-HDAC3 pathway induced aromatase inhibitor resistance in breast cancer can be reversed by HDAC3 inhibition J Zhou,Communications biology,2023
相關產品
靶點詳情
-
功能:Chromatin regulator which modulates histone acetylation and gene expression in neural precursor cells. May recruit histone deacetylases (HDACs) to the p160 coactivators/nuclear receptor complex to inhibit ligand-dependent transactivation. Has a role in proliferation and development of cortical neural precursors. May also regulate bone homeostasis.
-
基因功能參考文獻:
- ANKRD11 variants cause variable clinical features associated with KBG syndrome and Coffin-Siris-like syndrome. PMID: 28250421
- exome sequencing identified a novel de novo heterozygous single base pair duplication (c.6015dupA) in ANKRD11, which is predicted to lead to a premature stop codon and loss of function in ANKRD11, thereby implicating it as contributing to the molecular diagnosis of KBG syndrome. PMID: 27900361
- Here we report a large series of 39 patients with KBG syndrome; these patients harbored ANKRD11 mutations (20 cases) or deletions (19 cases). All the mutations were found by targeted molecular analysis on patients with clinical features suggestive of KBG. PMID: 27605097
- Twelve novel cases of haploinsufficiency for ANKRD11-flanking genes make the difference between KBG and 16q24.3 microdeletion syndromes. PMID: 28422132
- These findings point out the importance of screening ANKRD11 in young CdLS patients who were found to be negative for mutations in the five known CdLS genes. PMID: 25652421
- Further delineation of the KBG syndrome phenotype on large patients cohort caused by ANKRD11 aberrations has been presented. PMID: 25424714
- we conclude that severe short stature, intellectual disability, and macrodontia are the main characteristics in KBG syndrome related to ANKRD11 mutation PMID: 25464108
- ANKRD11 C-terminus plays an important role in regulating the abundance of the protein, and a disturbance of the protein abundance due to the mutations leads to KBG syndrome. PMID: 25413698
- AIB1, AIB1-delta4 and ANCO1 are important determinants of endocrine and growth factor responsiveness in breast cancer. PMID: 24678732
- The complete neurological and psychiatric features observed in two patients with KBG syndrome due to ANKRD11 mutations, are reported. PMID: 23184435
- Partial deletion of ANKRD11 results in the KBG phenotype distinct from the 16q24.3 microdeletion syndrome. PMID: 23494856
- aberrant DNA methylation of three CpGs in a 19 bp region within the ANKRD11 promoter may be responsible for its down-regulation in breast cancer. PMID: 22538187
- Mutations in ANKRD11 cause KBG syndrome and outline a fundamental role of ANKRD11 in craniofacial, dental, skeletal, and central nervous system development and function. PMID: 21782149
- ANKRD11 is a candidate gene for autism and variable cognitive impairment in the novel 16q24.3 microdeletion syndrome. PMID: 19920853
- Together, these results indicate that the transcriptional potential of ANCO-1 may be modulated by a combination of repression and activation signals. PMID: 17521611
- ANKRD11 has a role as a p53 coactivator and may be involved in a regulatory feedback loop with p53 PMID: 18840648
顯示更多
收起更多
-
相關疾病:KBG syndrome (KBGS)
-
亞細胞定位:Nucleus.
-
數據庫鏈接:
Most popular with customers
-
-
YWHAB Recombinant Monoclonal Antibody
Applications: ELISA, WB, IHC, IF, FC
Species Reactivity: Human, Mouse, Rat
-
Phospho-YAP1 (S127) Recombinant Monoclonal Antibody
Applications: ELISA, WB, IHC
Species Reactivity: Human
-
-
-
-
-















