ANGPTL4 Antibody
-
中文名稱:ANGPTL4兔多克隆抗體
-
貨號:CSB-PA261295
-
規格:¥1100
-
圖片:
-
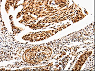
The image is immunohistochemistry of paraffin-embedded Human cervical cancer tissue using CSB-PA261295(ANGPTL4 Antibody) at dilution 1/25. (Original magnification: ×200)
-
The image is immunohistochemistry of paraffin-embedded Human esophagus cancer tissue using CSB-PA261295(ANGPTL4 Antibody) at dilution 1/25. (Original magnification: ×200)
-
-
其他:
產品詳情
-
Uniprot No.:
-
基因名:
-
別名:Angiopoietin like 4 antibody; Angiopoietin related protein 4 antibody; Angiopoietin-like protein 4 antibody; Angiopoietin-related protein 4 antibody; ANGL4_HUMAN antibody; ANGPT L2 antibody; ANGPT L4 antibody; ANGPTL2 antibody; Angptl4 antibody; ARP4 antibody; Fasting induced adipose factor antibody; FIAF antibody; HARP antibody; Hepatic angiopoietin related protein antibody; Hepatic fibrinogen/angiopoietin related protein antibody; Hepatic fibrinogen/angiopoietin-related protein antibody; HFARP antibody; NL2 antibody; Peroxisome proliferator-activated receptor (PPAR) gamma induced angiopoietin related protein antibody; PGAR antibody; pp1158 antibody; PPARG angiopoietin related protein antibody; PSEC0166 antibody; TGQTL antibody; UNQ171 antibody; Weakly similar to angiopoietin 1 [H.sapiens] antibody
-
宿主:Rabbit
-
反應種屬:Human
-
免疫原:Fusion protein of Human ANGPTL4
-
免疫原種屬:Homo sapiens (Human)
-
標記方式:Non-conjugated
-
抗體亞型:IgG
-
純化方式:Antigen affinity purification
-
濃度:It differs from different batches. Please contact us to confirm it.
-
保存緩沖液:-20°C, pH7.4 PBS, 0.05% NaN3, 40% Glycerol
-
產品提供形式:Liquid
-
應用范圍:ELISA,IHC
-
推薦稀釋比:
Application Recommended Dilution ELISA 1:2000-1:5000 IHC 1:25-1:100 -
Protocols:
-
儲存條件:Upon receipt, store at -20°C or -80°C. Avoid repeated freeze.
-
貨期:Basically, we can dispatch the products out in 1-3 working days after receiving your orders. Delivery time maybe differs from different purchasing way or location, please kindly consult your local distributors for specific delivery time.
-
用途:For Research Use Only. Not for use in diagnostic or therapeutic procedures.
相關產品
靶點詳情
-
功能:Mediates inactivation of the lipoprotein lipase LPL, and thereby plays a role in the regulation of triglyceride clearance from the blood serum and in lipid metabolism. May also play a role in regulating glucose homeostasis and insulin sensitivity (Probable). Inhibits proliferation, migration, and tubule formation of endothelial cells and reduces vascular leakage. Upon heterologous expression, inhibits the adhesion of endothelial cell to the extracellular matrix (ECM), and inhibits the reorganization of the actin cytoskeleton, formation of actin stress fibers and focal adhesions in endothelial cells that have adhered to ANGPTL4-containing ECM (in vitro). Depending on context, may modulate tumor-related angiogenesis.; Mediates inactivation of the lipoprotein lipase LPL, and thereby plays an important role in the regulation of triglyceride clearance from the blood serum and in lipid metabolism. Has higher activity in LPL inactivation than the uncleaved protein.
-
基因功能參考文獻:
- Carriers of p.E40K, a variant that abolishes ANGPTL4 ability to inhibit lipoprotein lipase, have lower odds of T2D (odds ratio 0.89, 95% confidence interval 0.85-0.92, p = 6.3 x 10(-10)), lower fasting glucose, and greater insulin sensitivity. PMID: 29899519
- A relevant role of ANGPTL-4 in human obesity and its involvement in long-term body weight changes. PMID: 29536615
- Data indicate that the angiopoietin-like protein 4 (ANGPTL4)-mediated upregulation of tristetraprolin expression regulates the stability of chemokines in human colon epithelial cells. PMID: 28287161
- The data suggest that exercise-induced ANGPTL4 is secreted from the liver and driven by a glucagon-cAMP-PKA pathway in humans. These findings link the liver, insulin/glucagon, and lipid metabolism together. PMID: 29031727
- Study data support dual roles for ANGPTL4 in urothelial carcinoma progression, either as a tumor suppressor or oncogene, in response to microenvironmental context. PMID: 29035390
- ANGPTL4 levels are increased in both plasma and adipose tissues of subjects with hypertension. PMID: 29490644
- Low ANGPTL4 expression is associated with childhood obesity. PMID: 28733963
- SNP rs11672433, a high-frequency locus in the ANGPTL4 gene, does not influence the predisposition to brain arteriovenous malformation or its effect is too small to be detected in the present size sample set. PMID: 29221972
- Levels of ANGPTL4 in the circulation and HDLs were increased in type 2 diabetics altering lipid metabolism. PMID: 28645936
- High expression of ANGPTL4 is associated with drug resistance in prostate cancer. PMID: 28560449
- this study suggests that the presence of C allele of rs1044250 and G allele of rs2278236 in ANGPTL4 gene is associated with higher risk of moderate/severe proteinuria in renal transplant patients PMID: 27913276
- These results suggested that ANGPTL4 was essential for proliferation and metastasis of lung cancer cells. PMID: 27166634
- The mutant tumors exhibited impaired proliferation, anoikis resistance, and migratory capability and had reduced adenylate energy charge. Further investigations also revealed that cANGPTL4 regulated the expression of Glut2 PMID: 28641978
- Data indicate angiopoietin-like 4 (ANGPTL4) as a key player that coordinates an increase in cellular energy flux crucial for EMT via an ANGPTL4/14-3-3gamma signaling axis. PMID: 28745316
- The authors now show: (1) that ANGPTL4 inactivates LPL by catalyzing the unfolding of its hydrolase domain; (2) that binding to GPIHBP1 renders LPL largely refractory to this inhibition; and (3) that both the LU domain and the intrinsically disordered acidic domain of GPIHBP1 are required for this protective effect. PMID: 27929370
- One of the variants, rs116843064, is a damaging missense variant within the ANGPTL4 gene. PMID: 27036123
- reduced expression of one of the survival-associated transcripts, Angiopoietin-like 4, impairs growth of a gemcitabine-resistant pancreatic cancer cell line. PMID: 27282075
- Serum ANGPTL4 is elevated in coronary artery disease, but levels do not reflect severity of disease. PMID: 28795637
- identify ANGPTL4 as a Wnt signaling antagonist that binds to syndecans and forms a ternary complex with the Wnt co-receptor Lipoprotein receptor-related protein 6 PMID: 29017031
- results suggest that ANGPTL4 could contribute to the development of retinal neovascularization in sickle cell patients and could therefore be a therapeutic target for the treatment of PSR PMID: 28832635
- Data suggest that purified FLD (C-terminal fibrinogen-like domain) of ANGPTL4 is sufficient to stimulate lipolysis in primary adipocytes; increasing circulating FLD levels in mice not only induces white adipose tissue lipolysis in vivo but also reduces diet-induced obesity without affecting LPL (lipoprotein lipase) activity; increasing systemic FLD levels induces beige conversion in white adipose tissue. PMID: 28842503
- enhanced expression of angiopoietin-like 4 in rheumatoid arthritis may explain the occurrence of insulin resistance, cardiovascular risk, and joint destruction [review] PMID: 28004425
- Neither serum nor urine Angptl4 appear to be good biomarkers in minimal change disease. Elevated urinary Angptl4 in glomerular disease appears to reflect the degree of proteinuria rather than any specific disease. PMID: 28441404
- results reveal that liganded GR spatiotemporally controls ANGPTL4 transcription in a chromosomal context. PMID: 28056052
- analyzed samples from our previously published studies on ANGPL4 levels in patients on hemodialysis and patients with diabetes type 2. These samples did not show false positive reactions. The levels of ANGPTL4 were comparable to those detected previously PMID: 28107351
- Oleic acid enhances head and neck squamous cell carcinoma metastasis through the ANGPTL4/fibronectin/Rac1/Cdc42 and ANGPTL4/fibronectin/MMP-9 signaling axes. PMID: 27865799
- Cyclic stretching of tendon fibroblasts stimulated the expression and release of ANGPTL4 protein. PMID: 26670924
- ANGPTL4 is secreted by human forearm muscle in postprandial conditions after a high-saturated fatty acid meal. Plasma ANGPTL4 concentrations were not associated with in vivo skeletal muscle LPL activity after a high-saturated fatty acid meal. Dietary fat quality affects plasma ANGPTL4, but it remains to be elucidated whether this influences short-term skeletal muscle lipid handling. PMID: 27011113
- angiopoietin-like 4 plays an important role in the regulation of epidermal growth factor induced cancer metastasis PMID: 27797381
- Beyond rare-variant genetic association study determined rare hypertriglyceridemia causal ANGPTL4 variants based on high throughput sequencing. PMID: 26903168
- ANGPTL4 variants are associated with, not only lower fasting triglyceride levels, but also a decreased cardiovascular risk in type 2 diabetic Tunisian patients. So, T266M and E40K polymorphism predicts cardiovascular disease risk in type 2 diabetic Tunisian population. PMID: 27004807
- Increased ANGPTL4 expression is associated with uveal melanoma. PMID: 26761211
- This study showed that the tagged SNPs and high serum levels of ANGPTL4 are associated with large artery atherosclerotic stroke and the lipid characteristics. PMID: 26944173
- ANGPTL4 mRNA expressions and serum levels were significantly higher in high grade breast carcinoma. PMID: 26745120
- Knockdown of ANGPTL4 inhibits proliferation and promotes apoptosis in cervical cancer. PMID: 27053616
- ANGPTL4 levels were higher in both obese and non-obese PCOS patients compared to healthy controls. PMID: 26291814
- circulating ANGPTL4 levels are up-regulated in COPD patients, and have correlations with pulmonary function and systematic inflammation in COPD PMID: 26813452
- Collectively, our findings indicate that miR-134 may regulate lipid accumulation and proinfiammatory cytokine secretion in macrophages by targeting the ANGPTL4 gene. PMID: 26546816
- This study is the first to show that podocyte-secreted Angptl4 is upregulated in diabetic neuropathy and can be detected in urine. PMID: 25424436
- Data suggest that up-regulation of plasma levels of Angptl4 (angiopoietin-like 4 protein) and LPL (lipoprotein lipase) can be used as biomarkers specific to detecting the stage of diabetic cardiovascular complications. PMID: 25597500
- Hepatocellular carcinoma (HCC) tissues expressed significantly lower levels of ANGPTL4 mRNA than non-tumor tissues; copy number of ANGPTL4 gene in tumor tissues was significantly lower than in non-tumor tissues of HCC patients. Higher frequency of methylation of CpG sites of ANGPTL4 promoter was detected in tumor tissues compared to non-tumor tissues. PMID: 25148701
- results demonstrate ANGPTL4 contributes to OSCC metastasis by stimulating cell invasion. ANGPTL4 is potential therapeutic target for preventing cancer metastasis. PMID: 25060575
- Carriers of E40K and other inactivating mutations in ANGPTL4 had lower levels of triglycerides and a lower risk of coronary artery disease than did noncarriers. PMID: 26933753
- We found that carriers of loss-of-function mutations in ANGPTL4 had triglyceride levels that were lower than those among noncarriers; these mutations were also associated with protection from coronary artery disease. PMID: 26934567
- ANGPTL4 might promote metastasis and might inhibit apoptosis of colorectal cancer cells by up-regulation of BMP7. PMID: 26417691
- A1AT binds to FA, and it is this form of A1AT that induces Angptl4 and FABP4 expression via a PPAR-dependent pathway. PMID: 26363050
- High serum ANGPTL4 with circulating RANKL suggests that ANGPTL4 may represent a novel marker for bone destruction in rheumatoid arthritis. PMID: 25289668
- results suggest targeting both ANGPTL4 and VEGF may be necessary for effective treatment or prevention of PDR and provide the foundation for studies evaluating aqueous ANGPTL4 as a biomarker to help guide individualized therapy for diabetic eye disease PMID: 26039997
- plasma ANGPTL4 levels as well as ANGPTL4 variants significantly predict cardiovascular events independently of conventional cardiovascular risk factors PMID: 25463098
- ANGPTL4 can both bind and inactivate lipoprotein lipase (LPL) complexed to GPIHBP1 and inactivation of LPL by ANGPTL4 greatly reduces the affinity of LPL for GPIHBP1 PMID: 25809481
顯示更多
收起更多
-
亞細胞定位:Secreted. Secreted, extracellular space, extracellular matrix.
-
組織特異性:Detected in blood plasma (at protein level). Detected in liver. Detected in white fat tissue and placenta. Expressed at high levels in the placenta, heart, liver, muscle, pancreas and lung but expressed poorly in the brain and kidney.
-
數據庫鏈接:
Most popular with customers
-
-
YWHAB Recombinant Monoclonal Antibody
Applications: ELISA, WB, IHC, IF, FC
Species Reactivity: Human, Mouse, Rat
-
Phospho-YAP1 (S127) Recombinant Monoclonal Antibody
Applications: ELISA, WB, IHC
Species Reactivity: Human
-
-
-
-
-















